


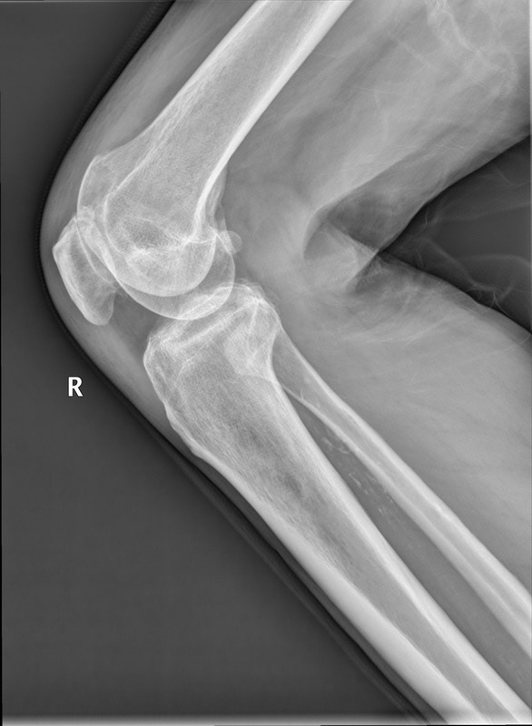
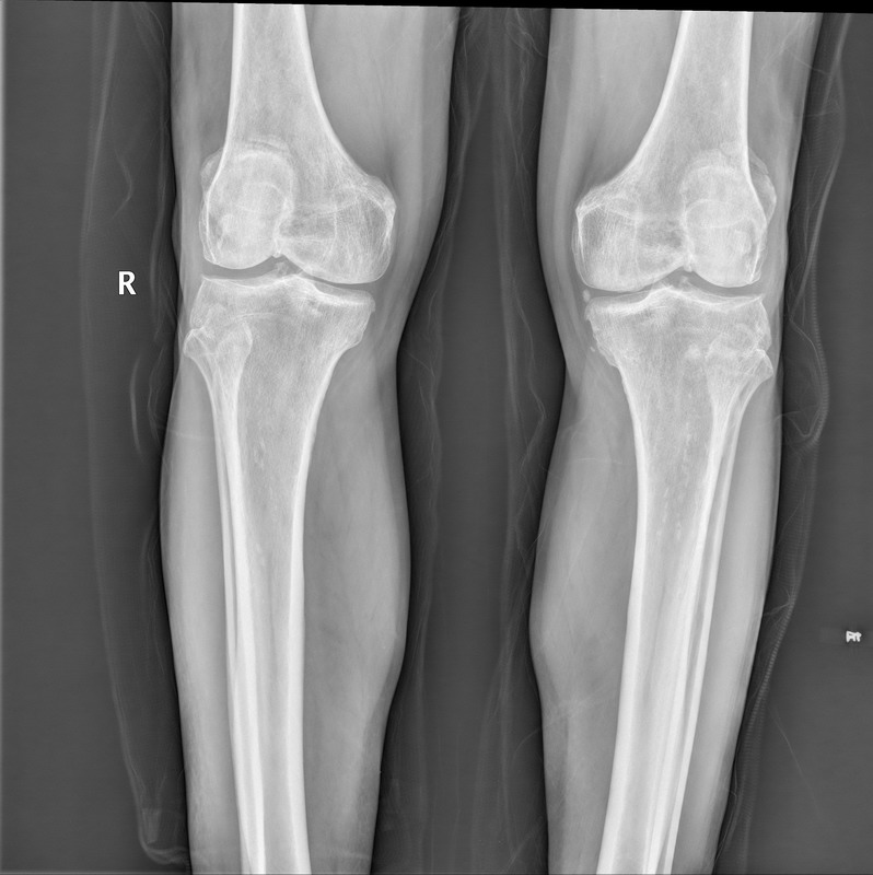
以下是引用yangyudong333在2010-4-12 5:59:00的发言:[br]双膝退变并骨间膜钙化。
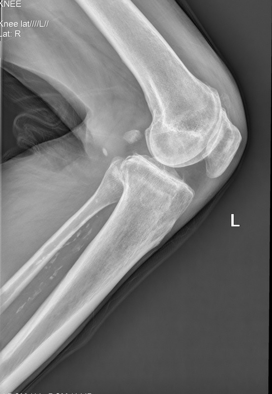
以下是引用随光逐影在2010-4-12 8:14:00的发言:[br]1)双膝关节退行性改变。2)双小腿软组织内钙化(骨间膜钙化?血管壁钙化?)。
以下是引用随光逐影在2010-4-12 8:14:00的发言:[br]1)双膝关节退行性改变。2)双小腿软组织内钙化(骨间膜钙化?血管壁钙化?)。
| 欢迎光临 医影在线 (http://bbs.radida.com/bbs/) | Powered by Discuz! X3.2 |