医影在线
标题: CT25850:CT增强脑瘤没有强化,你看是什么? [打印本页]
作者: wsf1325566 时间: 2010-4-20 02:01
标题: CT25850:CT增强脑瘤没有强化,你看是什么?
(结果公布:http://www.radida.com/bbs/forum.php?mod=viewthread&tid=71907)
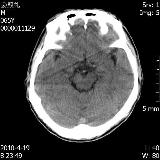
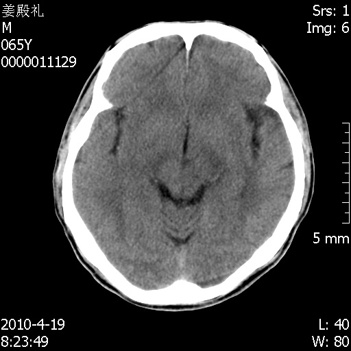
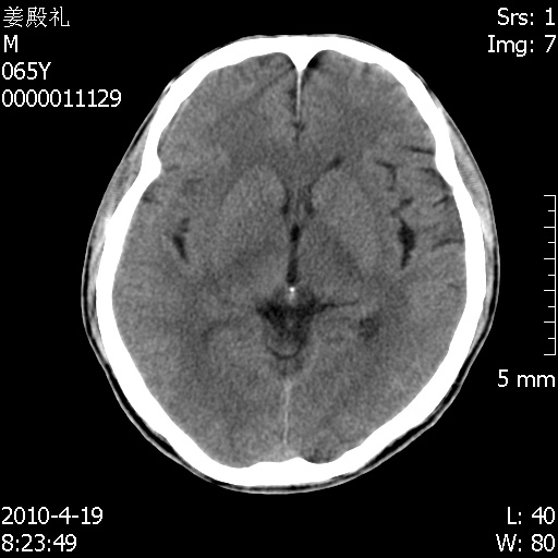
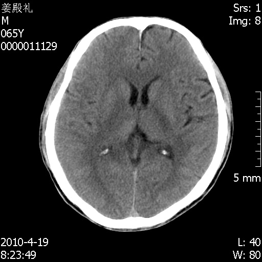
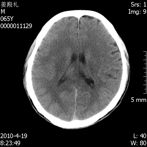
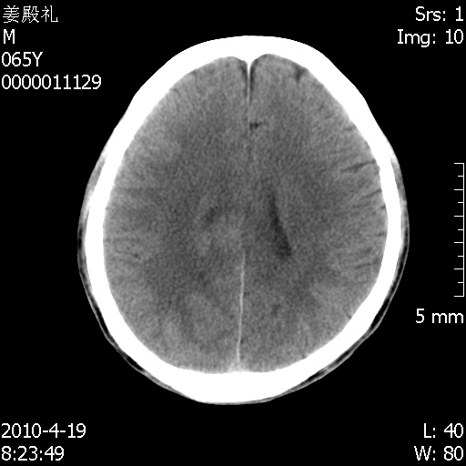
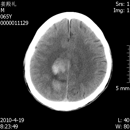
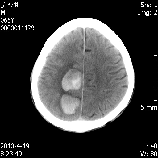
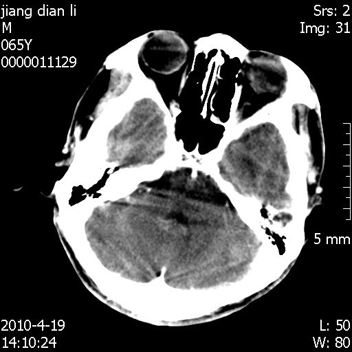
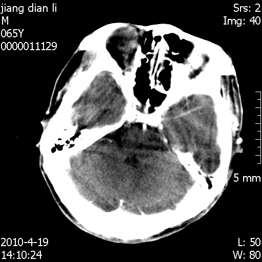
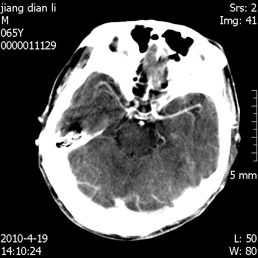
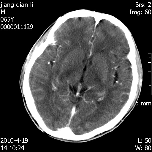
老年男性,突发左下肢无力1天,其余有价值的检查都没有。平扫ct值大约60hu,增强后ct值没什么改变,请大家讨论一下这个病例是什么?说明诊断理由。












































[本贴已被 jiajie 于 2010-4-19 19:17:18 修改过]
[本贴已被 jiajie 于 2010-10-13 19:25:00 修改过]
作者: DDN 时间: 2010-4-20 02:49
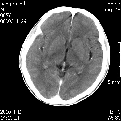
左小脑、右大脑顶叶多发圆形高密度病灶,其周环状低密度影。考虑多发脑出血。隔期观察。
作者: panyishengct 时间: 2010-4-20 02:57
考虑转移瘤并出血
作者: pujunzhi 时间: 2010-4-20 03:10
考虑转移瘤并出血。
作者: 蓬莱客 时间: 2010-4-20 03:15
考虑转移瘤并出血。
作者: 疯猪 时间: 2010-4-20 03:44
幕下的是血,幕上这个学习中
作者: 彭 时间: 2010-4-20 04:22
转移瘤并出血靠谱
作者: shuiyuan 时间: 2010-4-20 04:51
多发,考虑转移瘤。不增强,也许是因为缺乏血供 。
作者: hlbx126 时间: 2010-4-20 04:58
考虑单纯颅内多发血肿;没有转移瘤的特征性水肿。转移瘤出血就那么巧?三都出血了,且还差不多。
作者: wsf1325566 时间: 2010-4-20 05:48
至于是出血还是微小钙化所致的高密度无法考证,三个都出血也不是一点都不可能,同一种组织学类型的肿瘤受到同一个外来的因素影响后会表现出相同的病理变化。说实在的,我本身支持转移瘤的,就是想不通为什么不强化?我认为单纯脑出血的边缘不会那么光滑,并且那也不是出血的常见部位,多发也不常见。
刚刚复习了转移瘤的不典型ct征象,有4条,分享给大家:
1、高密度灶:多为瘤内有较多沙粒体钙化所致,而不是出血,ct值可高达95hu;
2、无强化;
3、无水肿;
4、无占位效应。
作者: yangyang2000 时间: 2010-4-20 05:51
多发,考虑转移瘤。不增强,也许是因为缺乏血供
作者: yangyudong333 时间: 2010-4-20 13:59
考虑转移瘤并出血
作者: LIAOQIANG 时间: 2010-4-20 17:59
考虑转移瘤?血肿?
作者: zxl51642 时间: 2010-4-20 18:40
考虑转移瘤?血肿?复查或mri
作者: dhlyq 时间: 2010-4-21 01:11
考虑转移瘤并出血。
作者: pinkwq 时间: 2010-4-21 02:49
从密度、位置和形态看也不能除外多发脑膜瘤的可能,但强化不明显不太支持
作者: dsl555 时间: 2010-4-21 03:14
标题: 回复:ct25850:ct增强脑瘤没有强化,你看是什么?
以下是引用wsf1325566在2010-4-19 21:48:00的发言:[br]至于是出血还是微小钙化所致的高密度无法考证,三个都出血也不是一点都不可能,同一种组织学类型的肿瘤受到同一个外来的因素影响后会表现出相同的病理变化。说实在的,我本身支持转移瘤的,就是想不通为什么不强化?我认为单纯脑出血的边缘不会那么光滑,并且那也不是出血的常见部位,多发也不常见。[br]刚刚复习了转移瘤的不典型ct征象,有4条,分享给大家:[br]1、高密度灶:多为瘤内有较多沙粒体钙化所致,而不是出血,ct值可高达95hu;[br]2、无强化;[br]3、无水肿;[br]4、无占位效应。[br]
作者: 37度 时间: 2010-4-21 04:11
标题: 回复:ct25850:ct增强脑瘤没有强化,你看是什么?
以下是引用zxl51642在2010-4-20 10:40:00的发言:[br]考虑转移瘤?血肿?复查或mri
作者: wsf1325566 时间: 2010-4-25 05:55
向大家通报一下影像复查结果:
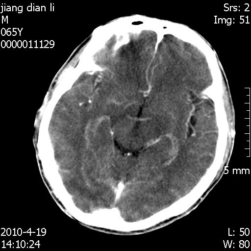
今天上班后发现病人前天复查(4月18日发病,19日初诊,22日复查),三个病灶均明显增大,边缘仍旧清楚,水肿加重,右侧脑室基本闭塞。
基于这样的表现,不知大家有什么看法?(临床其他检查我还没有追踪)
我想:如果是肿瘤出血的话,一般不会导致体积明显改变,水肿又进一步加重;如果是出血灶,那么现在应该正好是水肿加重的时候,还是比较符合,但是为什么边缘又是这样的特点?
有了结果,我会马上通知大家。
作者: 随光逐影 时间: 2010-4-27 00:27
考虑多发性脑转移瘤并肿瘤卒中。
作者: wsf1325566 时间: 2010-4-28 05:57
今天遇到临床医生,询问病人情况,病人已经死亡。
最后看到的病人右侧瞳孔呈针尖大小,估计是继发脑干梗死,而非脑疝死亡。
其他检查也没有来得及做。
遗憾! 复习了复查片:发现顶叶出血灶破入侧脑室,侧脑室体部见少许高密度。
作者: 37度 时间: 2010-10-14 04:14
谢反馈“结果”。
作者: ljj8935 时间: 2010-10-14 05:39
多发,考虑转移瘤。
作者: xiongneo 时间: 2010-10-14 06:04
以后看到这种就怕了
作者: yuxianw 时间: 2010-10-14 06:13
学习中,可惜没有复查片
作者: wy232326 时间: 2010-10-17 01:26
还是考虑转移瘤卒中可能性大
作者: 影像之路 时间: 2010-10-17 04:24
谢反馈“结果”。 还是支持颅内多发脑出血 血肿形成 颅内转移瘤并出血不会进展这么快
作者: 拾荒者 时间: 2010-10-17 05:18
谢谢反馈“结果”,又是一桩无头案。
作者: 李文星 时间: 2010-10-17 16:49
就是一转移瘤,我遇见过这类病例,密度与原发肿瘤科密度一样。
作者: yuhongjun 时间: 2010-10-18 17:45
考虑转移瘤。
作者: 吴医师 时间: 2010-10-20 06:24
谢谢 学习了
作者: lzfazsw 时间: 2010-10-23 05:13
典型的转移瘤是小肿瘤大水肿的
作者: 12640484 时间: 2010-11-6 07:50
转移瘤并瘤内出血可能性大
| 欢迎光临 医影在线 (http://bbs.radida.com/bbs/) |
Powered by Discuz! X3.2 |