医影在线
标题: PED3203:脑白质软化? [打印本页]
作者: ayi 时间: 2010-4-18 04:51
标题: PED3203:脑白质软化?
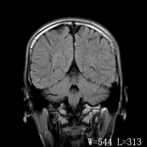
男,14岁,外伤入院。















[本贴已被 翁志蓬 于 2010-4-18 21:41:53 修改过]
[本贴已被 jiajie 于 2010-4-24 14:13:51 修改过]
作者: 施明 时间: 2010-4-18 17:05
双侧枕叶侧脑室旁对称性线状t2高信号 右侧斑点状t2高信号 增强一下可能有点用
作者: pujunzhi 时间: 2010-4-18 20:36
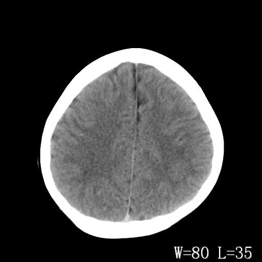
支持右侧顶叶后部脑软化灶。
作者: 卜一 时间: 2010-4-18 22:08
支持右侧顶叶后部脑软化灶。
作者: linyiming 时间: 2010-4-19 10:50
脑软化灶。
作者: yangyudong333 时间: 2010-4-19 20:27
支持右侧顶叶后部脑软化灶。
作者: sunbin 时间: 2010-4-19 21:19
支持右顶后部软化灶。
作者: zxl51642 时间: 2010-4-19 22:23
软化灶
作者: 同 时间: 2010-4-21 00:00
标题: 回复:ped3143:脑白质软化?
以下是引用卜一在2010-4-18 14:08:00的发言:[br][br] 支持右侧顶叶后部脑软化灶。 [br]
作者: 37度 时间: 2010-4-21 03:40
支持大家。
作者: dyqct 时间: 2010-4-21 15:14
支持右侧顶叶后部脑软化灶。
作者: 黑白光影 时间: 2010-4-22 07:05
支持
作者: hguox 时间: 2010-4-23 00:34
支持右顶后部软化灶
作者: 随光逐影 时间: 2010-4-23 04:00
支持 右侧顶叶后部脑软化灶。
作者: jyhe 时间: 2010-4-24 04:58
两顶枕区脑白质长t1、长t2信号,基本对称,应考虑脑白质病变,考虑髓鞘发育不良性疾病。且刚外伤,何来之脑软化灶?
作者: hguox 时间: 2010-5-13 00:50
支持右侧顶叶后部脑软化灶。
作者: panyishengct 时间: 2010-5-13 05:30
支持右侧顶叶后部脑软化灶。
作者: zgb5618 时间: 2010-5-13 16:49
我支持15
楼,另外如果打个增强排除一下血管病变
作者: yuhongjun 时间: 2010-5-15 03:11
支持右侧顶叶后部脑软化灶。
作者: chinanyd 时间: 2010-5-16 03:53
支持
作者: bzg1979 时间: 2010-5-27 06:47
脑腔隙 没什么意义
| 欢迎光临 医影在线 (http://bbs.radida.com/bbs/) |
Powered by Discuz! X3.2 |