医影在线
标题: CT25829:一个转贴,大家看看 [打印本页]
作者: fanshl 时间: 2010-4-19 10:04
标题: CT25829:一个转贴,大家看看
(结果公布:http://www.radida.com/bbs/forum.php?mod=viewthread&tid=71905)
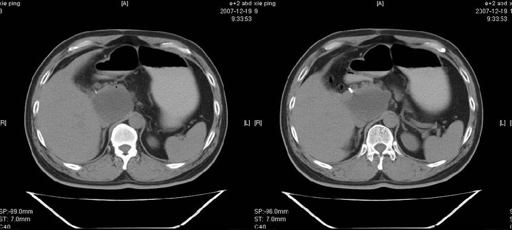
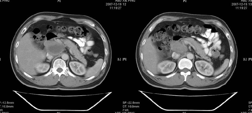
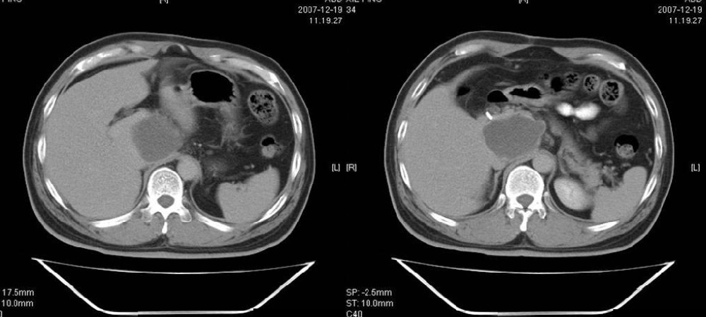
临床病史:患者,男,53岁,因反复上腹部饱胀不适2+月,在餐后或饥饿时明显,伴呃逆,无呕吐、呕血,无腹痛腹泻;2年前腹腔镜胆囊切除,否认肝炎、结核等病史。
体格检查:一般情况可,腹平软,全腹无压痛,无反跳痛,未扪及包块,肝脾未及,肠鸣音正常。白细胞6.03×10e9/l,中性粒细胞3.32×10e9/l,淋巴细胞2.06×10e9/l













[本贴已被 jiajie 于 2010-4-19 19:02:15 修改过]
[本贴已被 jiajie 于 2010-10-13 19:18:19 修改过]
作者: 卜一 时间: 2010-4-19 14:13
胰腺头部低密度囊性病灶,边缘清楚,增强后囊壁略强化。考虑:胰头假性囊肿!
作者: DDN 时间: 2010-4-19 15:36
胰腺头部(或肝脏尾叶部)低密度囊性病灶,边缘清楚,增强后囊壁略强化。考虑:胰头假性囊肿. 或肝脏尾叶部囊肿。
作者: whmy 时间: 2010-4-19 15:52
胰腺头部(或肝脏尾叶部)低密度囊性病灶,边缘清楚,增强后囊壁略强化。考虑:胰头假性囊肿. 或肝脏尾叶部囊肿
作者: 施明 时间: 2010-4-19 16:50
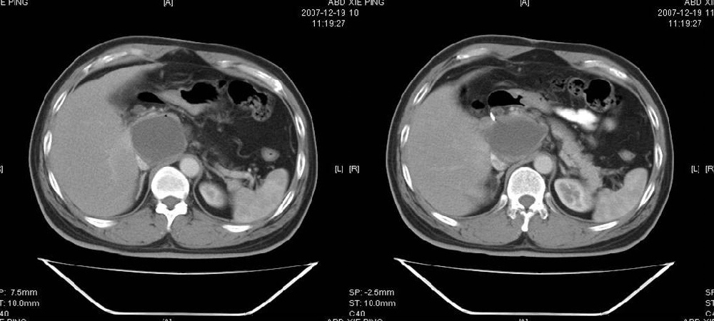
mrcp 可否再反复旋转一下角度 看看囊肿有无蒂与胆总管相连
作者: fanshl 时间: 2010-4-19 17:06
大家再考虑考虑
作者: 深泽交通 时间: 2010-4-19 17:32
考虑胆总管或肝尾叶囊肿
作者: 北方的狼 时间: 2010-4-19 18:02
十二指肠息室
作者: 朱海根 时间: 2010-4-19 18:29
从图像上看定位应是肝尾叶的病灶。
作者: zxl51642 时间: 2010-4-20 00:25
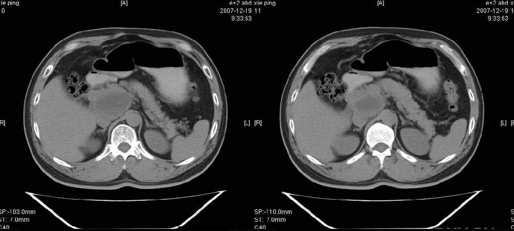
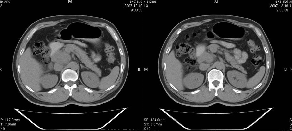
pmrc显示病变与12指肠关系密切,与胆系不相通。
餐后或饥饿时明显,考虑12指肠溃疡并穿孔形成假囊肿(外瘘积液包裹),与lc手术无关。
鉴别:皮样囊肿、胆管囊肿或胆囊残株假囊肿、胰腺假囊肿、肝囊肿、神经节瘤等。
作者: pujunzhi 时间: 2010-4-20 00:33
考虑十二指肠憩室。从影像上看,病变位于下腔静脉前胰头后方十二指肠内侧,肝尾叶受压,说明病变来源于后腹膜;胰胆管成像胰管和胆道未见扩张,总胆管中段受压未显示,上下段正常,所以不考虑来源与于肝尾叶和总胆管的囊肿。考虑为十二指肠憩室或小网膜囊肿。
作者: fanshl 时间: 2010-4-20 15:43
楼上高手,本例的确是一例十二指肠憩室.
作者: 37度 时间: 2010-4-21 05:39
形态密度都像囊肿,学习了。
作者: 随光逐影 时间: 2010-4-26 01:01
十二指肠憩室。
——值得学习的病例。
作者: ghp3522 时间: 2010-10-14 05:34
考虑十二指肠憩室。从影像上看,病变位于下腔静脉前胰头后方十二指肠内侧,肝尾叶受压,说明病变来源于后腹膜;胰胆管成像胰管和胆道未见扩张,总胆管中段受压未显示,上下段正常,所以不考虑来源与于肝尾叶和总胆管的囊肿。考虑为十二指肠憩室或小网膜囊肿.分析的好。
作者: cfililiu 时间: 2010-10-14 16:37
为什么口服的对比剂没有少量进入憩室里呢?我前段诊断过类似病例,对比剂少量进入憩室内,此病例是否口服对比剂时间短呢?
作者: wy232326 时间: 2010-10-17 01:36
十二指肠息室 学习了
作者: 影像之路 时间: 2010-10-17 04:22
十二指肠憩室。
——值得学习的病例。
作者: 拾荒者 时间: 2010-10-17 05:09
谢谢!钡餐常见且诊断容易。
作者: 透明的蓝 时间: 2010-10-20 20:13
标题: 回复:ct25829:一个转贴,大家看看
以下是引用随光逐影在2010-4-25 17:01:00的发言:[br]十二指肠憩室。[br]——值得学习的病例。
作者: 12640484 时间: 2010-11-6 07:56
学习
| 欢迎光临 医影在线 (http://bbs.radida.com/bbs/) |
Powered by Discuz! X3.2 |