医影在线

标题: X7192:肱骨上段骨病,外伤发现,病人无任何症状 [打印本页]

作者: wbb083    时间: 2010-4-19 04:02
标题: X7192:肱骨上段骨病,外伤发现,病人无任何症状
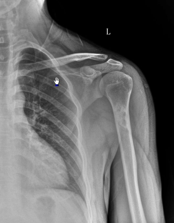
男,25岁,左肱骨上段病变,外伤发现,病人无任何症状。


[本贴已被 jiajie 于 2010-4-18 23:01:12 修改过]

作者: fanxinyu    时间: 2010-4-19 04:40
内生软骨瘤。
作者: 蓬莱客    时间: 2010-4-19 04:52
内生软骨瘤。建议mri检查。
作者: 马铃薯    时间: 2010-4-19 05:31
1.良性骨肿瘤。
2.内生软骨瘤可能性大。
作者: 37度    时间: 2010-4-19 05:39
标题: 回复:肱骨上段骨病,外伤发现,病人无任何症状
以下是引用fanxinyu在2010-4-18 20:40:00的发言:[br]内生软骨瘤。

作者: 拾荒者    时间: 2010-4-19 06:00
内生软骨瘤可能,骨梗死待排。
作者: qingguang220    时间: 2010-4-19 06:02
标题: 回复:肱骨上段骨病,外伤发现,病人无任何症状
以下是引用fanxinyu在2010-4-18 20:40:00的发言:[br]内生软骨瘤。

作者: DDN    时间: 2010-4-19 06:27
考虑brodie氏骨脓肿。(低毒性骨感染)。
作者: linyiming    时间: 2010-4-19 10:40
1.良性骨肿瘤。
2.内生软骨瘤可能性大。
作者: whmy    时间: 2010-4-19 15:01
纤维性骨皮质缺损可能性大
作者: ZHANGZHONGSHOU    时间: 2010-4-19 15:38
标题: 回复:x7192:肱骨上段骨病,外伤发现,病人无任何症状
以下是引用蓬莱客在2010-4-18 20:52:00的发言:[br]内生软骨瘤。建议mri检查。

作者: zxl51642    时间: 2010-4-19 17:17
无任何症状,年龄25岁外伤发现,考虑骨纤。
鉴别:brodie氏骨脓肿(低密度囊状影,边界清),内生软骨瘤(环状半环状钙化)。
作者: jinguoji    时间: 2010-4-19 17:45
考虑骨纤。
作者: 奥特之父    时间: 2010-4-19 17:59
良性,考虑骨化性纤维瘤。
作者: xiongneo    时间: 2010-4-19 18:42
考虑brodie氏骨脓肿。(低毒性骨感染)。
作者: bobytin    时间: 2010-4-19 19:44
骨梗死待排
作者: yangyudong333    时间: 2010-4-19 20:22
无任何症状,年龄25岁外伤发现,考虑骨纤。
鉴别:brodie氏骨脓肿(低密度囊状影,边界清),内生软骨瘤(环状半环状钙化)。
作者: 小猫钓鱼    时间: 2010-4-19 20:54
平片确定的是:良性骨肿瘤或肿瘤样病变。骨纤、内生软骨瘤、非骨化性纤维瘤、brodie氏骨脓肿都有可能!交给ct鉴别!
作者: liubo.com    时间: 2010-4-19 20:59
标题: 回复:x7192:肱骨上段骨病,外伤发现,病人无任何症状
内生骨软骨瘤
作者: sunbin    时间: 2010-4-19 21:45
支持骨纤,建议ct检查。
作者: 宇宙CT    时间: 2010-4-20 00:42
1.良性骨肿瘤。
2.内生软骨瘤可能性大。
作者: yuhongjun    时间: 2010-4-20 02:40
考虑骨纤。
作者: yongwang    时间: 2010-4-20 03:51
应做ct,病变如位于骨皮质内考虑骨纤;如病变位于髓腔内考虑内生软骨瘤。
作者: 五月的阳光    时间: 2010-4-20 03:51
良性骨肿瘤或肿瘤样病变,骨纤可能性大
作者: hlbx126    时间: 2010-4-20 05:31
低毒性感染
作者: 黑白光影    时间: 2010-4-20 05:42
考虑骨纤或非骨化性纤维瘤。
作者: ct诊断高手    时间: 2010-4-20 05:50
良性骨肿瘤或肿瘤样病变,骨纤可能性大
作者: shibing    时间: 2010-4-20 06:49
内生软骨瘤可能性大。
作者: 随光逐影    时间: 2010-4-23 06:23
考虑左肱骨上段骨纤维异常增殖症,骨梗死待排。




欢迎光临 医影在线 (http://bbs.radida.com/bbs/) Powered by Discuz! X3.2