医影在线

标题: CT25796:女,60岁,腹痛5天,请会诊??? [打印本页]

作者: 睛天    时间: 2010-4-17 02:10
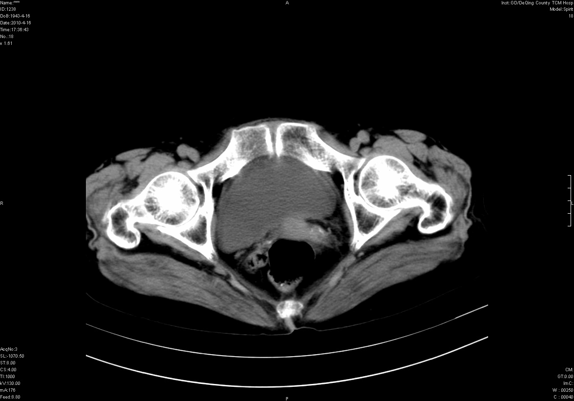
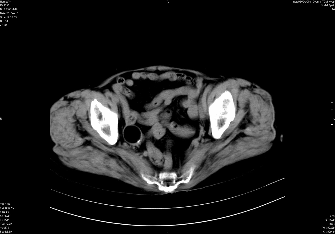
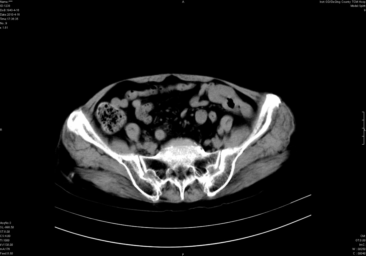
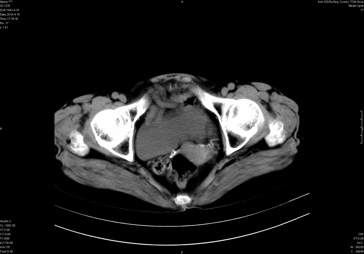
标题: CT25796:女,60岁,腹痛5天,请会诊???














[本贴已被 jiajie 于 2010-4-16 18:29:20 修改过]

作者: xzh825    时间: 2010-4-17 02:19
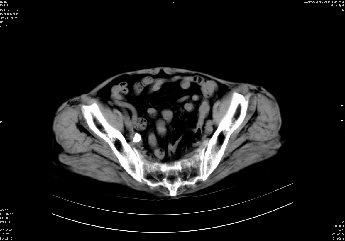
是要我考虑粪石吗?引起阑尾炎
作者: DDN    时间: 2010-4-17 02:24
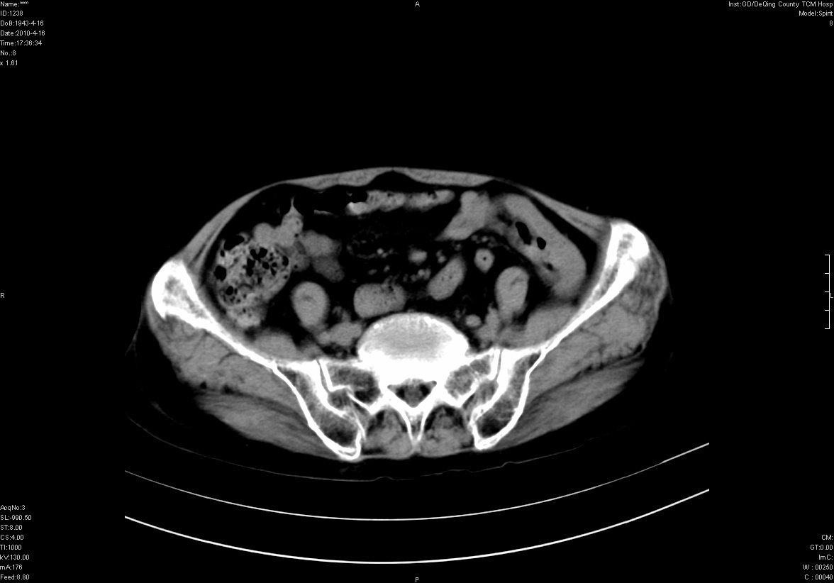
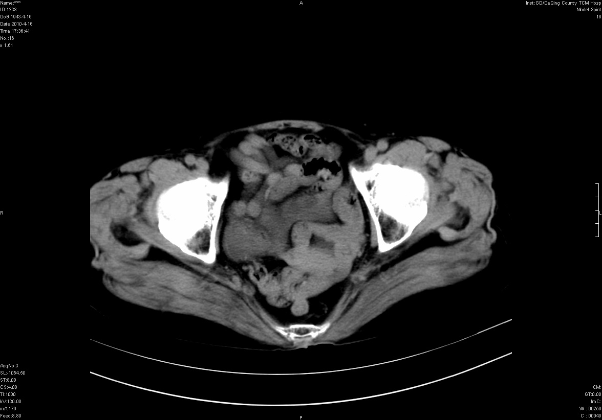
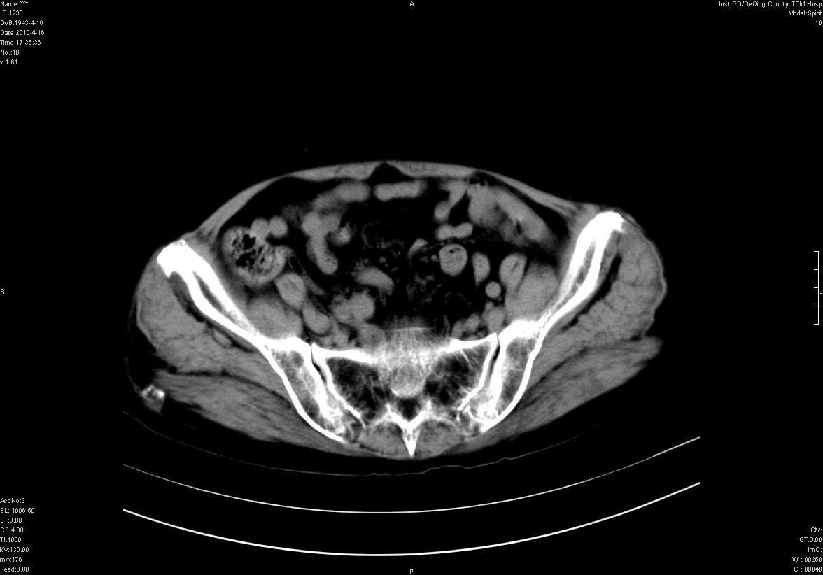
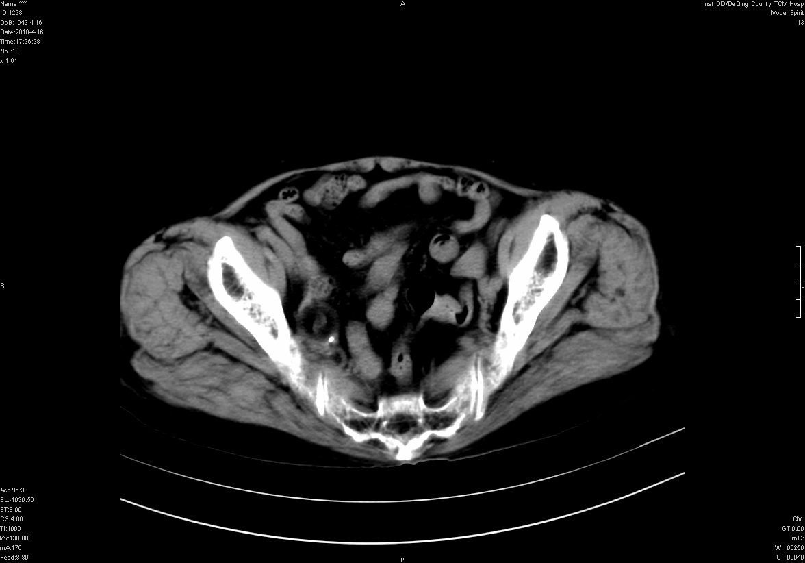
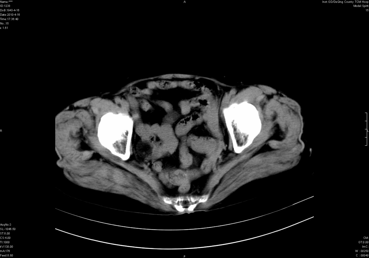
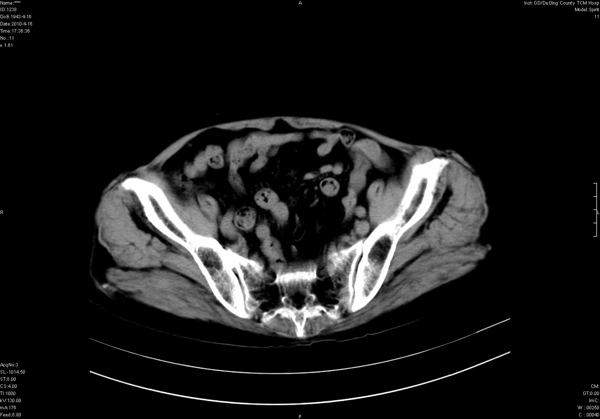
考虑卵巢畸胎瘤。
作者: 道哥    时间: 2010-4-17 03:21
考虑卵巢畸胎瘤。
作者: 心路寻觅    时间: 2010-4-17 03:35
支持右侧盆腔畸胎瘤。
作者: dyqct    时间: 2010-4-17 03:45
标题: 回复:ct25796:女,60岁,腹痛5天,请会诊???
以下是引用xzh825在2010-4-16 18:19:00的发言:[br]是要我考虑粪石吗?引起阑尾炎

有可能。
作者: yaoyuan    时间: 2010-4-17 03:45
畸胎瘤
作者: liyf    时间: 2010-4-17 04:52
钙化灶
作者: zxl51642    时间: 2010-4-17 18:20
右侧附件畸胎瘤
作者: tao772    时间: 2010-4-17 18:22
不太像畸胎瘤,粪石。
作者: LIAOQIANG    时间: 2010-4-17 18:37
考虑右侧卵巢畸胎瘤。
作者: yangyudong333    时间: 2010-4-17 19:31
考虑右侧卵巢畸胎瘤
作者: 随光逐影    时间: 2010-4-23 08:42
右侧卵巢畸胎瘤可能。




欢迎光临 医影在线 (http://bbs.radida.com/bbs/) Powered by Discuz! X3.2