医影在线
标题: X7184:内固定术后,1月余! [打印本页]
作者: wjqq 时间: 2010-4-17 00:50
标题: X7184:内固定术后,1月余!
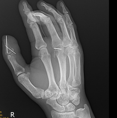
是废用性骨质疏松?还是缺血性坏死?

[本贴已被 wjqq 于 2010-4-16 16:50:35 修改过]
[本贴已被 jiajie 于 2010-4-16 18:35:21 修改过]
作者: zxl51642 时间: 2010-4-17 01:03
多发骨折内固定术后,废用性骨质疏松
作者: yuhongjun 时间: 2010-4-17 01:04
支持楼上。
作者: liubo.com 时间: 2010-4-17 01:18
标题: 回复:内固定术后,1月余!
从该片子看,目前该患者还没有出现明显骨折后合并骨质疏松改变。
作者: DDN 时间: 2010-4-17 01:39
右手拇指末节及第三掌骨远端钢针内固定术后,第三掌骨远端局限性骨吸收改变伴关节间隙狭窄。
作者: gjj6818 时间: 2010-4-17 01:50
标题: 回复:内固定术后,1月余!
以下是引用ddn在2010-4-16 17:39:00的发言:[br]右手拇指末节及第三掌骨远端钢针内固定术后,第三掌骨远端局限性骨吸收改变伴关节间隙狭窄。
作者: 拂晓 时间: 2010-4-17 03:03
标题: 回复:x7184:内固定术后,1月余!
以下是引用zxl51642在2010-4-16 17:03:00的发言:[br]多发骨折内固定术后,废用性骨质疏松
作者: dyqct 时间: 2010-4-17 03:28
标题: 回复:x7184:内固定术后,1月余!
以下是引用zxl51642在2010-4-16 17:03:00的发言:[br]多发骨折内固定术后,废用性骨质疏松
支持!
作者: yangyudong333 时间: 2010-4-17 19:39
以下是引用zxl51642在2010-4-16 17:03:00的发言:
多发骨折内固定术后,废用性骨质疏松
作者: 五月的阳光 时间: 2010-4-17 20:41
以下是引用zxl51642在2010-4-16 17:03:00的发言:
多发骨折内固定术后,废用性骨质疏松
支持!
作者: fanxinyu 时间: 2010-4-17 22:24
多发骨折内固定术后,废用性骨质疏松.
作者: jinguoji 时间: 2010-4-18 00:39
标题: 回复:x7184:内固定术后,1月余!
以下是引用zxl51642在2010-4-16 17:03:00的发言:[br]多发骨折内固定术后,废用性骨质疏松
支持!
作者: gaoyang8 时间: 2010-4-18 02:49
多发骨折内固定术后,废用性骨质疏松.
作者: 徐飞 时间: 2010-4-18 03:49
第三掌骨头关节内骨折复位差畸形愈合
作者: 拾荒者 时间: 2010-4-18 04:10
多发骨折内固定术后,废用性骨质疏松.
作者: 蓬莱客 时间: 2010-4-18 04:30
多发骨折内固定术后,废用性骨质疏松
作者: 黑白光影 时间: 2010-4-18 04:36
不怎么明显,支持大家。
作者: 随光逐影 时间: 2010-4-23 06:01
以下是引用zxl51642在2010-4-16 17:03:00的发言:
多发骨折内固定术后,废用性骨质疏松。
| 欢迎光临 医影在线 (http://bbs.radida.com/bbs/) |
Powered by Discuz! X3.2 |