医影在线
标题: X7158:考虑什么? [打印本页]
作者: askingdao 时间: 2010-4-14 20:47
标题: X7158:考虑什么?
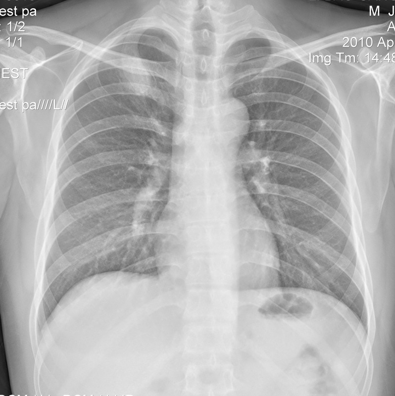
418 男 28 发热三天 右侧扁桃体二度肿大


[本贴已被 zhangzhongshou 于 2010-4-14 12:57:04 修改过]
作者: ZHANGZHONGSHOU 时间: 2010-4-14 20:54
右上肺结核可能性大,建议ct进一步检查。
作者: zhanggenliang 时间: 2010-4-14 21:26
右上肺首先考虑结核,不能排除炎症。建议抗炎治疗后复查
作者: 蓬莱客 时间: 2010-4-14 22:10
首先考虑结核,建议相关实验室检查。
作者: 小小医 时间: 2010-4-14 22:21
右上肺首先考虑结核,不能排除炎症。建议抗炎治疗后复查
作者: 随光逐影 时间: 2010-4-14 22:45
右上肺感染性病变;建议抗炎治疗后复查排除结核。
作者: 谨言慎行 时间: 2010-4-15 00:31
先考虑肺炎,治疗后复查,排除结核。
作者: 黑白光影 时间: 2010-4-15 05:08
右上肺感染性病变;建议抗炎治疗后复查排除结核。
作者: yuhongjun 时间: 2010-4-15 13:25
右上肺首先考虑结核,不能排除炎症。建议抗炎治疗后复查
作者: zxl51642 时间: 2010-4-16 06:58
标题: 回复:x7158:考虑什么?
以下是引用zhangzhongshou在2010-4-14 12:54:00的发言:[br]右上肺结核可能性大,建议ct进一步检查。
作者: 拾荒者 时间: 2010-4-18 04:47
标题: 回复:x7158:考虑什么?
以下是引用黑白光影在2010-4-14 21:08:00的发言:[br]右上肺感染性病变;建议抗炎治疗后复查排除结核。
作者: ydx_74 时间: 2010-5-4 02:33
右上肺感染性病变;建议抗炎治疗后复查排除结核。
作者: baoml 时间: 2010-5-27 19:57
先考虑肺炎,治疗后复查,排除结核
| 欢迎光临 医影在线 (http://bbs.radida.com/bbs/) |
Powered by Discuz! X3.2 |