医影在线

标题: CT25875:咳嗽数天。 [打印本页]

作者: wjqq    时间: 2010-4-20 22:57
标题: CT25875:咳嗽数天。
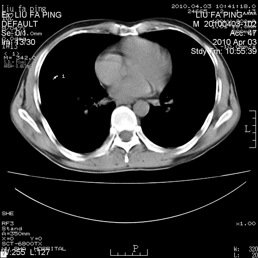
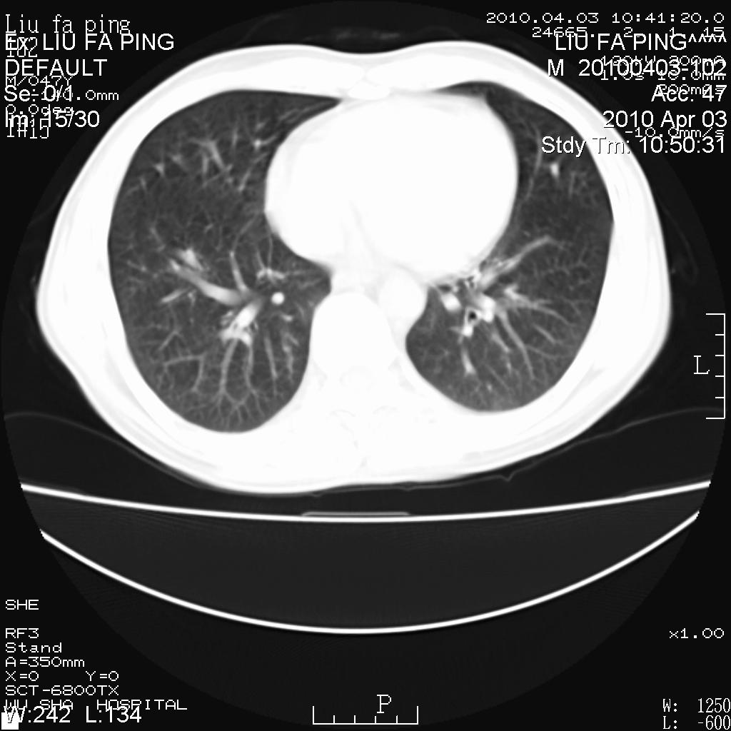
平时身体健康,无不适





















































[本贴已被 翁志蓬 于 2010-4-20 23:40:24 修改过]

作者: muzi888    时间: 2010-4-20 23:25
肺结核,建议治疗后复查。
作者: cfililiu    时间: 2010-4-20 23:34
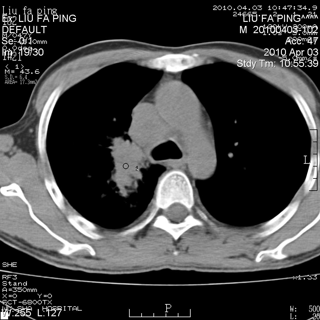
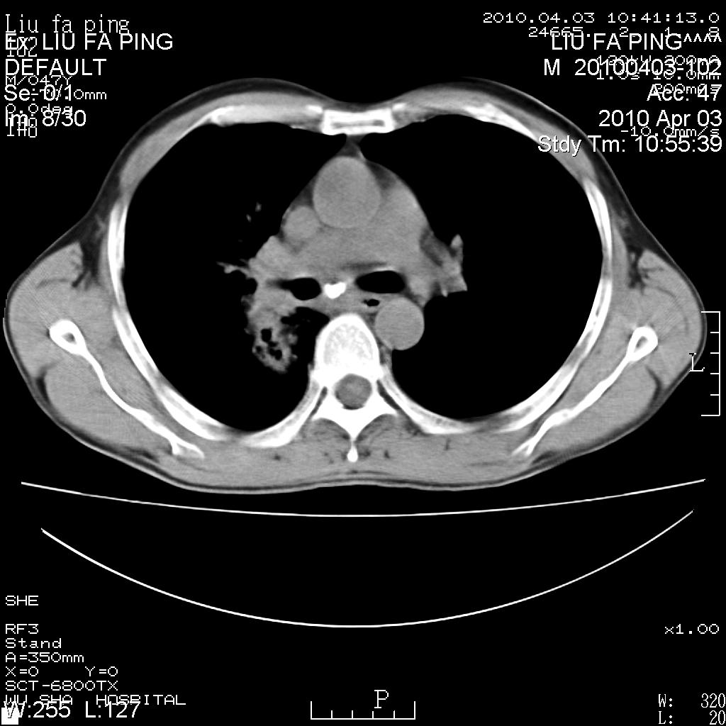
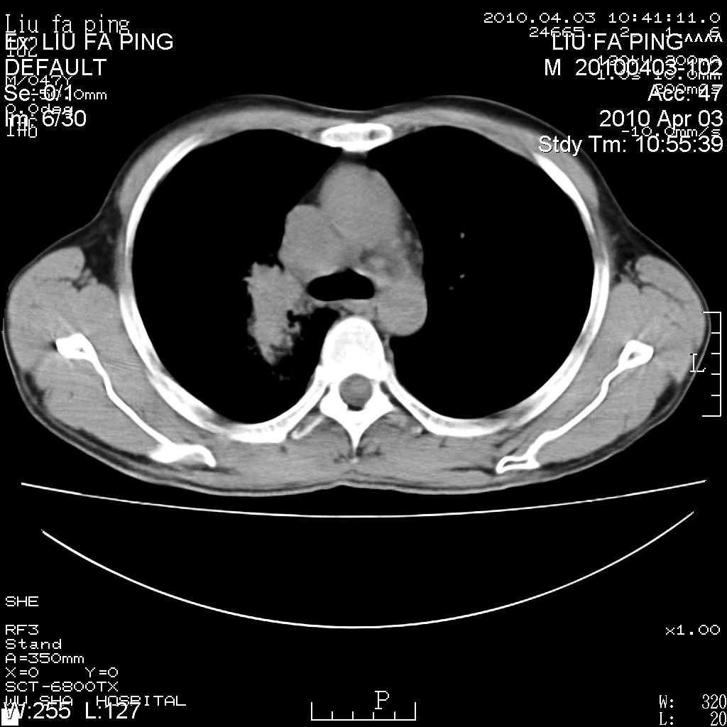
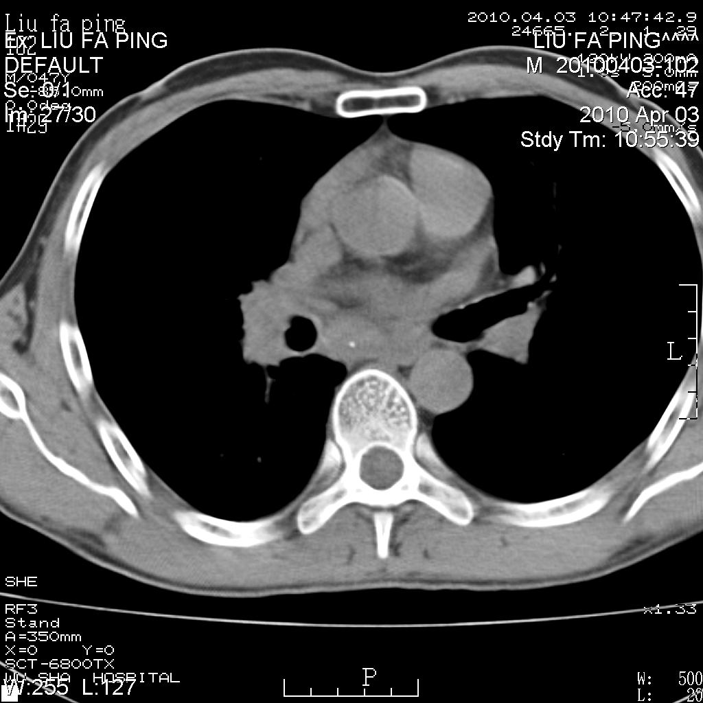
中心性肺癌合并阻塞形肺炎
作者: 同    时间: 2010-4-20 23:51
考虑右肺癌伴阻塞性肺炎可能性大。结核不除外。
作者: yuhongjun    时间: 2010-4-21 00:15
考虑右肺癌伴阻塞性肺炎可能性大。
作者: 碧空一鹰    时间: 2010-4-21 00:40
tb合并肺癌。
作者: zxl51642    时间: 2010-4-21 00:44
男性47岁,考虑中心性肺癌合并阻塞性肺炎,纵膈淋巴结肿大。肺内及纵膈淋巴结钙化。
建议支气管镜检
作者: fskxxsy    时间: 2010-4-21 00:52
肺结核首先予以考虑,同时不排外肺癌,建议增强检查。
作者: 心路寻觅    时间: 2010-4-21 01:14
支持右侧中央型肺癌伴右肺上叶阻塞性炎症,建议纤支镜检查!
作者: 学者~『风    时间: 2010-4-21 01:19
考虑结核
作者: dhlyq    时间: 2010-4-21 01:26
考虑右肺癌伴阻塞性肺炎可能性大。结核不除外。
作者: dsl555    时间: 2010-4-21 02:45
标题: 回复:咳嗽数天。
以下是引用cfililiu在2010-4-20 15:34:00的发言:[br]中心性肺癌合并阻塞形肺炎

作者: yangyang2000    时间: 2010-4-21 05:59
支持右侧中央型肺癌伴右肺上叶阻塞性炎症、纵膈淋巴结转移,建议纤支镜检查!
作者: jw_830    时间: 2010-4-21 06:21
考虑右肺中央型肺癌并阻塞性肺炎
作者: pujunzhi    时间: 2010-4-21 06:40
支持右侧中央型肺癌伴右肺上叶阻塞性炎症、纵膈淋巴结转移,建议纤支镜检查!
作者: yangyudong333    时间: 2010-4-21 13:09
肺结核首先予以考虑,同时不排外肺癌,建议增强检查。
作者: panyishengct    时间: 2010-4-21 13:38
男性47岁,考虑中心性肺癌合并阻塞性肺炎,纵隔淋巴结肿大。肺内及纵隔淋巴结钙化。
建议支气管镜检
作者: huqi8888    时间: 2010-4-21 17:04
建议行支纤镜检查;考虑中央型肺癌并阻塞性肺不张可能性大。
作者: 黑白光影    时间: 2010-4-22 05:39
考虑右肺癌伴阻塞性肺炎可能性大。
作者: 随光逐影    时间: 2010-4-27 01:45
考虑右肺中央型肺癌并阻塞性肺炎,右肺门及纵隔淋巴结转移;建议必要时行纤支镜检查进一步明确诊断。
作者: 小青    时间: 2010-4-27 02:09
支持中央型肺癌合并阻塞性肺炎
作者: dr.yang    时间: 2013-6-27 20:12
男性47岁,考虑中心性肺癌合并阻塞性肺炎,纵膈淋巴结肿大。肺内及纵膈淋巴结钙化。
建议支气管镜检




欢迎光临 医影在线 (http://bbs.radida.com/bbs/) Powered by Discuz! X3.2