


































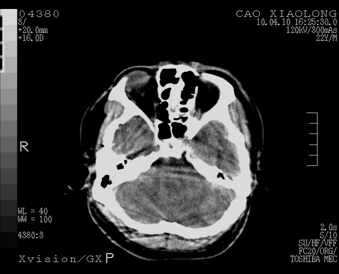
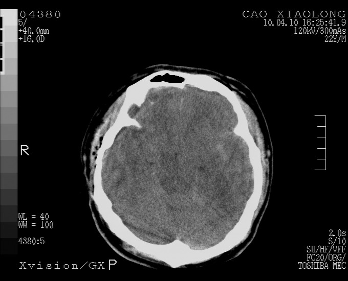
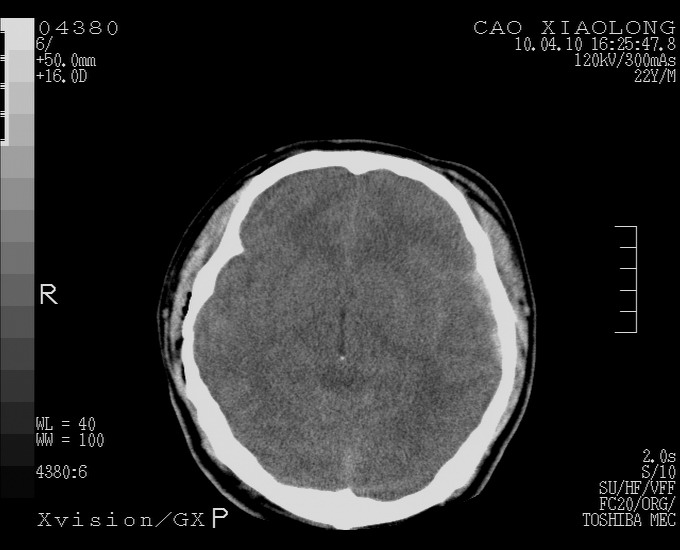
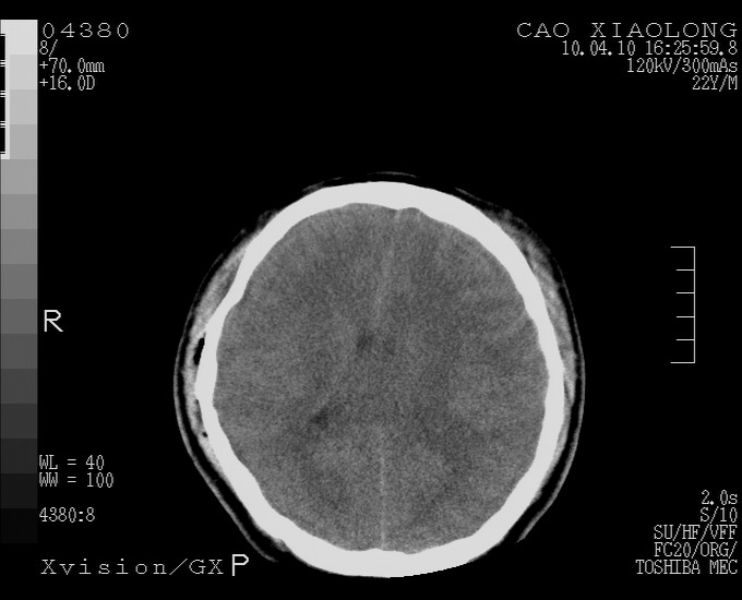
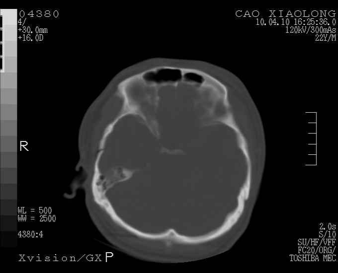
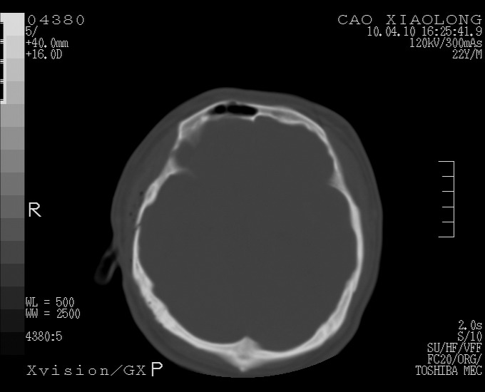
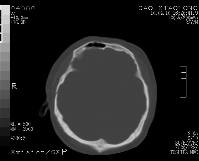
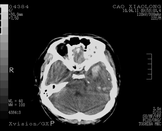
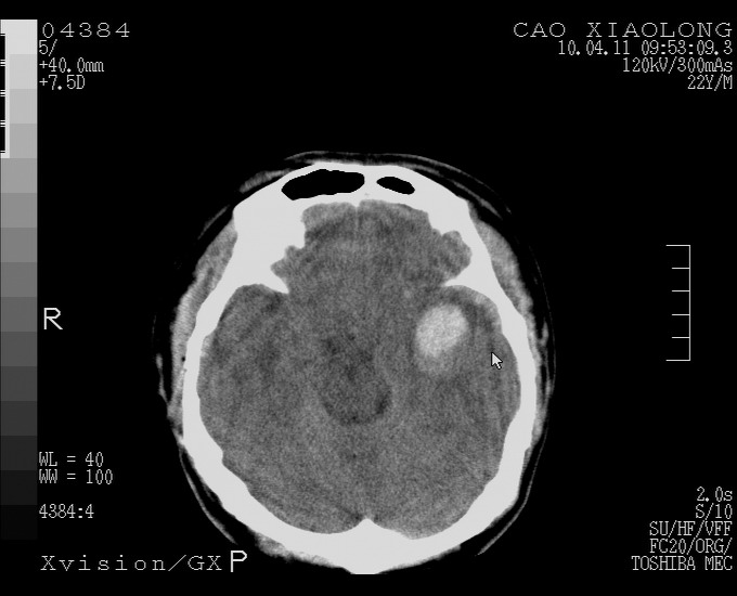
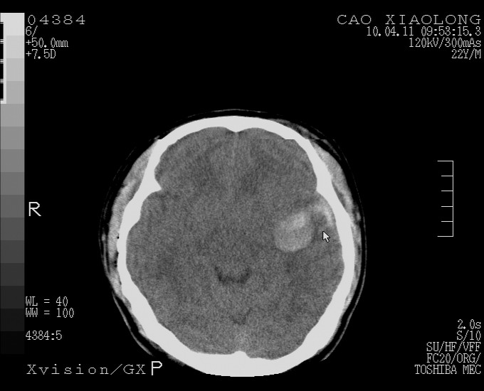
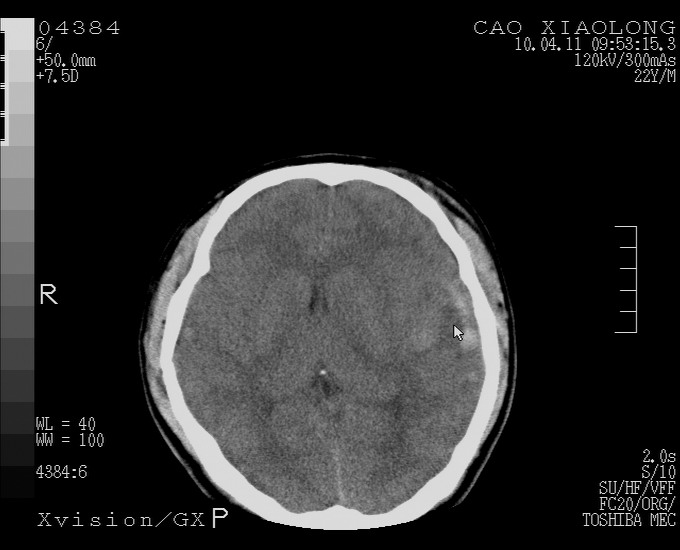
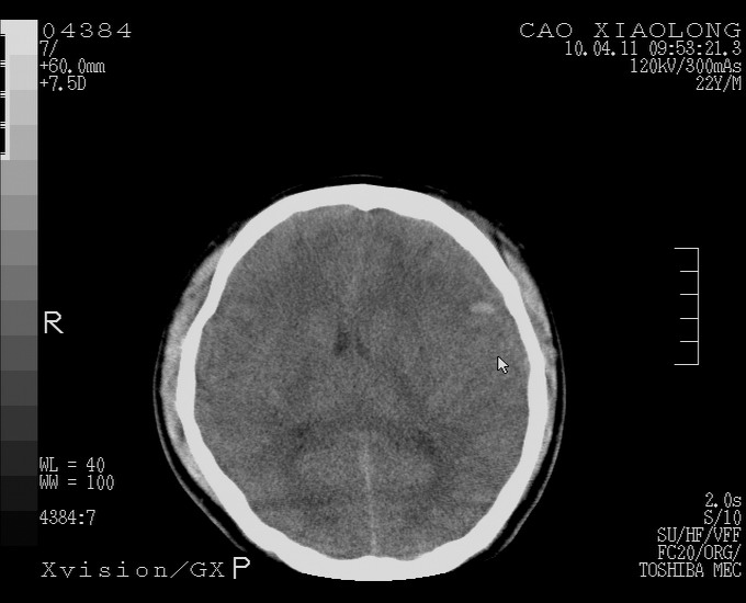
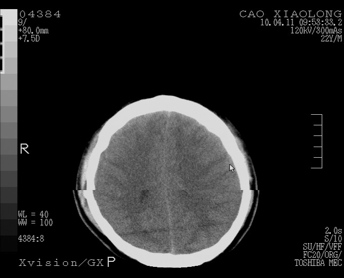
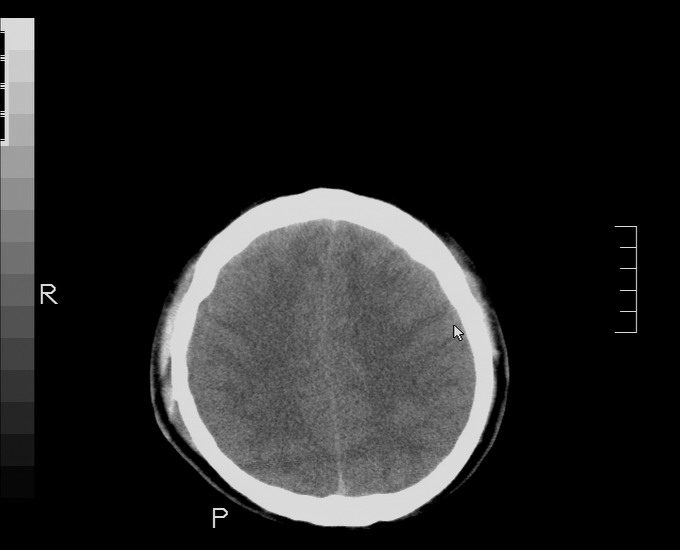
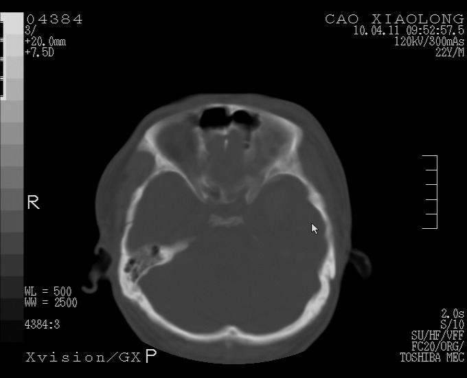
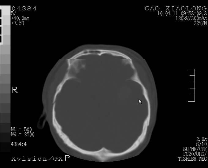
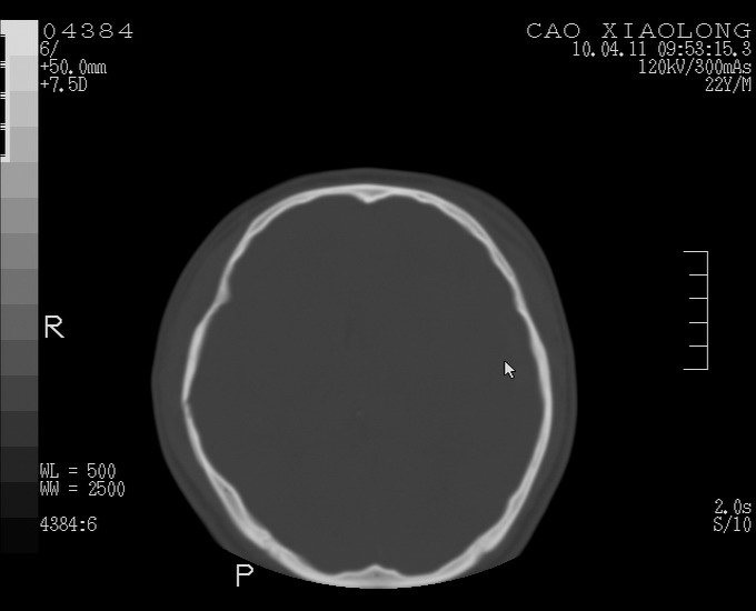
以下是引用随光逐影在2010-4-11 11:00:00的发言:[br]1)左侧额颞顶部硬膜下血肿。2)蛛网膜下腔出血。3)右侧颞顶部颅骨线形骨折。[br][br]20小时后复查:左侧额颞叶脑挫裂伤;左侧额颞顶部硬膜下血肿及蛛网膜下腔出血有吸收表现;右侧颞顶部颅骨线形骨折。[br]
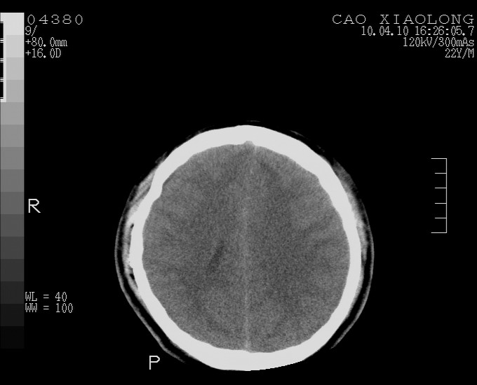
以下是引用随光逐影在2010-4-11 11:00:00的发言:[br]1)左侧额颞顶部硬膜下血肿。2)蛛网膜下腔出血。3)右侧颞顶部颅骨线形骨折。[br][br]20小时后复查:左侧额颞叶脑挫裂伤;左侧额颞顶部硬膜下血肿及蛛网膜下腔出血有吸收表现;右侧颞顶部颅骨线形骨折。[br]
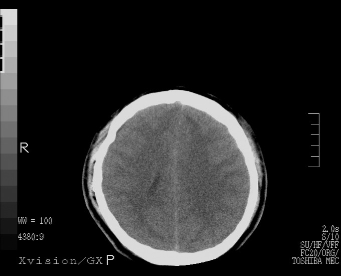
以下是引用随光逐影在2010-4-11 11:00:00的发言:[br]1)左侧额颞顶部硬膜下血肿。2)蛛网膜下腔出血。3)右侧颞顶部颅骨线形骨折。[br][br]20小时后复查:左侧额颞叶脑挫裂伤;左侧额颞顶部硬膜下血肿及蛛网膜下腔出血有吸收表现;右侧颞顶部颅骨线形骨折。[br]
| 欢迎光临 医影在线 (http://bbs.radida.com/bbs/) | Powered by Discuz! X3.2 |