医影在线

标题: CT25816:胸部CT,请会诊。 [打印本页]

作者: 红玉    时间: 2010-4-18 02:33
标题: CT25816:胸部CT,请会诊。
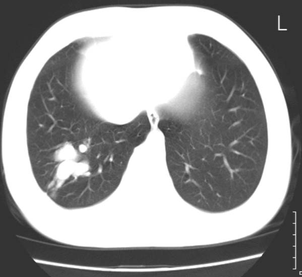
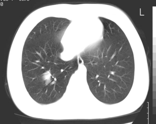
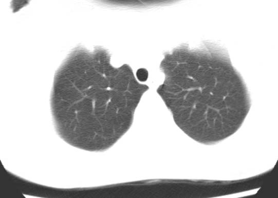
女 19岁,发热,咳嗽


















































[本贴已被 翁志蓬 于 2010-4-17 23:28:02 修改过]

作者: 心路寻觅    时间: 2010-4-18 02:39
右肺下叶支扩伴感染。
作者: DDN    时间: 2010-4-18 03:29
考虑血管畸形。建议临床进一步检查。
作者: ZHANGZHONGSHOU    时间: 2010-4-18 03:31
考虑肺血管畸形可能性大,建议增强检查。或薄层ct后三维重建。
作者: dyqct    时间: 2010-4-18 03:33
考虑右下肺动静脉畸形,建议增强进一步检查。
作者: wxq2008    时间: 2010-4-18 04:25
考虑右下肺动静脉畸形,建议增强进一步检查。
作者: liyf    时间: 2010-4-18 04:38
右下肺静脉畸形可能,建议增强
作者: 蓬莱客    时间: 2010-4-18 04:40
1、右下肺动静脉畸形?2、右下肺囊肿?建议ct增强扫描。
作者: 37度    时间: 2010-4-18 05:11
动静脉瘘可能,增强吧.
作者: zxl51642    时间: 2010-4-18 07:38
标题: 回复:ct25816:胸部ct,请会诊。
以下是引用dyqct在2010-4-17 19:33:00的发言:[br]考虑右下肺动静脉畸形,建议增强进一步检查。

作者: yuhongjun    时间: 2010-4-18 14:00
考虑右下肺动静脉畸形,建议增强进一步检查。
作者: 施明    时间: 2010-4-18 18:20
血管畸形可能性大
作者: 黑白光影    时间: 2010-4-20 06:13
考虑肺血管畸形可能性大,建议增强检查。或薄层ct后三维重建。
作者: zsl6918    时间: 2010-4-20 06:17
典型的支气管粘液栓,建议抗炎治疗复查,会有变化的。
作者: 红玉    时间: 2010-4-21 07:31
标题: 回复:ct25816:胸部ct,请会诊。
病人是一个留守女孩儿,在医院抗炎治疗了两天,不发热就出院了,连确诊的机会都没有!
作者: panyishengct    时间: 2010-4-21 09:41
典型的支气管粘液栓,建议抗炎治疗复查,会有变化的。
作者: 随光逐影    时间: 2010-4-23 09:18
考虑右肺下叶支气管扩张并黏液嵌塞。
作者: dr.yang    时间: 2013-6-18 21:09
考虑右下肺动静脉畸形,建议增强进一步检查。




欢迎光临 医影在线 (http://bbs.radida.com/bbs/) Powered by Discuz! X3.2