医影在线

标题: CT25696:腰背部肿块 [打印本页]

作者: 宏宏    时间: 2010-4-12 00:09
标题: CT25696:腰背部肿块
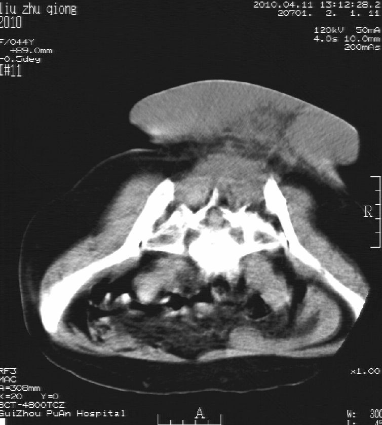
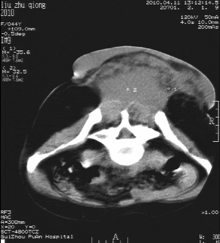
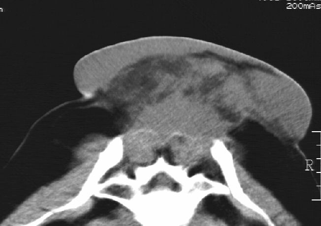
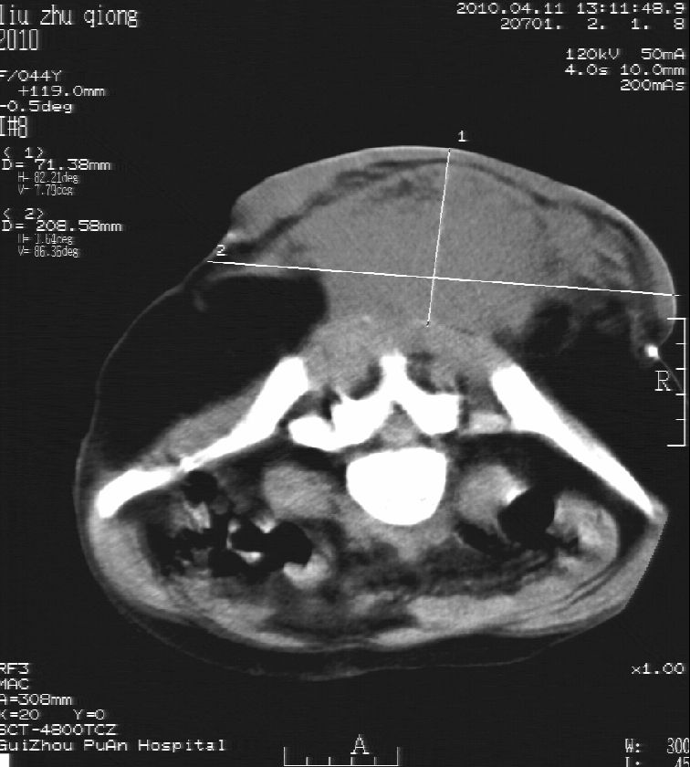
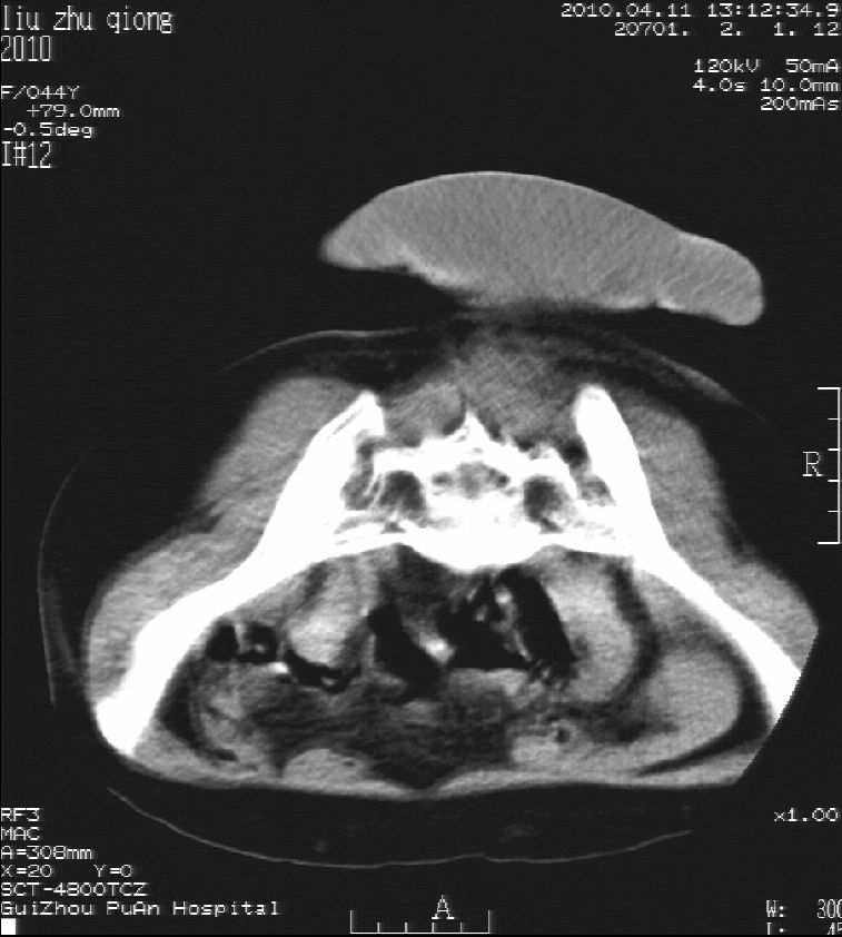
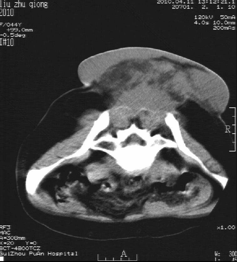
刘某,女,44岁,生第一胎时发现腰背部肿块,黄豆大小,至今17年,呈逐年增大,现行ct检查如下,敬请各位指点。














[本贴已被 翁志蓬 于 2010-4-11 22:54:55 修改过]

作者: qc80012345    时间: 2010-4-12 00:58
增强。
作者: xf998    时间: 2010-4-12 01:06
病史:女,44岁,腰背部肿块,黄豆大小,17年,呈逐年增大。
ct示:骶骨见软组织密度影,似见细条状,或花边状高密度影,考虑不典型钙化灶,向后生长,超出皮肤,可见骶骨破坏,第5幅ct图似与骶管相通。
诊断:脊索瘤
作者: DDN    时间: 2010-4-12 01:34
神经纤维瘤可能。
作者: yangyang2000    时间: 2010-4-12 03:06
增强
作者: zxczxc    时间: 2010-4-12 04:22
纤维瘤。
作者: 卜一    时间: 2010-4-12 04:34
神经纤维瘤!
作者: 同    时间: 2010-4-12 04:36
考虑神经纤维瘤。
作者: 泪洒红尘    时间: 2010-4-12 05:10
首先考虑良性肿瘤;神经纤维瘤可能!
作者: 碧空一鹰    时间: 2010-4-12 05:32
增强一下,活检一下。
作者: 随光逐影    时间: 2010-4-12 06:29
考虑神经纤维瘤。
作者: zxl51642    时间: 2010-4-12 07:25
病程长,生长慢,肿块巨大,考虑神经纤维瘤,脂肪密度可以用肿瘤生长过程中包裹入皮下脂肪解释。
作者: pujunzhi    时间: 2010-4-12 08:18
考虑神经纤维瘤。
作者: yangyudong333    时间: 2010-4-12 13:38
考虑神经纤维瘤。建议活检。
作者: yuhongjun    时间: 2010-4-12 13:59
考虑神经纤维瘤。建议活检。
作者: muzi888    时间: 2010-4-12 16:19
考虑神经纤维瘤。  怎么不给骨窗?
作者: 深泽交通    时间: 2010-4-12 16:34
纤维瘤可能
作者: 施明    时间: 2010-4-12 16:47
来个mr
作者: ljchenshiying    时间: 2010-4-12 17:21
考虑神经纤维瘤。
作者: LIAOQIANG    时间: 2010-4-12 18:04
考虑神经纤维瘤。
作者: dr.yang    时间: 2013-5-30 19:07
病程长,生长慢,肿块巨大,考虑神经纤维瘤,脂肪密度可以用肿瘤生长过程中包裹入皮下脂肪解释。---学习了




欢迎光临 医影在线 (http://bbs.radida.com/bbs/) Powered by Discuz! X3.2