医影在线

标题: PED3218:3岁女孩,曾有外伤史。未提供前片 [打印本页]

作者: genous    时间: 2010-4-25 23:20
标题: PED3218:3岁女孩,曾有外伤史。未提供前片
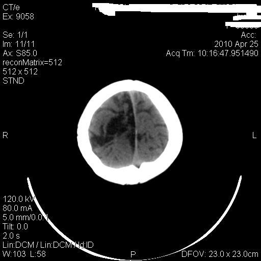
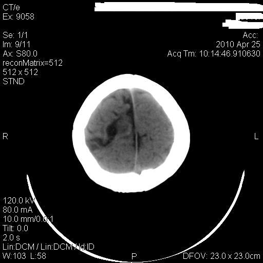
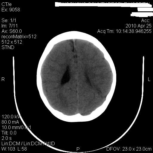
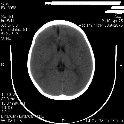
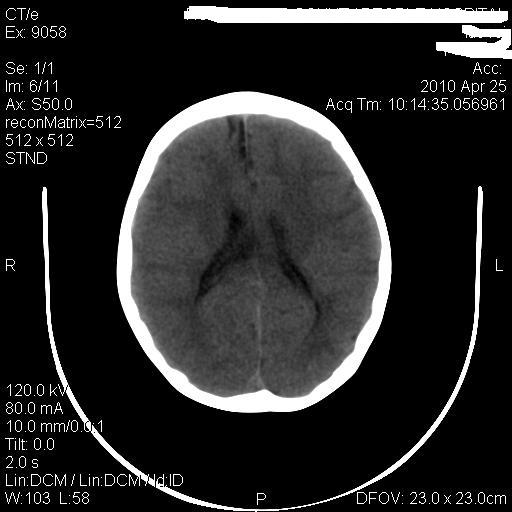
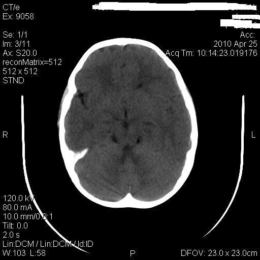
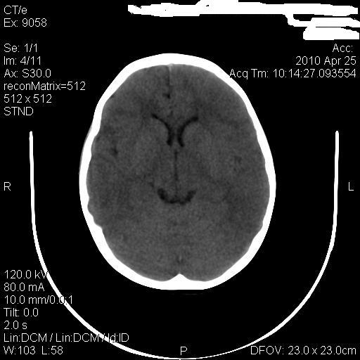
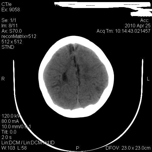
发育略有障碍。欢迎大家发言。谢谢!













[本贴已被 翁志蓬 于 2010-4-25 22:34:26 修改过]

作者: 随光逐影    时间: 2010-4-26 00:38
考虑右侧额顶叶脑软化灶并脑穿通畸形。
作者: 37度    时间: 2010-4-26 01:01
有无胼胝体发育不良?
作者: 光影相伴    时间: 2010-4-26 01:24
考虑:1)右侧额顶叶脑软化灶并脑穿通畸形。2)胼胝体发育不良。
作者: yangyang2000    时间: 2010-4-26 03:38
考虑:1)右侧额顶叶脑软化灶并脑穿通畸形。2)胼胝体发育不
作者: 蓬莱客    时间: 2010-4-26 04:03
右侧额顶叶脑软化灶并脑穿通畸形
作者: 卜一    时间: 2010-4-26 04:23
支持考虑:1)右侧额顶叶脑软化灶并脑穿通畸形。2)胼胝体发育不良。
作者: jsgdoctor    时间: 2010-4-26 04:26
考虑右侧额顶叶脑软化灶并脑穿通畸形。
作者: zxczxc    时间: 2010-4-26 05:00
右侧额顶叶软化灶。
作者: liubiao    时间: 2010-4-26 05:04
考虑右侧额顶叶脑软化灶并脑穿通畸形
作者: shijunhuai    时间: 2010-4-26 05:14
1)右侧额顶叶脑软化灶。2)胼胝体发育不良?
作者: 黑白光影    时间: 2010-4-26 05:44
考虑右侧额顶叶脑软化灶并脑穿通畸形。
作者: zxl51642    时间: 2010-4-26 06:04
右侧顶叶软化灶并穿通畸形
作者: weijing    时间: 2010-4-26 08:37
支持考虑:1)右侧额顶叶脑软化灶并脑穿通畸形。2)胼胝体发育不良。
作者: yangyudong333    时间: 2010-4-26 13:56
考虑:1)右侧额顶叶脑软化灶并脑穿通畸形。2)胼胝体发育不良。
作者: sunbin    时间: 2010-4-27 01:09
考虑右侧额顶叶软化灶并脑穿通畸形,胼胝体发育不全。
作者: 拾荒者    时间: 2010-4-27 03:52
支持考虑:1)右侧额顶叶脑软化灶并脑穿通畸形。2)胼胝体发育不良。
作者: yuhongjun    时间: 2010-4-27 13:38
考虑:1)右侧额顶叶脑软化灶并脑穿通畸形。2)胼胝体发育不良。
作者: dyqct    时间: 2010-4-27 22:59
标题: 回复:ped3218:3岁女孩,曾有外伤史。未提供前片
以下是引用光影相伴在2010-4-25 17:24:00的发言:[br]考虑:1)右侧额顶叶脑软化灶并脑穿通畸形。2)胼胝体发育不良。

支持!
作者: 施明    时间: 2010-4-28 00:29
先天
作者: zy_zj    时间: 2010-4-29 06:37
支持考虑:1)右侧额顶叶脑软化灶并脑穿通畸形。2)胼胝体发育不良。  
  
还有脑室周围白质软化症




欢迎光临 医影在线 (http://bbs.radida.com/bbs/) Powered by Discuz! X3.2