医影在线

标题: CT25795:感冒后反复咳嗽两月余,痰中带血半月余。X诊断“肺 [打印本页]

作者: lffw    时间: 2010-4-17 01:37
标题: CT25795:感冒后反复咳嗽两月余,痰中带血半月余。X诊断“肺































































[本贴已被 jiajie 于 2010-4-16 18:28:39 修改过]

作者: DDN    时间: 2010-4-17 01:55
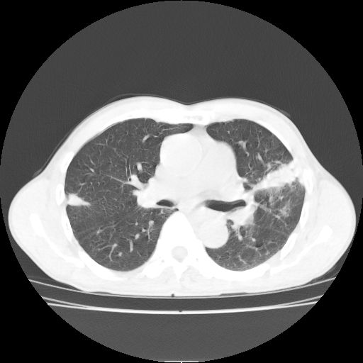
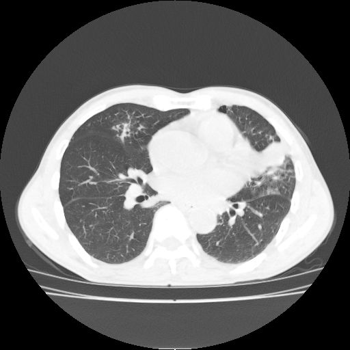
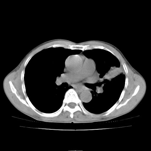
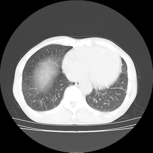
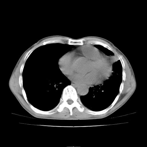
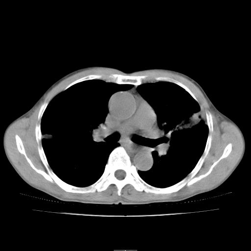
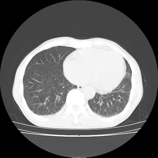
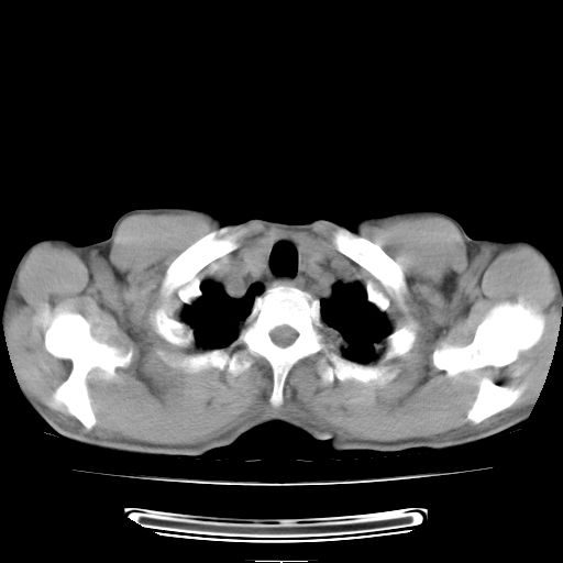
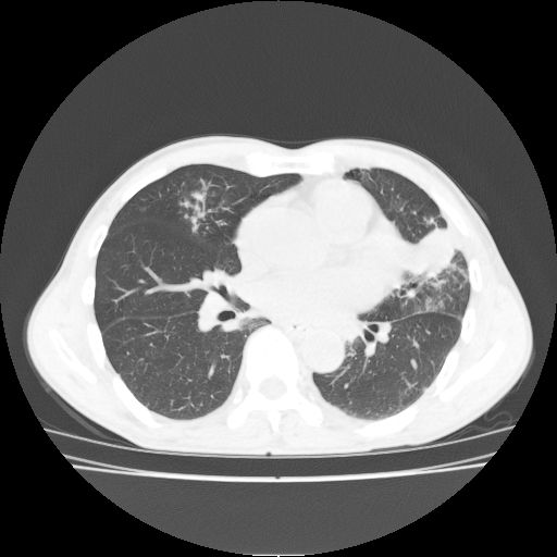
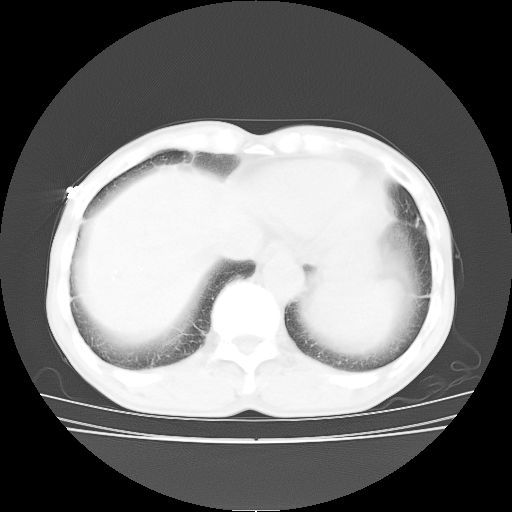
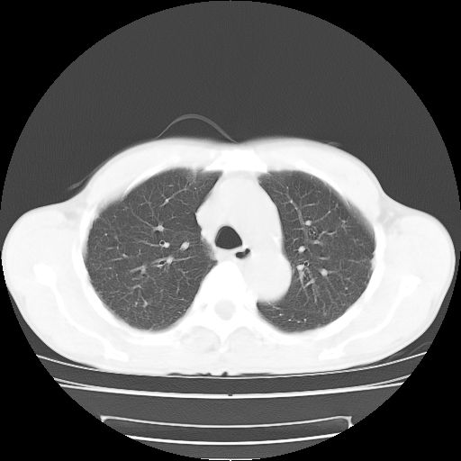
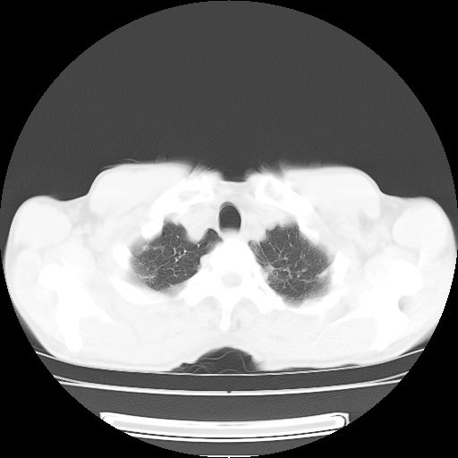
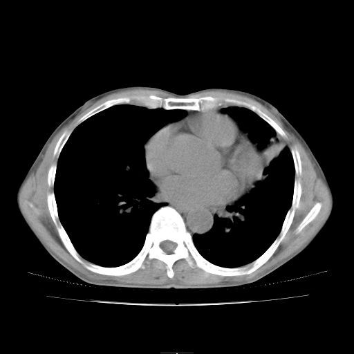
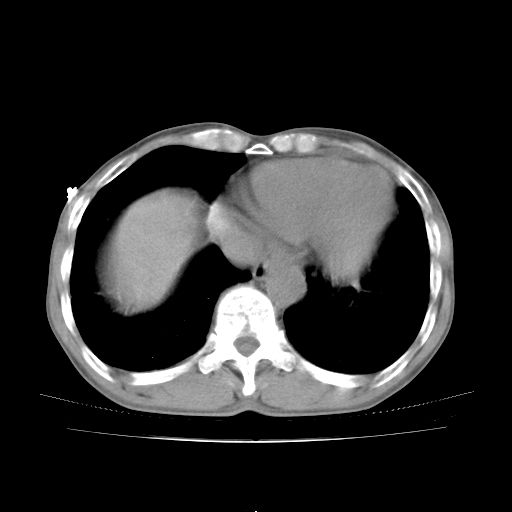
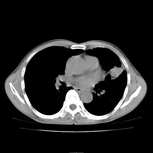
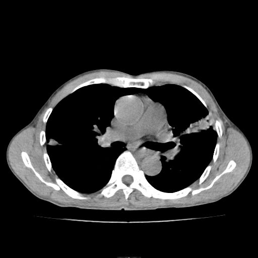
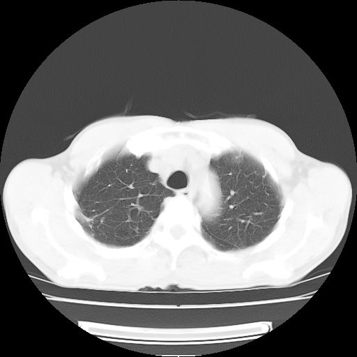
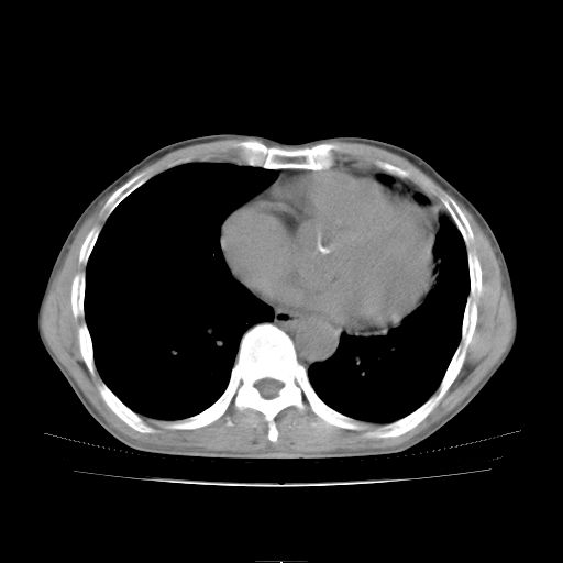
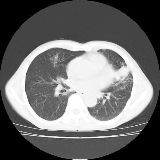
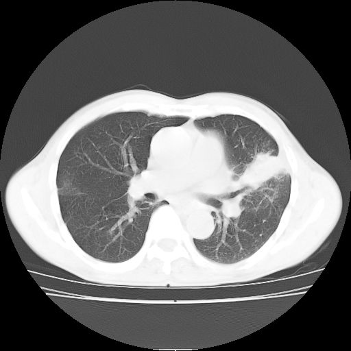
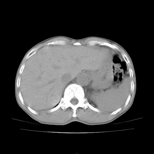
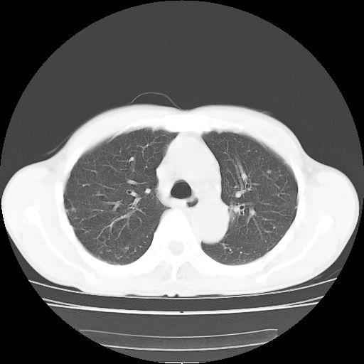
1.双肺肺梗塞(理由:病灶呈三角形,与胸膜相连且局部胸膜肥厚,左心室增大)伴肺感染。
2.一元论双肺感染。
作者: xzh825    时间: 2010-4-17 02:25
肺梗塞虽然有创意,但不现实。我考虑感染性病灶。
作者: dyqct    时间: 2010-4-17 03:43
支持双肺感染,建议治疗后复查。
作者: 心路寻觅    时间: 2010-4-17 03:57
支持双肺感染,建议治疗后复查。
作者: 拂晓    时间: 2010-4-17 04:05
标题: 回复:ct25795:感冒后反复咳嗽两月余,痰中带血半月余。x
以下是引用dyqct在2010-4-16 19:43:00的发言:[br]支持双肺感染,建议治疗后复查。

作者: liyf    时间: 2010-4-17 04:57
双肺感染
作者: zxl51642    时间: 2010-4-17 18:18
以下是引用dyqct在2010-4-16 19:43:00的发言:
支持双肺感染,建议治疗后复查。
作者: tao772    时间: 2010-4-17 18:25
肺梗塞虽然有创意,但不现实。我考虑感染性病灶
作者: LIAOQIANG    时间: 2010-4-17 18:39
支持考虑双肺感染,建议治疗后复查。
作者: yangyudong333    时间: 2010-4-17 19:33
支持双肺感染,建议治疗后复查。
作者: 随光逐影    时间: 2010-4-23 08:39
考虑两肺感染性病变,左肺上叶舌段肿瘤性病变待排;建议抗炎治疗后复查。




欢迎光临 医影在线 (http://bbs.radida.com/bbs/) Powered by Discuz! X3.2