医影在线
标题: CT25937:女,69Y [打印本页]
作者: 光影★小胖 时间: 2010-4-23 04:56
标题: CT25937:女,69Y
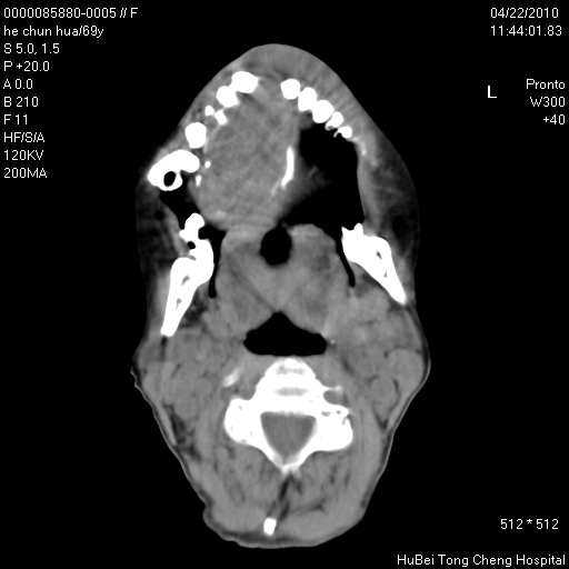
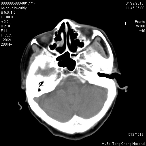
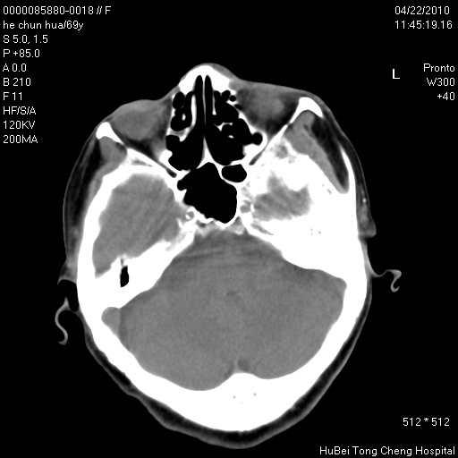
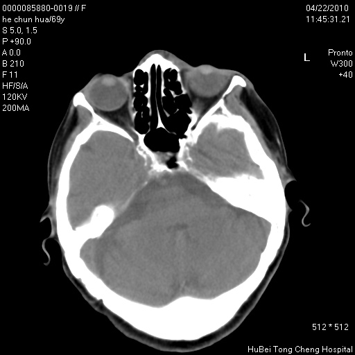
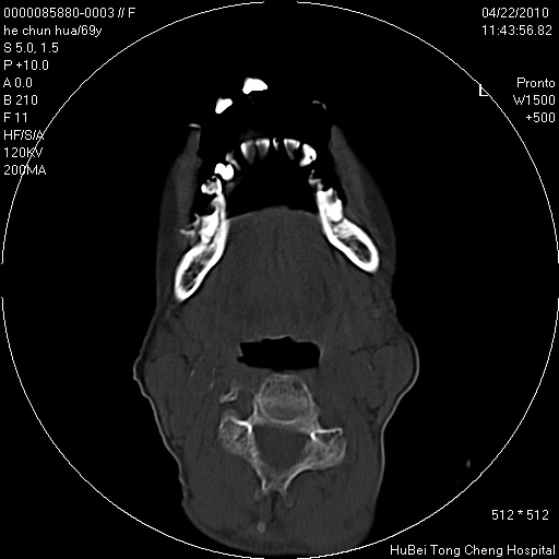
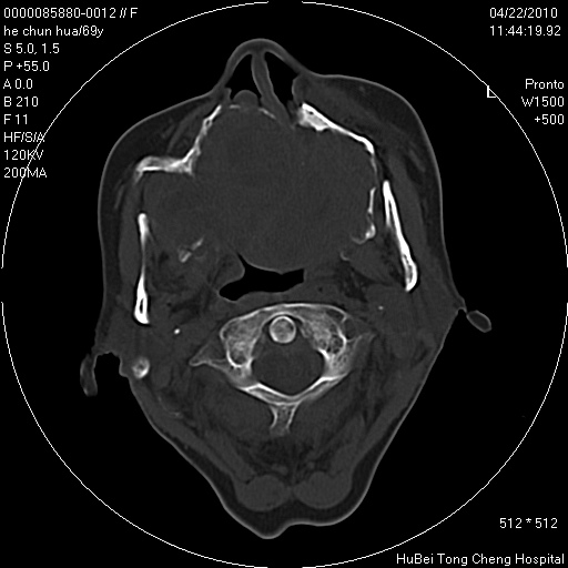
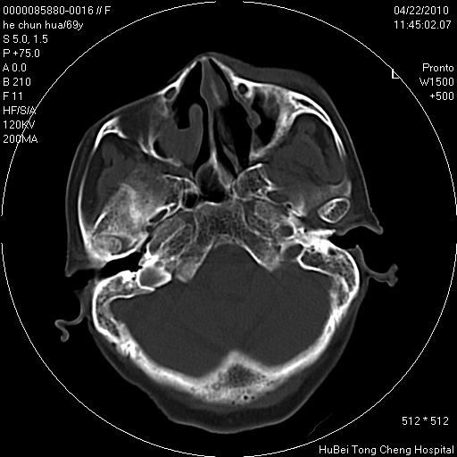
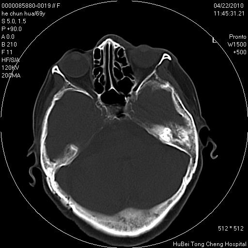
硬腭部包块十余年,渐进性增大。








































[本贴已被 光影★小胖 于 2010-4-22 20:57:05 修改过]
[本贴已被 翁志蓬 于 2010-4-22 22:28:34 修改过]
作者: zsl6918 时间: 2010-4-23 05:00
不管以前,现在是恶性占位了
作者: 卜一 时间: 2010-4-23 05:05
支持硬腭部恶性肿瘤!
作者: 宇宙CT 时间: 2010-4-23 06:05
支持硬腭部恶性肿瘤!
作者: zxl51642 时间: 2010-4-23 06:20
病程长,考虑巨细胞修复性肉芽肿可能性大;
鉴别:神经源性病变、硬结病等。
作者: 子期 时间: 2010-4-23 06:53
五楼说得有道理,支持一下。巨细胞修复性肉芽肿好象是外伤出血后引起的修复性改变,骨质呈溶骨性破坏,但病程呈良性过程。
作者: 影像孺子牛 时间: 2010-4-23 07:11
硬腭部肿瘤恶变可能。
作者: 随光逐影 时间: 2010-4-23 09:45
支持 硬腭部恶性肿瘤。
作者: linyiming 时间: 2010-4-23 10:10
支持硬腭部恶性肿瘤!
作者: yuhongjun 时间: 2010-4-23 13:27
巨细胞修复性肉芽肿.支持。
作者: yangyudong333 时间: 2010-4-23 13:56
学习了,期待结果。
作者: 施明 时间: 2010-4-23 16:07
硬腭占位 恶性可能性大
作者: 深泽交通 时间: 2010-4-23 16:37
骨源性肿瘤 造秞细胞瘤
作者: LIAOQIANG 时间: 2010-4-23 17:27
考虑硬腭部肿瘤恶变可能。
作者: muzi888 时间: 2010-4-23 18:15
硬腭部肿瘤恶变可能。
作者: 江湖迷侠 时间: 2010-4-23 19:25
还是考虑良性病变,炎症性肌纤维母细胞性肿瘤。
鉴别神经源性肿瘤。
作者: xiongneo 时间: 2010-4-23 19:53
支持硬腭部恶性肿瘤!
宇宙ct说
建议取组织活检
作者: 黑白光影 时间: 2010-4-23 21:58
考虑硬腭部肿瘤恶变,gcrg可能,鉴别于gct。
作者: dr.yang 时间: 2013-6-19 07:39
学习
| 欢迎光临 医影在线 (http://bbs.radida.com/bbs/) |
Powered by Discuz! X3.2 |