医影在线

标题: CT25801:患者男性,65岁,临床提示双肺可闻及广泛罗音,看 [打印本页]

作者: hailanzi    时间: 2010-4-17 20:48
标题: CT25801:患者男性,65岁,临床提示双肺可闻及广泛罗音,看


































[本贴已被 翁志蓬 于 2010-4-17 15:37:20 修改过]

作者: 深泽交通    时间: 2010-4-17 23:18
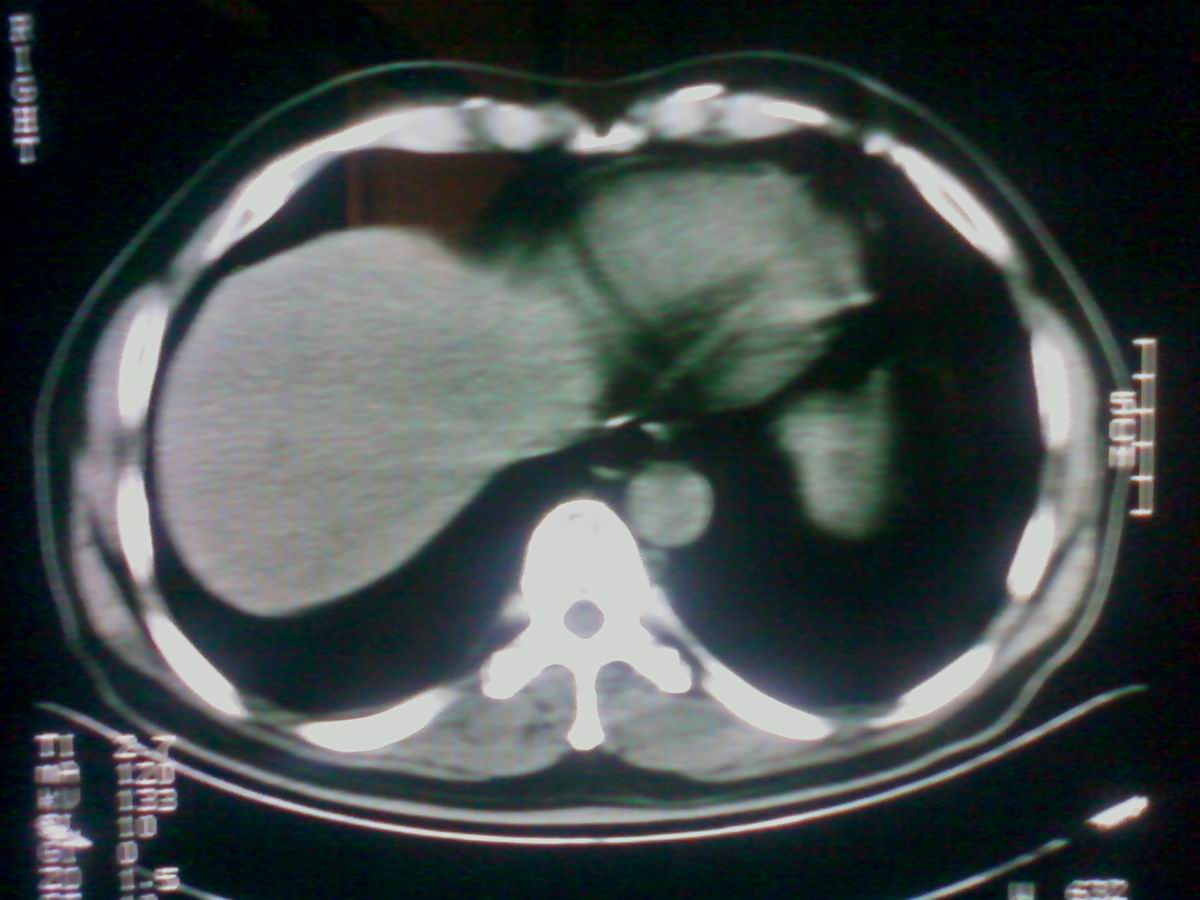
仅见肺纹理影增重 纵膈淋巴结钙化
作者: dyqct    时间: 2010-4-18 00:00
支持气管内恶性肿瘤,建议支气管镜活检。
作者: DDN    时间: 2010-4-18 00:43
气管后部见半圆形软组织密度病灶,考虑占位,建议气管镜除外鳞癌。
作者: 子期    时间: 2010-4-18 03:53
气管上段的肿瘤多为良性乳头状瘤,气管下段的肿瘤多为鳞癌,气管中段的良恶性各占一半。本例位于气管下段,先按恶性处理。不过纤支镜是免不了的。
作者: yuhongjun    时间: 2010-4-18 13:44
支持 大家意见。
作者: 黑白光影    时间: 2010-4-19 21:28
支持 大家意见。
作者: zxl51642    时间: 2010-4-19 23:11
先咳一下,看看是否痰栓再考虑占位。
气管有占位鳞癌、腺样囊性癌、类癌、粘液表皮样癌。
作者: qqx718    时间: 2010-4-19 23:24
支管占位,建议作支纤镜检查及活检。
作者: fskxxsy    时间: 2010-4-19 23:44
进修时见过一例类似的并例,不过肿块位置较高,在胸锁关节以上的气管内,如果不是扫描得高,几乎忽略掉。后来支气管镜检为鳞癌。
作者: 随光逐影    时间: 2010-4-23 08:51
考虑气管癌可能性大。
作者: panyishengct    时间: 2010-4-23 09:31
气管后部见半圆形软组织密度病灶,考虑占位,建议气管镜除外鳞癌。
作者: dr.yang    时间: 2013-6-18 22:23
先咳一下,看看是否痰栓再考虑占位。
气管有占位鳞癌、腺样囊性癌、类癌、粘液表皮样癌。




欢迎光临 医影在线 (http://bbs.radida.com/bbs/) Powered by Discuz! X3.2