医影在线

标题: CT25784:咳痰、请会诊!结核? [打印本页]

作者: xiao实习生    时间: 2010-4-16 17:38
标题: CT25784:咳痰、请会诊!结核?























































[本贴已被 jiajie 于 2010-4-16 18:16:19 修改过]

作者: xzh825    时间: 2010-4-16 18:15
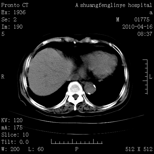
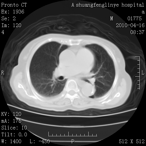
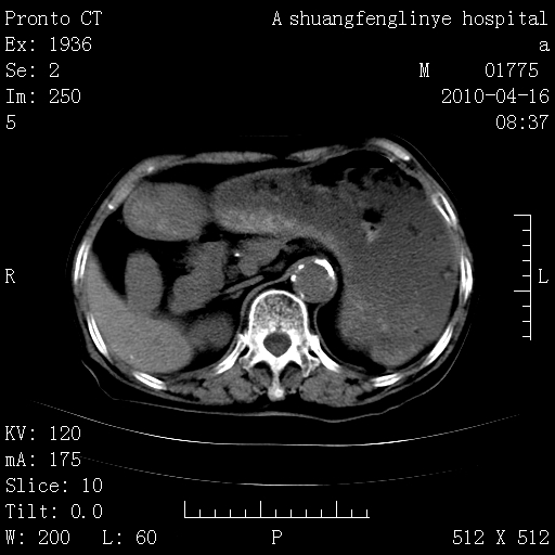
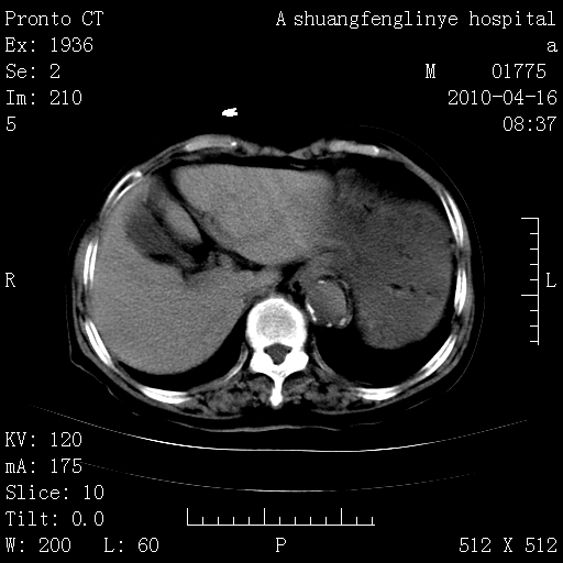
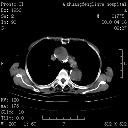
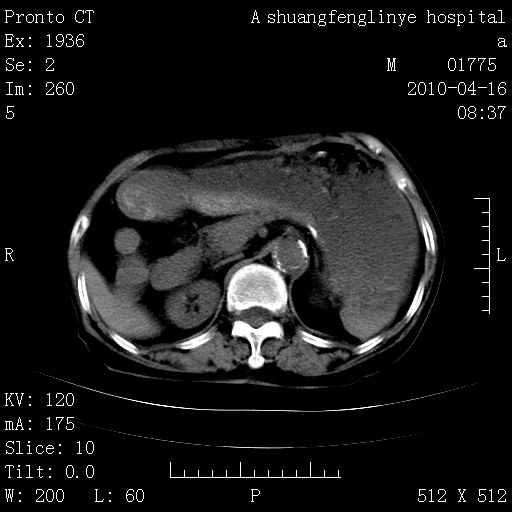
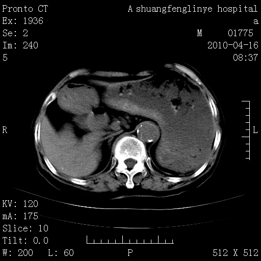
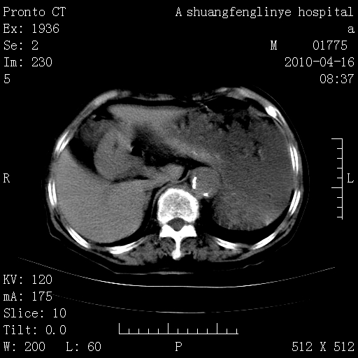
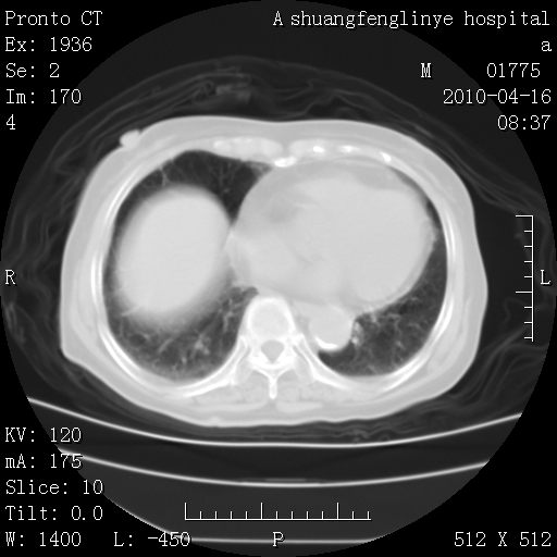
陈旧性结核,胃腔扩大,脾脏受压后移
作者: LIAOQIANG    时间: 2010-4-16 18:29
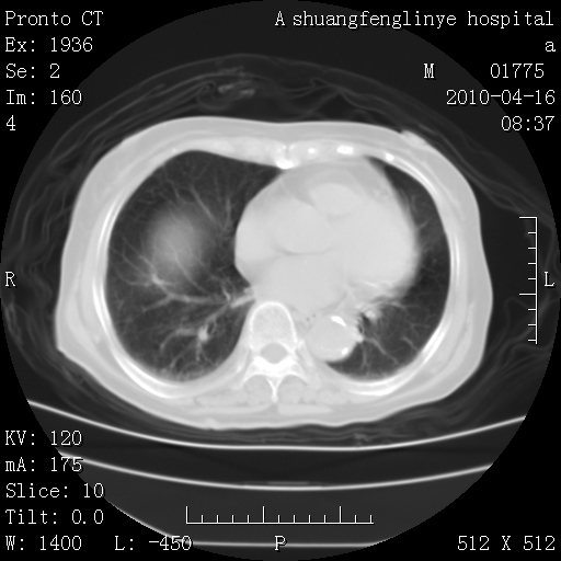
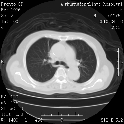
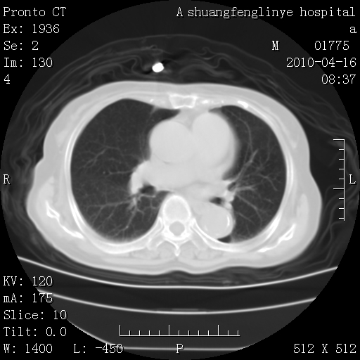
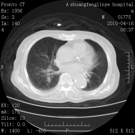
考虑左肺上叶增殖灶、纤维灶。
作者: 深泽交通    时间: 2010-4-16 18:49
支持结核
作者: 北方的狼    时间: 2010-4-16 19:06
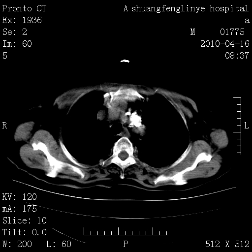
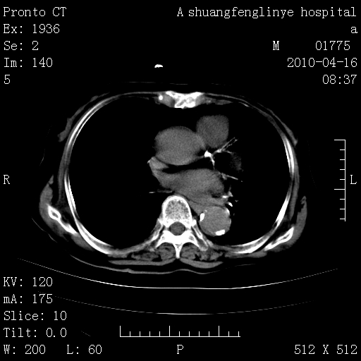
老年肺间质纤维化,肺动脉高压-----肺心病。
作者: zxl51642    时间: 2010-4-16 19:10
慢支肺气肿,左上陈旧性结核,主动脉冠脉钙化
作者: xiongneo    时间: 2010-4-16 19:41
慢支肺气肿,左上陈旧性结核,主动脉冠脉钙化
作者: yaoyuan    时间: 2010-4-17 04:41
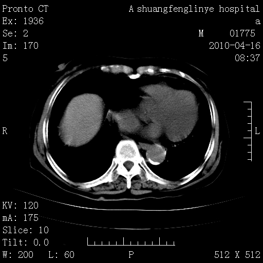
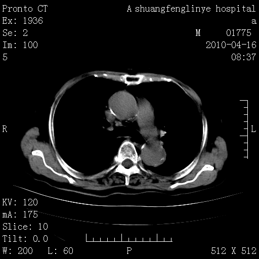
典型 夹层动脉瘤。 内膜瓣钙化移位
作者: 随光逐影    时间: 2010-4-23 08:04
1)左肺上叶结核(纤维、增殖病灶)。2)冠状动脉及主动脉钙化。
作者: panyishengct    时间: 2010-4-23 08:51
1)左肺上叶结核(纤维、增殖病灶)。2)冠状动脉及主动脉钙化。肺动脉高压




欢迎光临 医影在线 (http://bbs.radida.com/bbs/) Powered by Discuz! X3.2