医影在线

标题: CT25889:男,66岁,上腹部不适、黄染一周。 [打印本页]

作者: ldm1993    时间: 2010-4-21 06:52
标题: CT25889:男,66岁,上腹部不适、黄染一周。
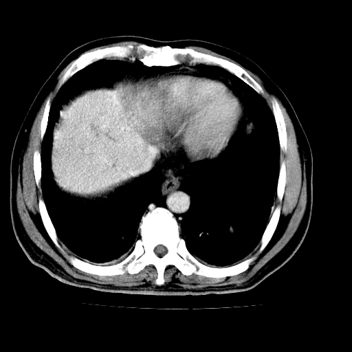
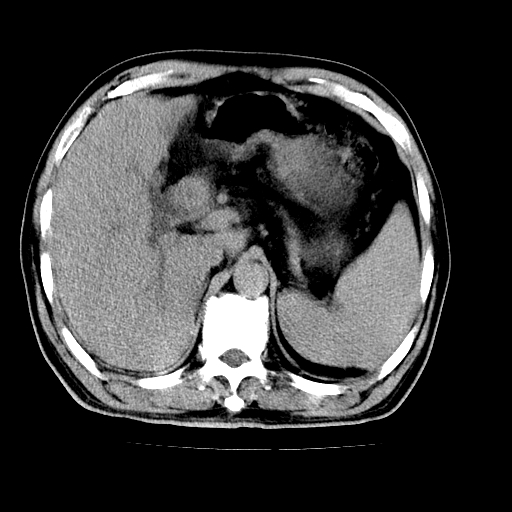
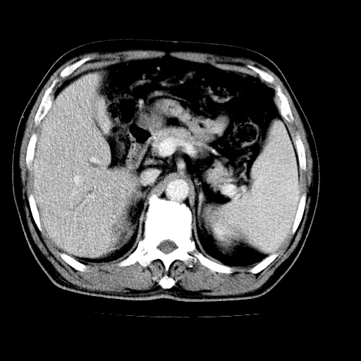
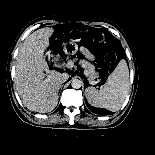
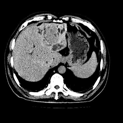
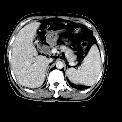
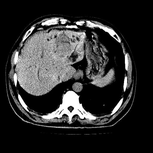
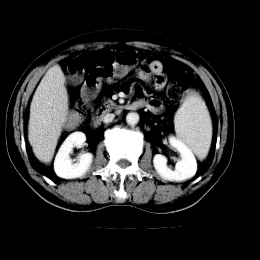
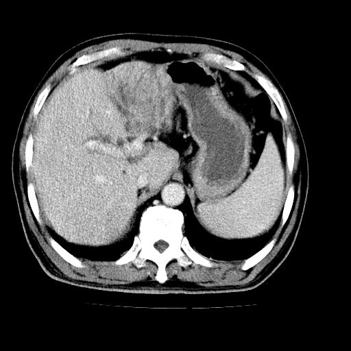
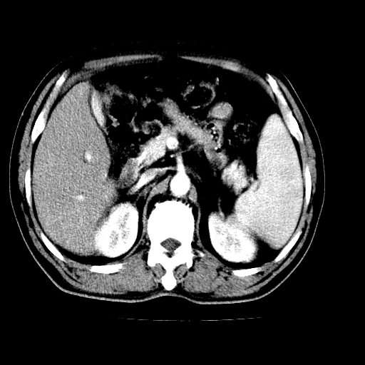
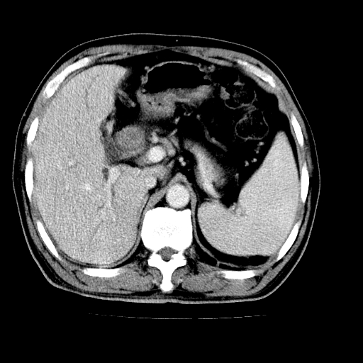
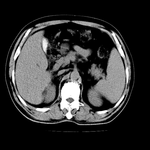
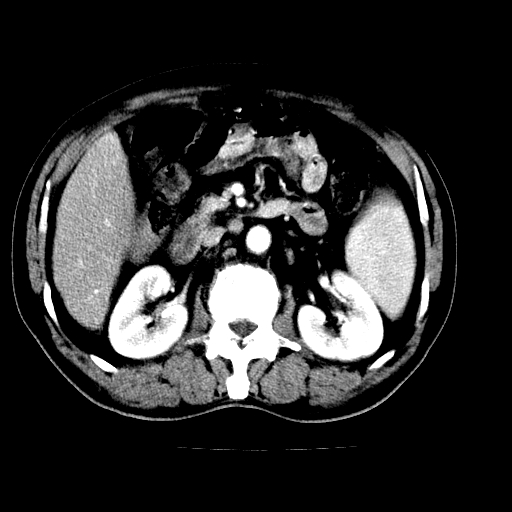
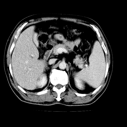
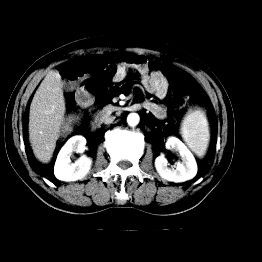
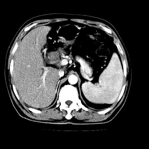
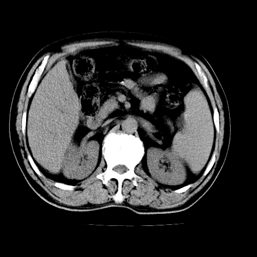
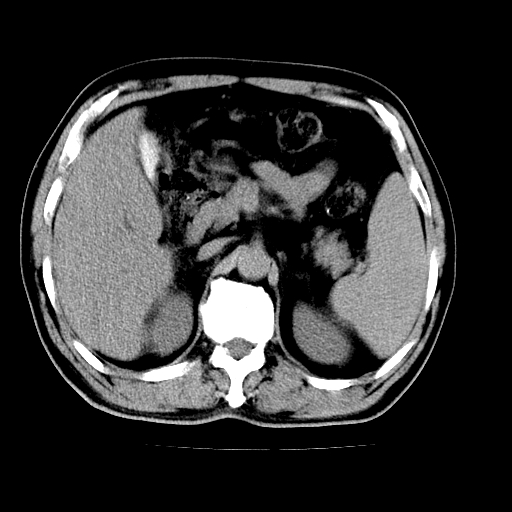
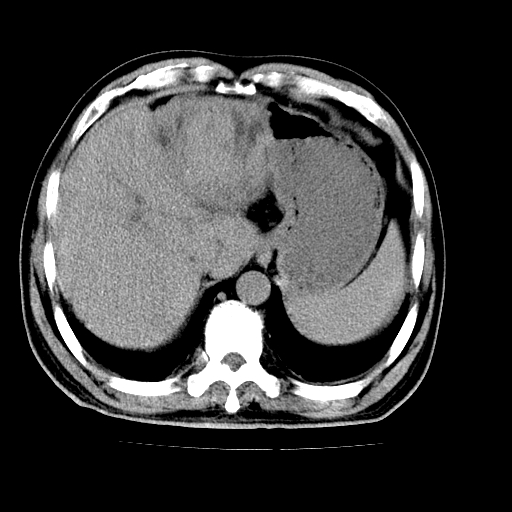
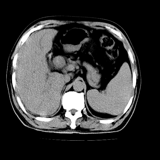
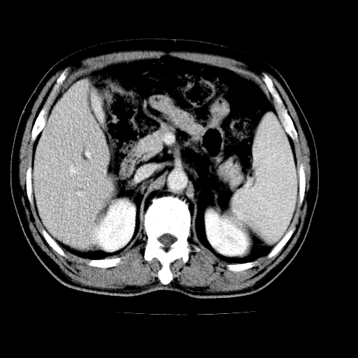
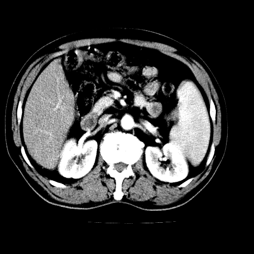
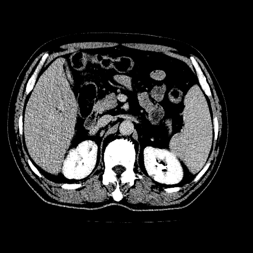
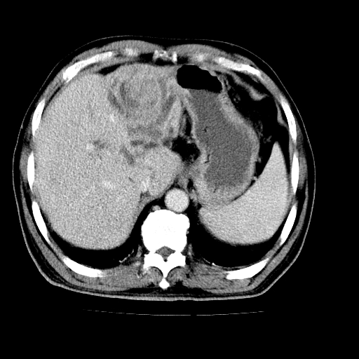
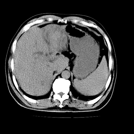
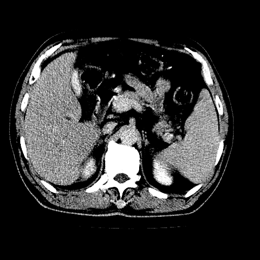
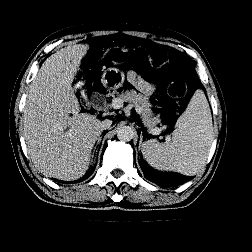
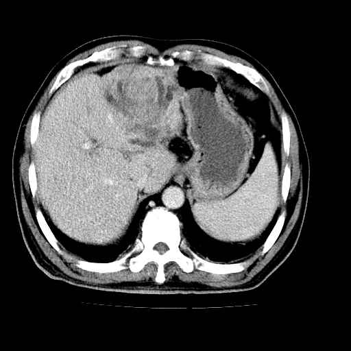
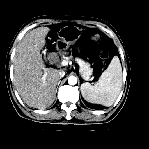
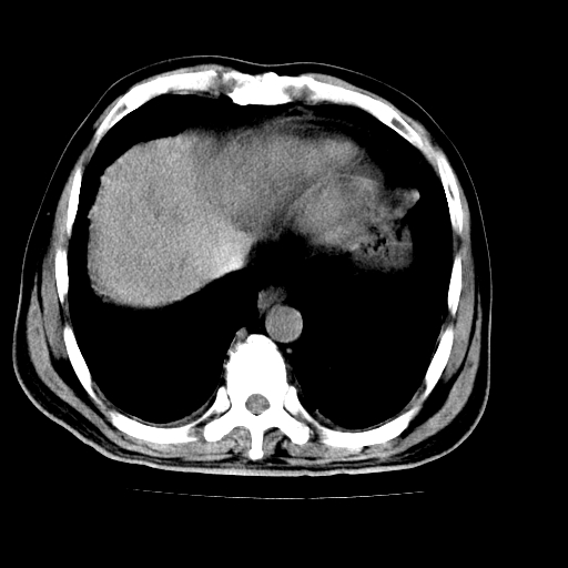
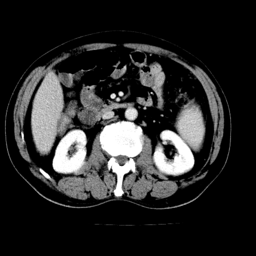
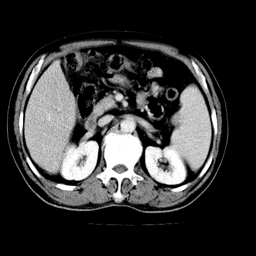
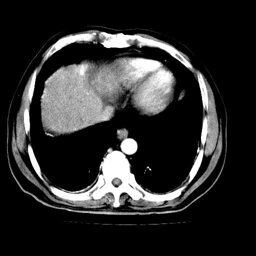
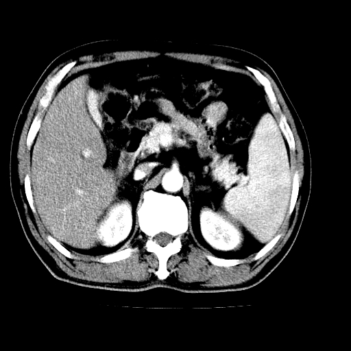
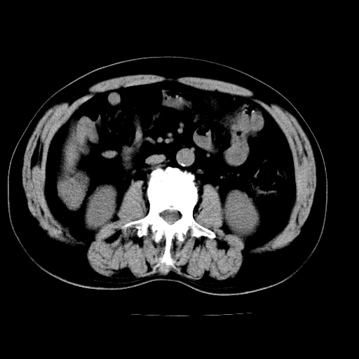
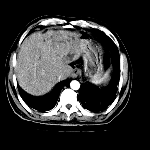
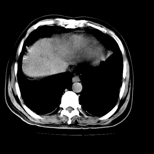
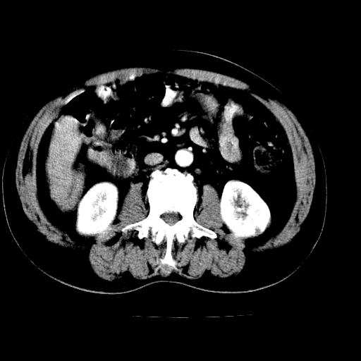
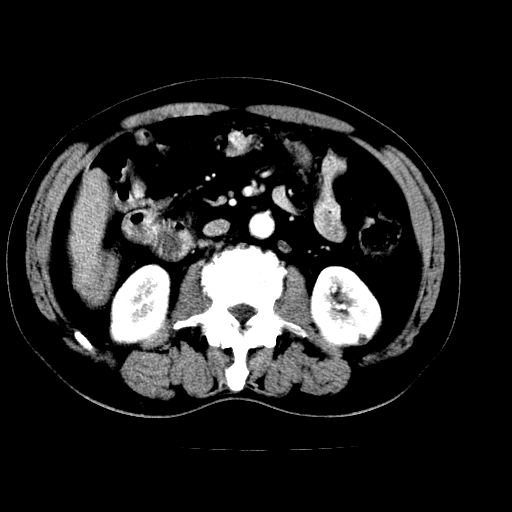
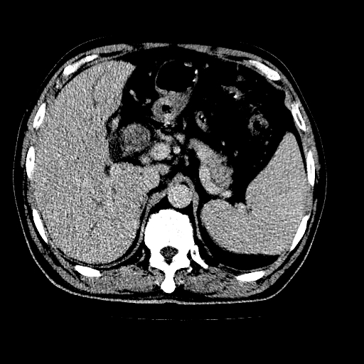
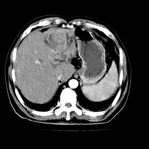
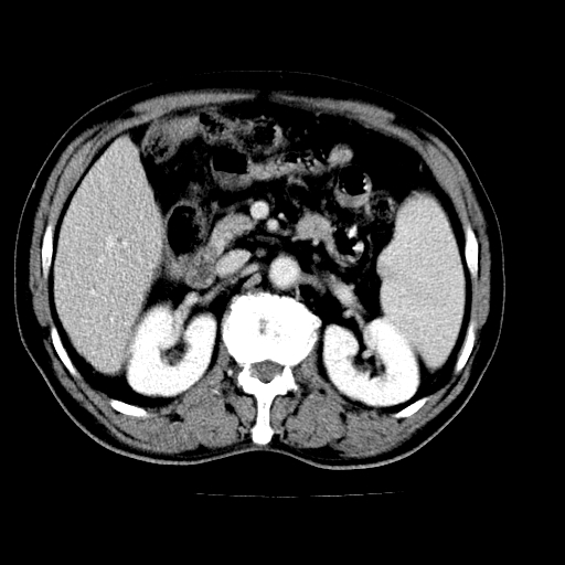
男,66岁,上腹部不适、黄染一周。彩超示:肝左叶占位,肝内胆管扩张,胆总管扩张,胆总管占位?











































































[本贴已被 翁志蓬 于 2010-4-20 23:54:55 修改过]

作者: 37度    时间: 2010-4-21 07:15
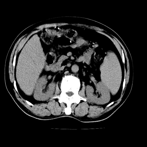
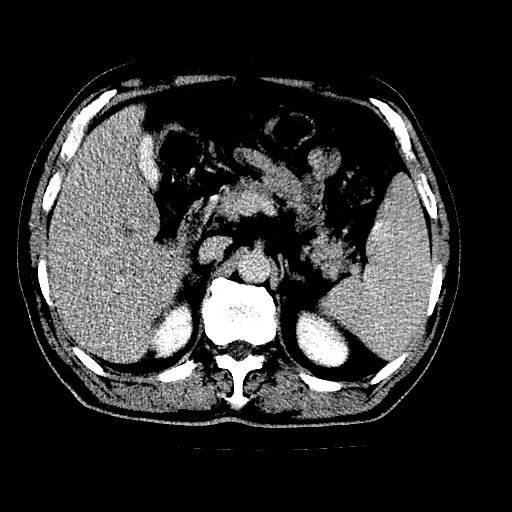
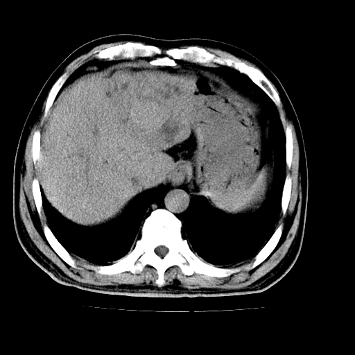
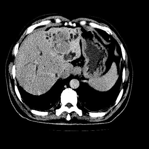
象胆管细胞癌,但又没有看见明显强化结节,陶瓷胆囊,十二指肠及胆总管显示不清晰,难下定论。
作者: 泪洒红尘    时间: 2010-4-21 07:16
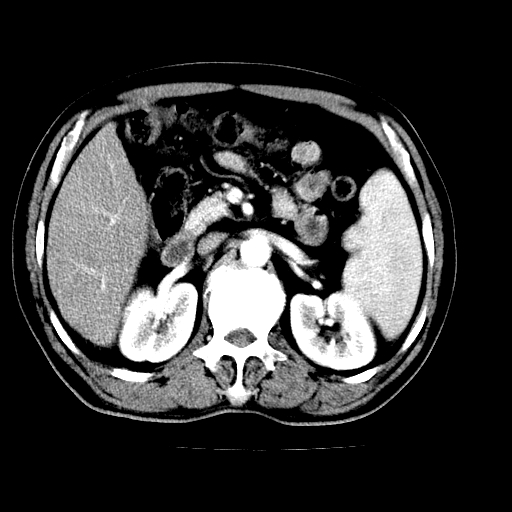
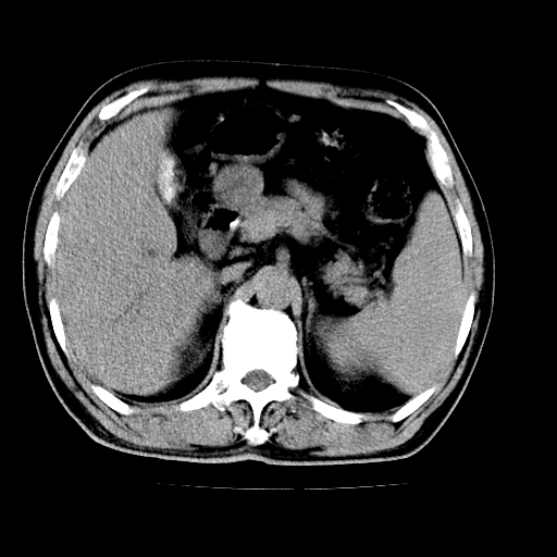
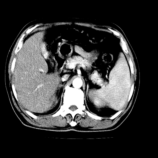
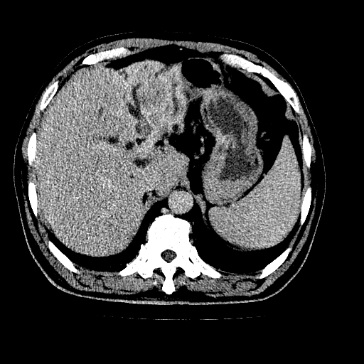
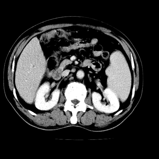
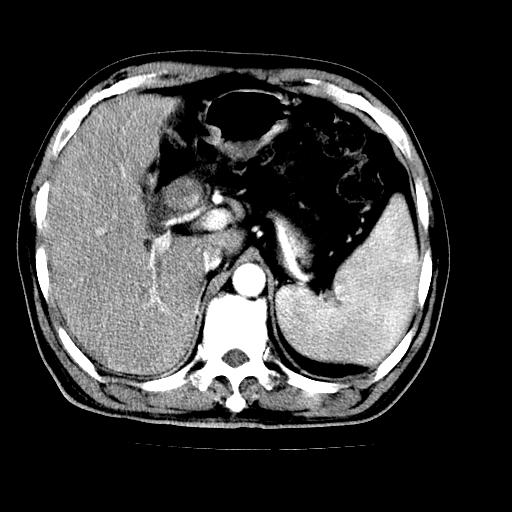
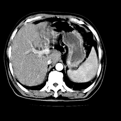
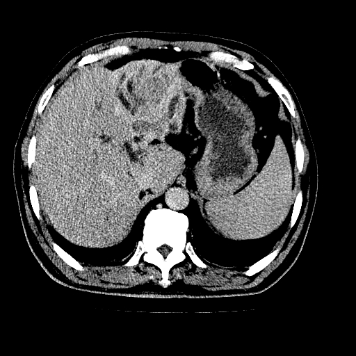
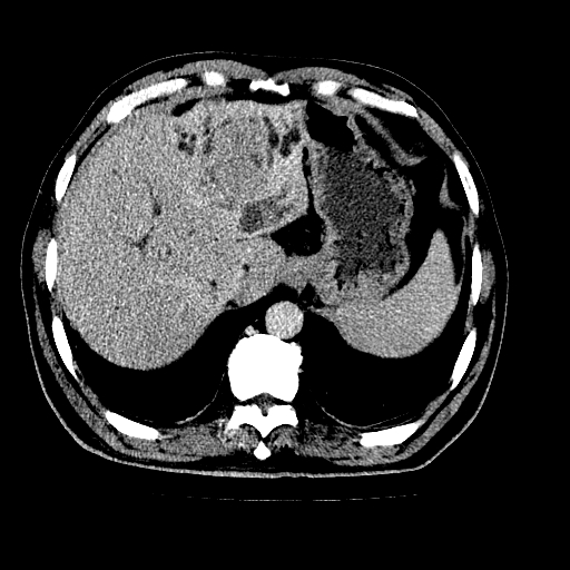
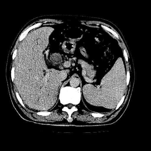
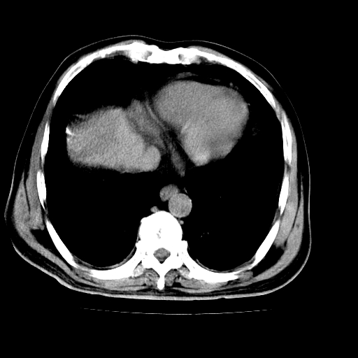
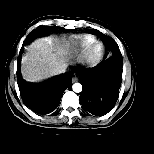
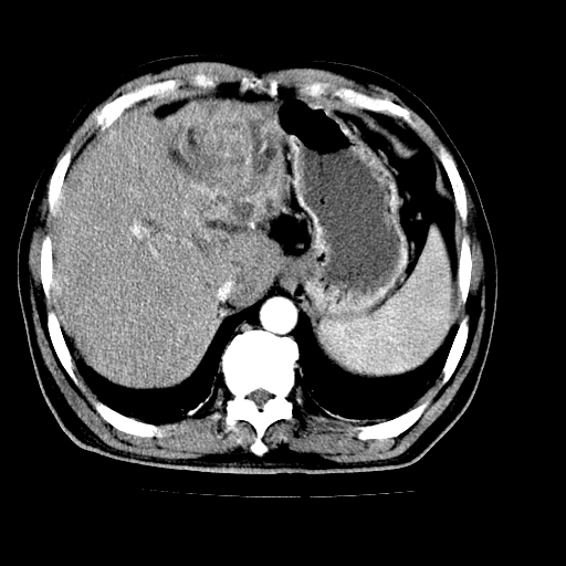
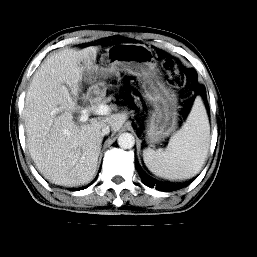
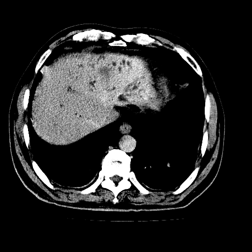
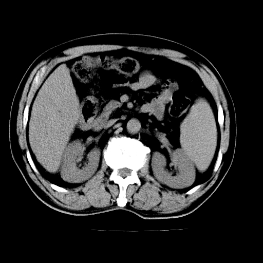
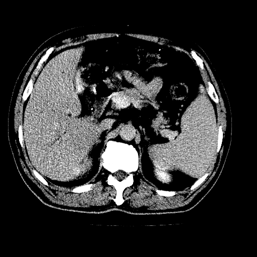
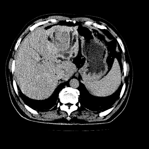
肝左叶不规则软组织肿块影,边缘不规整邻近肝实质受累分界不清;肝内胆管(左叶)明显扩张成“软藤状”,诊断:肝左叶胆管细胞癌。
作者: 卡洛儿    时间: 2010-4-21 07:20
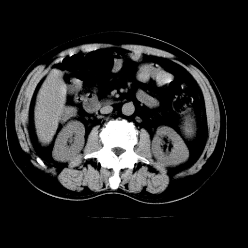
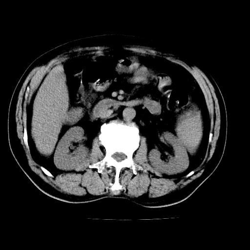
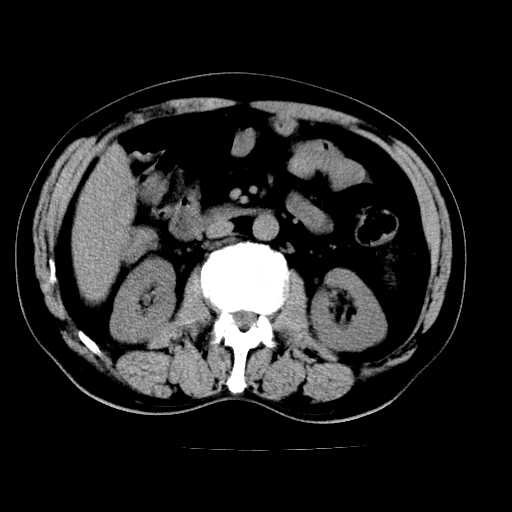
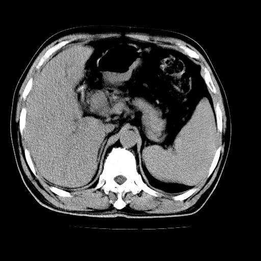
肝左叶占位性病变,并胆管扩张,符合胆管细胞癌ct表现,门脉左支受累,左肾囊肿。窗宽太窄了,其他的看不清
作者: zxl51642    时间: 2010-4-21 07:45
左叶胆管细胞癌累及胆总管,门脉左支受侵,慢性胆囊炎胆结石,左肾小囊肿
作者: 心路寻觅    时间: 2010-4-21 07:56
支持肝左叶肝内胆管细胞癌伴胆总管及门脉左支受侵。
作者: 影象小辈    时间: 2010-4-21 08:23
肝左叶不规则软组织肿块影,边缘不规整邻近肝实质受累分界不清;肝内胆管(左叶)明显扩张成“软藤状”,诊断:肝左叶胆管细胞癌。
作者: panyishengct    时间: 2010-4-21 09:57
肝左叶不规则软组织肿块影,边缘不规整邻近肝实质受累分界不清;肝内胆管(左叶)明显扩张成“软藤状”,诊断:肝左叶胆管细胞癌。
作者: linyiming    时间: 2010-4-21 11:03
考虑肝左叶胆管细胞可能性大。
作者: yangyudong333    时间: 2010-4-21 12:45
肝左叶不规则软组织肿块影,边缘不规整邻近肝实质受累分界不清;肝内胆管(左叶)明显扩张成“软藤状”,诊断:肝左叶胆管细胞癌。胆囊钙乳症。
作者: yuhongjun    时间: 2010-4-21 13:40
支持肝左叶肝内胆管细胞癌伴胆总管及门脉左支受侵。
作者: 学者~『风    时间: 2010-4-21 15:43
支持胆管细胞癌
作者: muzi888    时间: 2010-4-21 16:35
肝左叶不规则软组织肿块影,边缘不规整邻近肝实质受累分界不清;肝内胆管(左叶)明显扩张成“软藤状”,诊断:肝左叶胆管细胞癌。胆囊钙乳症。支持!
作者: ybb0821    时间: 2010-4-21 16:51
支持胆管细胞癌
作者: 沉默是金    时间: 2010-4-21 17:12
考虑肝左叶胆管细胞癌
作者: doc张    时间: 2010-4-21 17:29
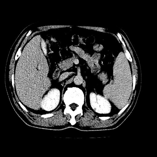
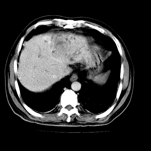
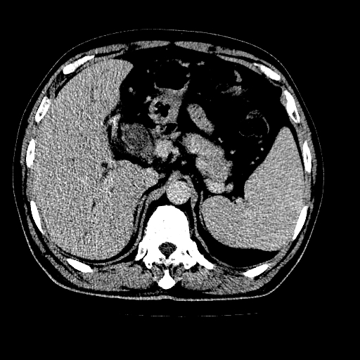
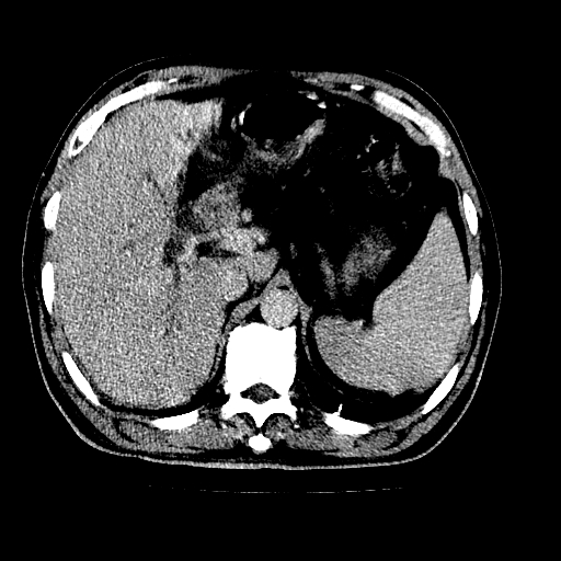
胆囊缩小,其内胆汁浓缩,也提示梗阻部位应该位于胆囊管起始部以上或是胆囊管受累及,支持肝外胆管癌。
作者: zxczxc    时间: 2010-4-21 18:40
左肝脓肿。
作者: 黑白光影    时间: 2010-4-22 05:12
支持肝左叶肝内胆管细胞癌伴胆总管及门脉左支受侵。
作者: pujunzhi    时间: 2010-4-22 05:21
支持 1肝左叶肝内胆管细胞癌伴胆总管及门脉左支受侵。2胆囊钙乳症。
作者: 随光逐影    时间: 2010-4-27 04:28
支持 1)肝左叶胆管细胞癌伴胆总管及门脉左支受侵。2)胆囊钙乳症。
作者: dr.yang    时间: 2013-6-28 07:21
肝左叶不规则软组织肿块影,边缘不规整邻近肝实质受累分界不清;肝内胆管(左叶)明显扩张成“软藤状”,诊断:肝左叶胆管细胞癌。胆囊钙乳症。




欢迎光临 医影在线 (http://bbs.radida.com/bbs/) Powered by Discuz! X3.2