医影在线
标题: MRI2883:左肾占位性病灶,请大家来会诊! [打印本页]
作者: shijunhuai 时间: 2010-4-24 05:29
标题: MRI2883:左肾占位性病灶,请大家来会诊!
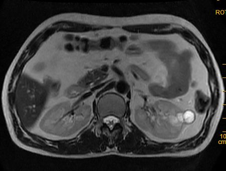
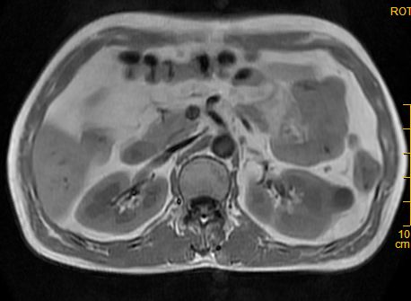
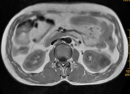
左肾占位性病灶,请大家来会诊!















[emb28][emb28]
[本贴已被 shijunhuai 于 2010-4-23 21:30:34 修改过]
[本贴已被 jiajie 于 2010-4-24 13:51:24 修改过]
作者: fenxiang 时间: 2010-4-24 05:32
考虑多发囊肿融合
作者: 巩宁 时间: 2010-4-24 18:26
肾癌
作者: 联众之王 时间: 2010-4-24 22:14
多囊性肾瘤
作者: xiongneo 时间: 2010-4-25 00:00
考虑多发囊肿融合
fenxiang说
作者: pujunzhi 时间: 2010-4-25 03:51
考虑 1囊性肾癌 2多囊性肾瘤。
作者: guzhongliangddd 时间: 2010-4-25 05:19
冠状位是压脂序列?
请发动态强化扫描及延时强化扫描!
作者: 赵物学 时间: 2010-4-25 20:54
标题: 回复:mri2883:左肾占位性病灶,请大家来会诊!
以下是引用巩宁在2010-4-24 10:26:00的发言:[br]肾癌
考虑这个吧,反正不是一班的囊肿没看里头有软组织影吗,要是那也是个少见的囊肿
作者: 37度 时间: 2010-4-25 22:08
标题: 回复:mri2883:左肾占位性病灶,请大家来会诊!
以下是引用pujunzhi在2010-4-24 19:51:00的发言:[br]考虑 1囊性肾癌 2多囊性肾瘤。
作者: 随光逐影 时间: 2010-4-25 23:24
考虑左肾囊性肾癌,多囊性肾瘤待排。
作者: 卜一 时间: 2010-4-26 04:25
考虑左肾囊性肾癌,多囊性肾瘤待排。
支持!
作者: jsgdoctor 时间: 2010-4-26 04:52
考虑左肾囊性肾癌,多囊性肾瘤待排。建议增强。
作者: 施明 时间: 2010-4-26 18:08
不如做ct增强
作者: liyf 时间: 2010-4-28 00:40
左肾癌囊变。
作者: 天海 时间: 2010-4-28 06:52
左肾复杂性外生囊肿,错构瘤待排。
作者: ailuanfei 时间: 2010-4-28 18:11
标题: 回复:mri2883:左肾占位性病灶,请大家来会诊!
以下是引用卜一在2010-4-25 20:25:00的发言:[br][br] [br] 考虑左肾囊性肾癌,多囊性肾瘤待排。 [br] [br]支持!
| 欢迎光临 医影在线 (http://bbs.radida.com/bbs/) |
Powered by Discuz! X3.2 |