









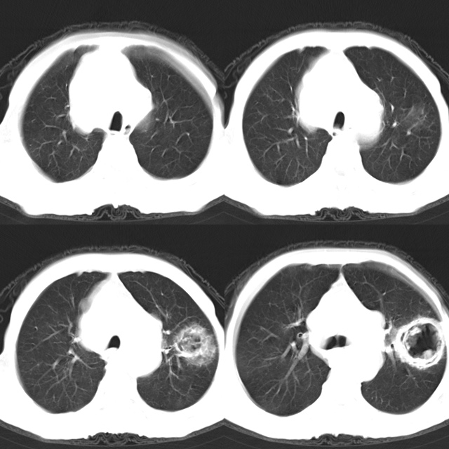
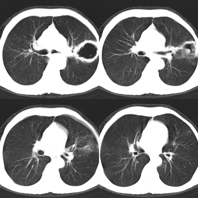
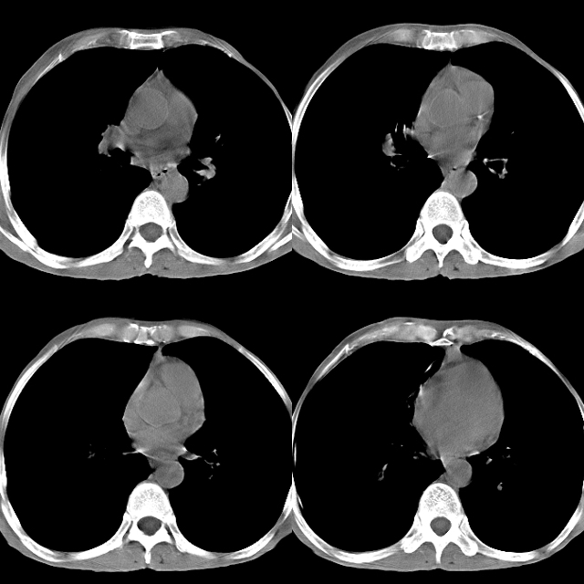
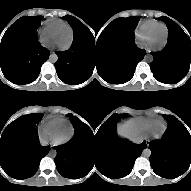
以下是引用心路寻觅在2010-4-17 18:35:00的发言:[br]纵膈多组淋巴结肿大呈“冰冻纵膈”,左肺上叶空洞伴其内结节密度影,考虑淋巴瘤伴左肺上叶曲霉菌感染。[br][br][本贴已被 心路寻觅 于 2010-4-17 18:36:23 修改过]
以下是引用zhangzhongshou在2010-4-17 19:32:00的发言:[br]一元论考虑左肺空洞型肺癌并纵隔淋巴结转移可能性大。
| 欢迎光临 医影在线 (http://bbs.radida.com/bbs/) | Powered by Discuz! X3.2 |