



























































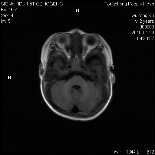
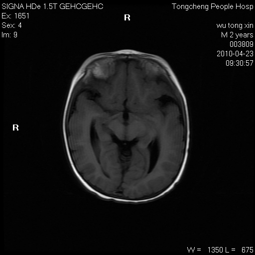
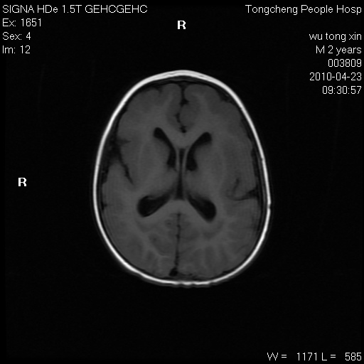
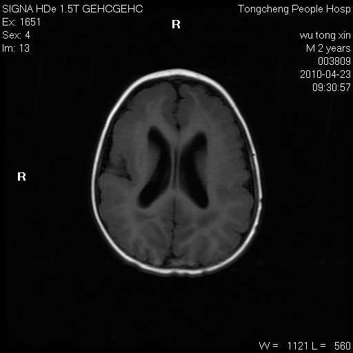
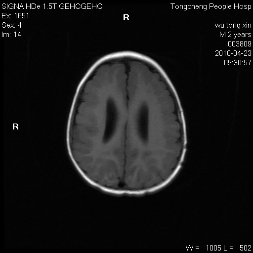
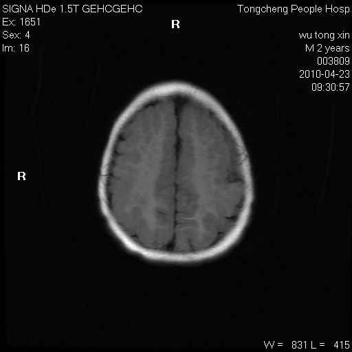
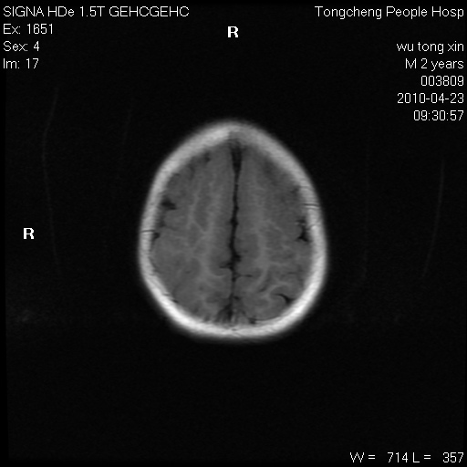
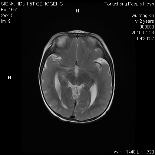
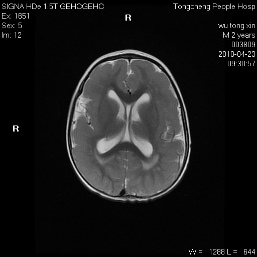
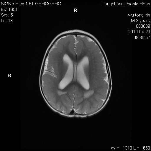
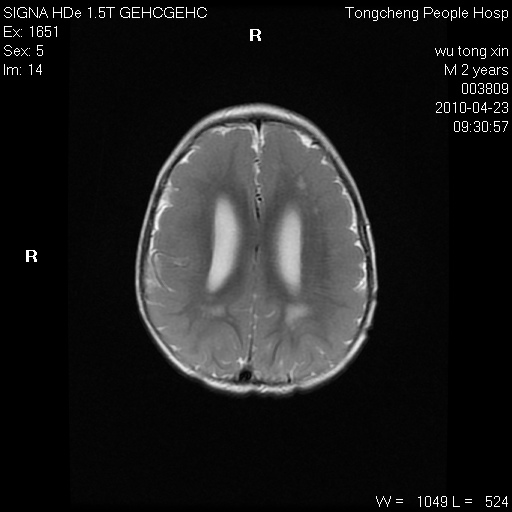
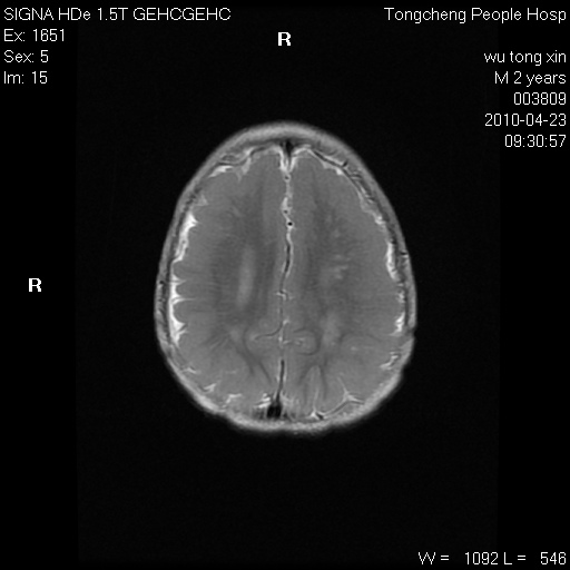
以下是引用赵物学在2010-4-25 12:43:00的发言:[br]巨脑回[br]侧脑室后角低密度影考虑hie或肾上腺脑白质营养不良?[br][br][本贴已被 赵物学 于 2010-4-25 12:51:28 修改过]
以下是引用gaoxiao在2010-4-25 16:54:00的发言:[br]巨脑回畸形。脑白质髓鞘化不良
以下是引用pujunzhi在2010-4-25 21:35:00的发言:[br]考虑 1双侧大脑皮质发育不良 2轻度脑积水 3双侧脑室后角旁片状长t1长t2信号,需继续观察,因为正常小儿此处脑白质的髓鞘化时间可以延迟到4-6岁,才显示正常。
| 欢迎光临 医影在线 (http://bbs.radida.com/bbs/) | Powered by Discuz! X3.2 |