医影在线

标题: CT25944:胸痛、气短、前几日高烧!肺Ca?请会诊! [打印本页]

作者: xiao实习生    时间: 2010-4-23 18:08
标题: CT25944:胸痛、气短、前几日高烧!肺Ca?请会诊!





















































[本贴已被 jiajie 于 2010-4-23 17:55:37 修改过]

作者: 深泽交通    时间: 2010-4-23 19:35
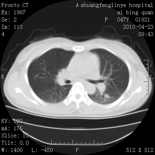
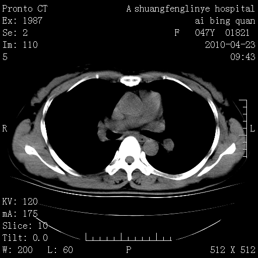
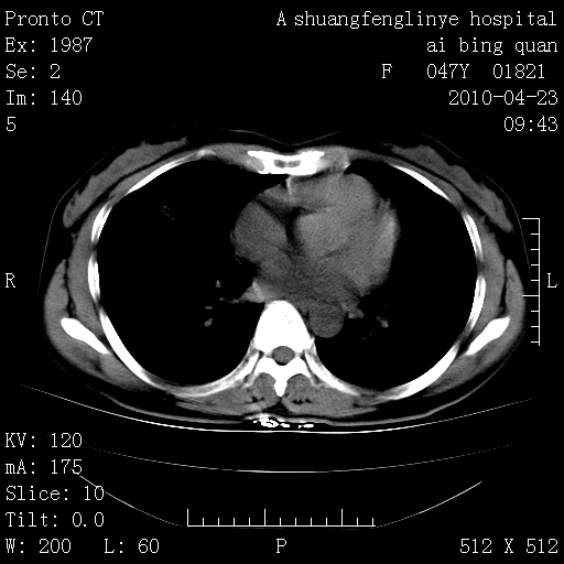
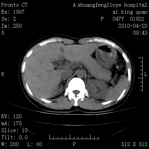
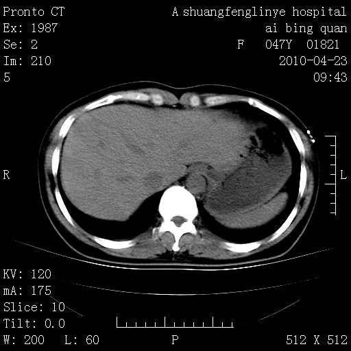
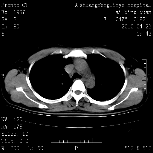
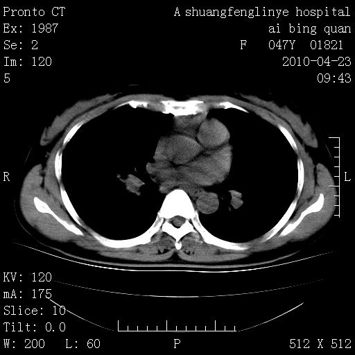
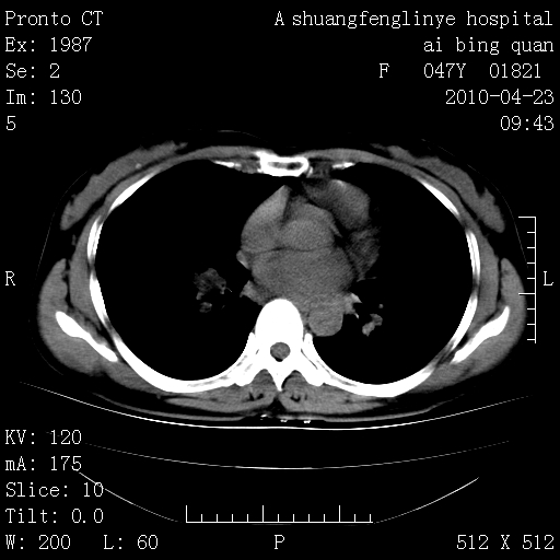
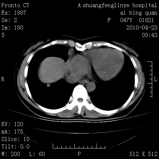
kaolv 周围型肺癌并同肺转移
作者: xiongneo    时间: 2010-4-23 19:39
双肺多发结节,考虑转移瘤,肺癌肺转移不除外
作者: 蓬莱客    时间: 2010-4-23 20:21
周围型肺癌并肺转移
作者: zsl6918    时间: 2010-4-23 20:25
两种方案:1,抗炎治疗后复查。2,强化观察。
作者: 影象小辈    时间: 2010-4-23 20:44
周围型肺癌并肺转移
作者: 施明    时间: 2010-4-23 21:14
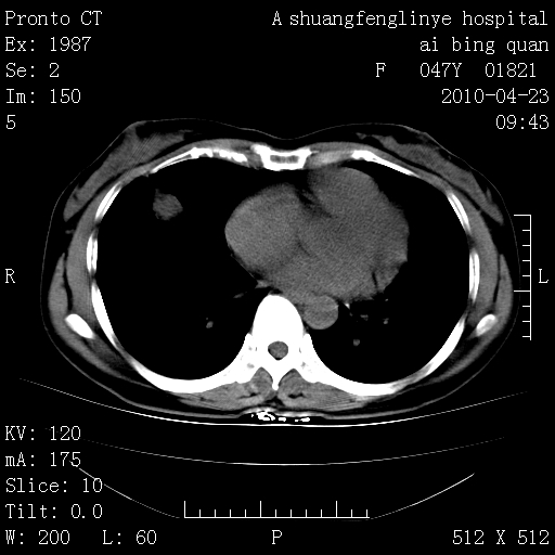
左侧乳腺低密度灶
作者: 卜一    时间: 2010-4-23 22:01
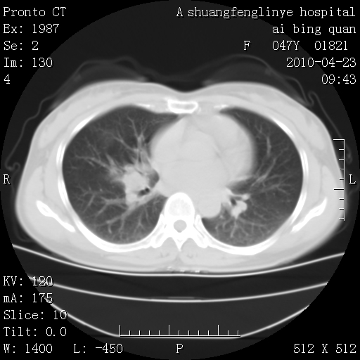
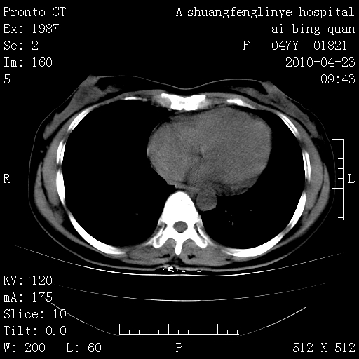
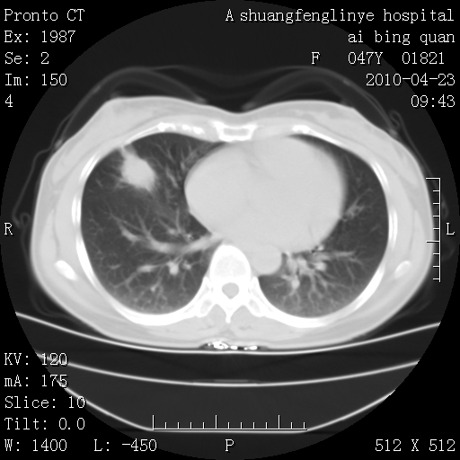
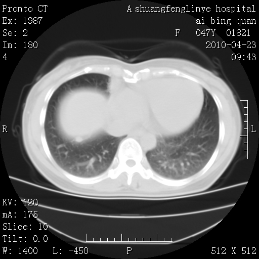
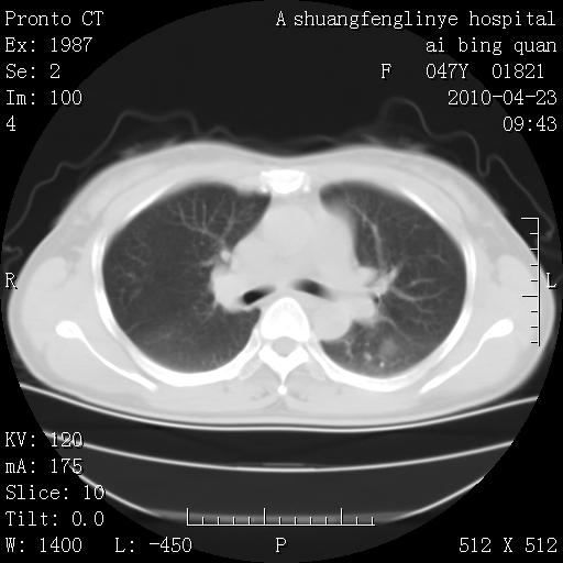
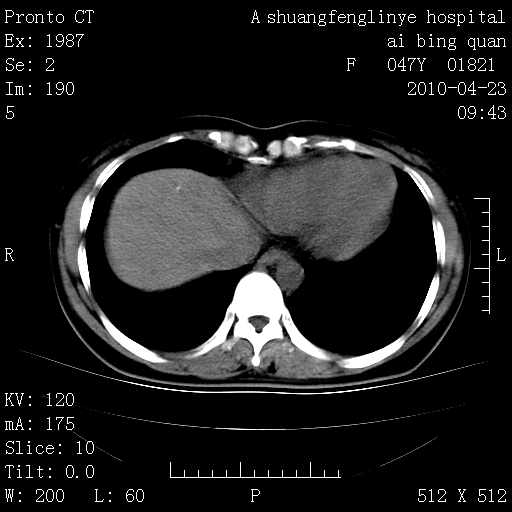
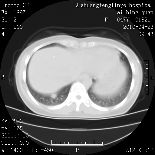
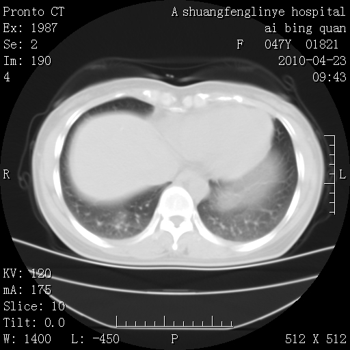
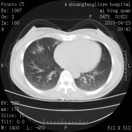
双肺多发结节,部分密度较高,最大结节边缘光滑。临床有“胸痛、气短、前几日高烧”病史。首选考虑:右肺感染性病变!建议积极消炎后复查!
作者: zxl51642    时间: 2010-4-23 22:09
标题: 回复:胸痛、气短、前几日高烧!肺ca?请会诊!
以下是引用zsl6918在2010-4-23 12:25:00的发言:[br]两种方案:1,抗炎治疗后复查。2,强化观察。

作者: yangyudong333    时间: 2010-4-23 23:13
两种方案:1,抗炎治疗后复查。2,强化观察。
作者: yangyang2000    时间: 2010-4-24 06:39
双肺多发结节,部分密度较高,最大结节边缘光滑。临床有“胸痛、气短、前几日高烧”病史。首选考虑:右肺感染性病变!建议积极消炎后复查!
作者: 随光逐影    时间: 2010-4-24 19:08
建议抗炎治疗后复查,排除肿瘤性病变。
作者: 黑白光影    时间: 2010-4-25 05:57
标题: 回复:ct25944:胸痛、气短、前几日高烧!肺ca?请会诊!
以下是引用zsl6918在2010-4-23 12:25:00的发言:[br]两种方案:1,抗炎治疗后复查。2,强化观察。





欢迎光临 医影在线 (http://bbs.radida.com/bbs/) Powered by Discuz! X3.2