医影在线

标题: X0361:典型病例--颈椎 [打印本页]

作者: wanyych    时间: 2005-3-27 11:04
标题: X0361:典型病例--颈椎
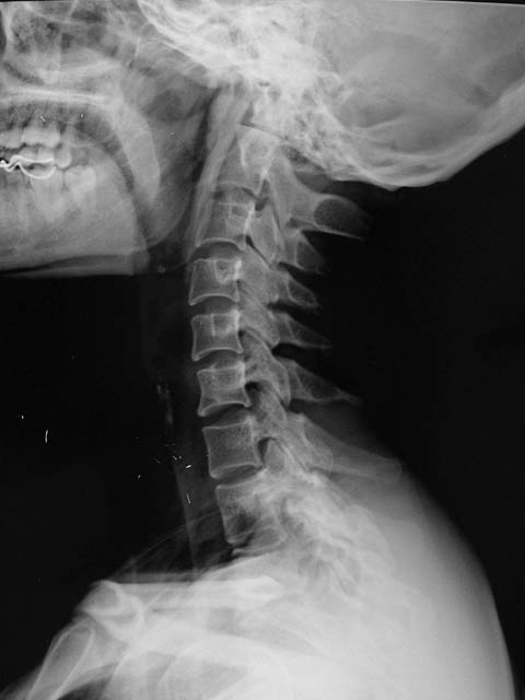
女,35岁,颈部不适一周.







[本贴已被 翁志蓬 于 2005-9-14 16:55:11 修改过]

作者: lqc    时间: 2005-3-27 18:07
考虑颅底凹陷症。以前缘型可能性大。
作者: liaoyu03    时间: 2005-3-28 12:30
平片上看环椎与颅底有融合,提示颅底凹陷,必要时因mri检查,看是单纯的凹陷还是chiari畸形。
作者: liaoyu03    时间: 2005-4-8 12:56
补充一下,
应该是环枢关节半脱位伴颅底凹陷。
作者: 白医天使    时间: 2005-4-8 16:31
同意
作者: liaoyu03    时间: 2005-4-9 22:12
但是不一定就是chiari畸形,因为环枢半脱位和颅底融合凹陷还见于其他病,比如类风湿关节炎。所以要做个mri。
作者: lushijun    时间: 2005-9-19 17:02
[emb6]环枢关节半脱位伴颅底凹陷
作者: sunjh2266    时间: 2005-9-19 19:28
[emb25][emb6]
作者: maomaotu    时间: 2005-9-20 04:15
[emb6]
作者: xiaoming    时间: 2005-9-20 06:35
同意
作者: long128    时间: 2005-9-20 06:55
标题: 回复:x0361:典型病例--颈椎
以下是引用lushijun在2005-9-19 9:02:00的发言:[br][emb6]环枢关节半脱位伴颅底凹陷

最好再作个mr看有无其他畸形。
作者: linianlong    时间: 2005-9-23 03:42
[emb6]
作者: rjbjl    时间: 2005-9-23 04:15
补充两句,诊断寰枢椎不稳(性质待查),寰枕融合。须查动力x线片还有mri。另外我看咽后壁好像肿胀明显,当然我是外行,大家指导。
作者: limmm    时间: 2005-9-23 04:18
[emb6]
作者: gftk    时间: 2005-9-23 07:23
[emb26]
作者: kqs555    时间: 2005-9-24 23:04
颅底凹陷症
作者: moso    时间: 2005-9-25 03:27
环枢关节半脱位伴颅底凹陷  
   
[emb25]
作者: tdh    时间: 2005-10-6 07:00
[emb6]环枢关节半脱位
作者: scwbc    时间: 2005-10-8 05:55
环枢关节半脱位伴颅底凹陷  
   
[emb6]
作者: zhuming943066    时间: 2005-10-9 02:21
[emb6]
作者: 骨头206    时间: 2005-11-26 02:48
环枢关节半脱位
作者: 师医生    时间: 2005-11-26 04:25
寰枕融合,寰书枢关节半脱位
作者: 黄恩辉    时间: 2005-11-26 04:40
颅底凹陷
作者: 大漠孤烟    时间: 2005-11-26 18:35
诊断不难,病例初见。好病例。
作者: 乡医    时间: 2005-12-3 03:07
1,环枢关节半脱位  2,颅底凹陷?
   
请向老师看看,我期待正确答案。
作者: 王大夫    时间: 2005-12-3 04:20
同意
作者: sdqzwyx    时间: 2005-12-3 06:15
寰枕融合、颅底凹陷、寰枢关节半脱位。
作者: 乡医    时间: 2005-12-10 04:57
我查过书了支持sdqzwyx:寰枕融合、颅底凹陷、寰枢关节半脱位。理由1、枕大孔前后缘连线,齿状突尖端超过连线的上方即为颅底凹陷。2、寰枕间应有寰枕关节,此图未见。3、枢椎齿状突两侧不对称。请老师点评。
作者: lys778899    时间: 2005-12-11 00:07
要结合临床
作者: barium    时间: 2005-12-18 09:18
支持!!
作者: liaoqiang    时间: 2005-12-27 17:38
支持!!
作者: qxhxf    时间: 2006-3-8 22:55
考虑颅底凹陷症
作者: 实习医生    时间: 2006-3-9 03:07
颅底凹陷症
作者: zhangkening    时间: 2006-3-12 23:27
同意四楼的意见.
作者: 林建春    时间: 2006-3-13 00:57
支持寰枢关节半脱位伴颅底凹陷症.
作者: zhongguolong518    时间: 2006-3-13 19:50
标题: 回复:x0361:典型病例--颈椎
环枢关节半脱位伴颅底凹陷
作者: 珍视明    时间: 2006-3-14 06:12
环枢关节半脱位伴颅底凹陷
作者: 程风    时间: 2006-3-15 01:37
有骨刺行成.压迫神经.痛!
作者: xpouyang    时间: 2006-3-16 04:23
我也同意!!!
作者: 上饶小李    时间: 2006-3-16 04:38
不错,又多见了个病例!
作者: duanchao    时间: 2006-3-16 05:08
标题: 回复:x0361:典型病例--颈椎
以下是引用liaoyu03在2005-4-9 14:12:00的发言:[br]但是不一定就是chiari畸形,因为环枢半脱位和颅底融合凹陷还见于其他病,比如类风湿关节炎。所以要做个mri。

[emb6]
作者: duanchao    时间: 2006-3-16 05:39
标题: 回复:x0361:典型病例--颈椎
齿状突上端在chamberlain线以上3mm为异常。
作者: 骨头206    时间: 2006-3-16 06:10
好病例  谢谢
作者: jinguoji    时间: 2006-11-13 21:57
考虑颅底凹陷症
作者: 放射小子    时间: 2009-1-3 05:17
环枢关节半脱位伴颅底凹陷。
作者: zhanggenliang    时间: 2009-1-3 05:25
寰枢关节半脱位,颅底凹陷
作者: peijunjie    时间: 2009-1-15 04:14
喜欢放射线工作的加qq群42339899
作者: jasonwu025    时间: 2009-1-15 06:39
标题: 回复:x0361:典型病例--颈椎
以下是引用liaoyu03在2005-4-9 14:12:00的发言:[br]但是不一定就是chiari畸形,因为环枢半脱位和颅底融合凹陷还见于其他病,比如类风湿关节炎。所以要做个mri。

顶 顶顶
作者: shibing    时间: 2014-5-7 17:21
环枢关节半脱位伴颅底凹陷




欢迎光临 医影在线 (http://bbs.radida.com/bbs/) Powered by Discuz! X3.2