医影在线

标题: CT25808:男,48岁,头痛多年,近段时间头痛加重伴步态不稳 [打印本页]

作者: lgl2007    时间: 2010-4-18 00:26
标题: CT25808:男,48岁,头痛多年,近段时间头痛加重伴步态不稳




























[本贴已被 翁志蓬 于 2010-4-17 20:55:33 修改过]

作者: 健力宝    时间: 2010-4-18 00:50
脑膜瘤!
作者: DDN    时间: 2010-4-18 01:25
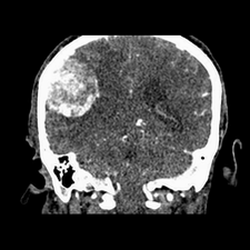
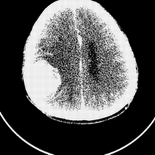
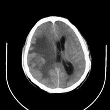
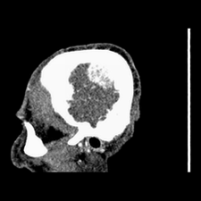
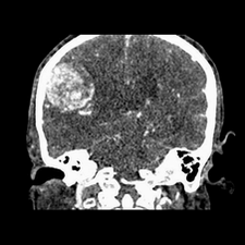
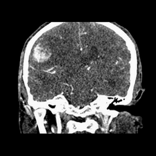
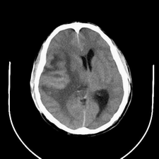
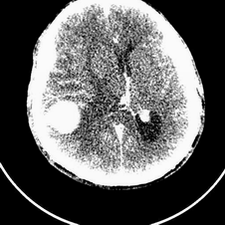
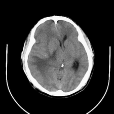
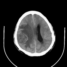
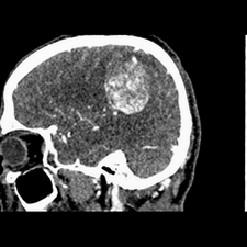
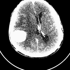
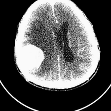
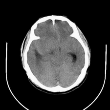
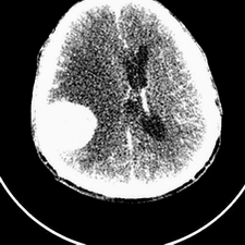
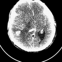
平扫:右颞顶叶病灶呈等低密度伴大面积水肿,脑室受压变形。增强:病灶显著强化。考虑淋巴瘤或黑色素瘤。
作者: yuhongjun    时间: 2010-4-18 13:41
支持3楼意见。
作者: zxl51642    时间: 2010-4-20 07:59
血管外皮瘤可能。
淋巴瘤好像强化均匀且明显,位置较深。黑色素瘤有可能,mr更敏感一点
作者: 随光逐影    时间: 2010-4-23 09:04
1)不排除黑色素瘤可能;建议行mri检查。2)大脑镰下疝。3)脑积水(梗阻性)。
作者: panyishengct    时间: 2010-4-23 09:22
脑膜瘤!
作者: dr.yang    时间: 2013-6-18 21:11
学习了




欢迎光临 医影在线 (http://bbs.radida.com/bbs/) Powered by Discuz! X3.2