医影在线
标题: PED3221:帮忙看看哦,谢谢 [打印本页]
作者: liuzhenzhide 时间: 2010-4-27 06:48
标题: PED3221:帮忙看看哦,谢谢
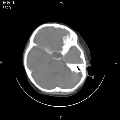
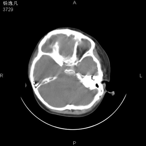
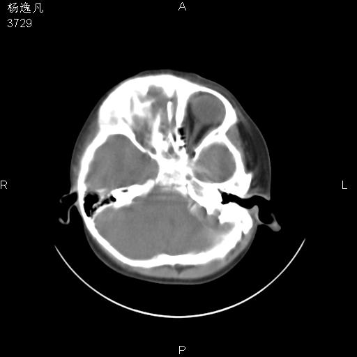
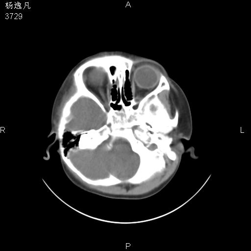
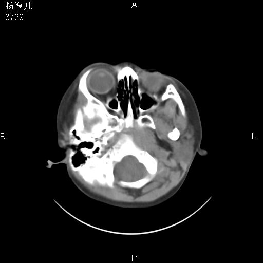
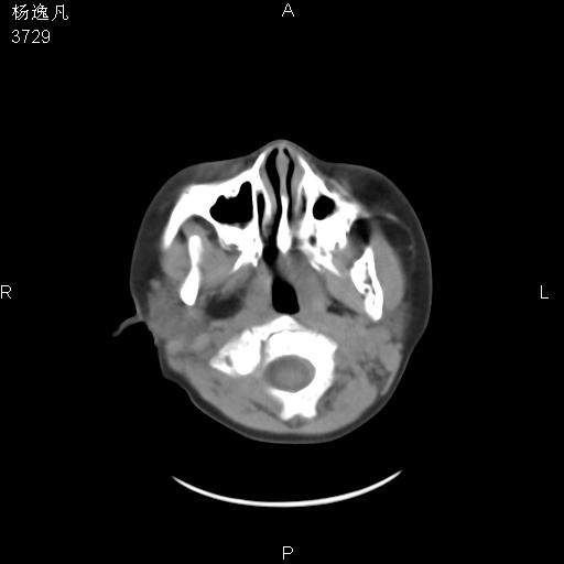
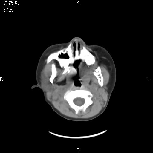
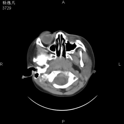
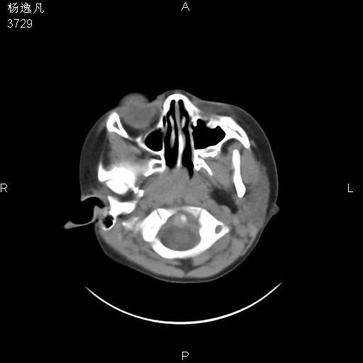
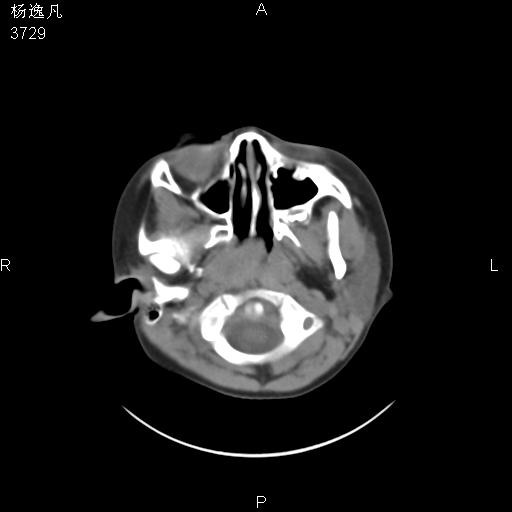
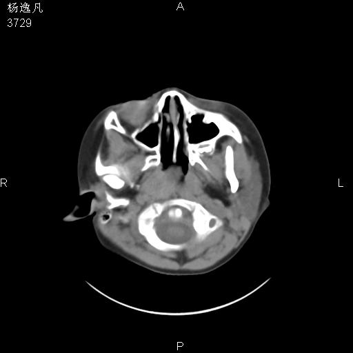
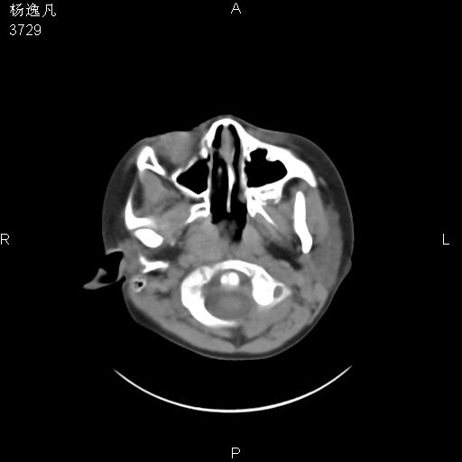
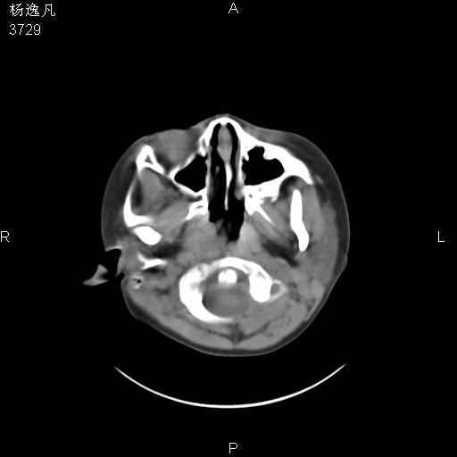
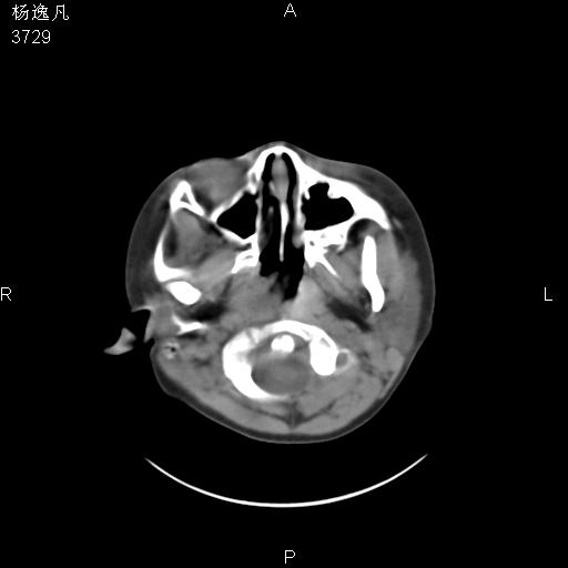
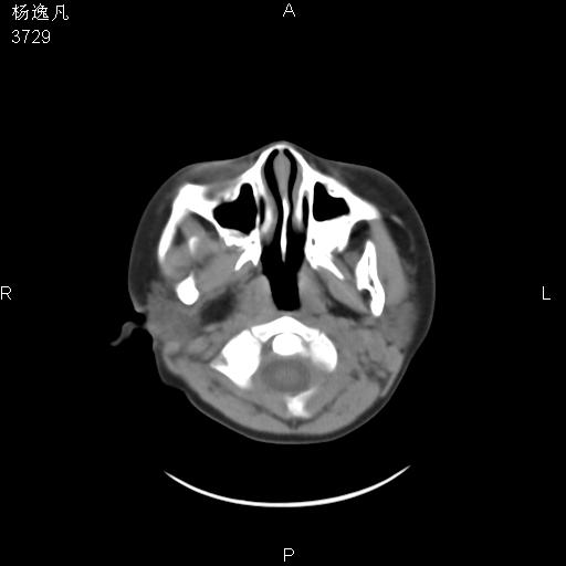
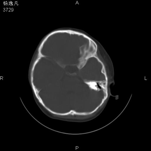
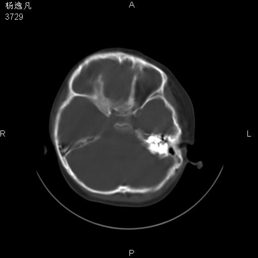
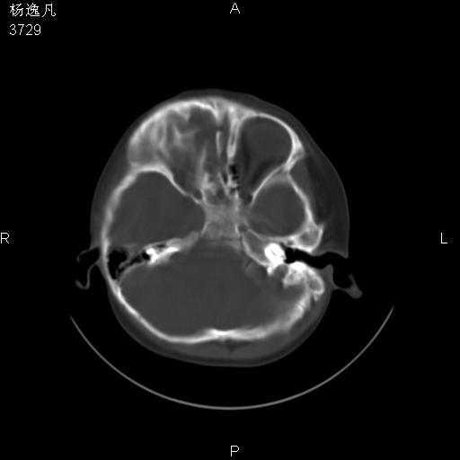
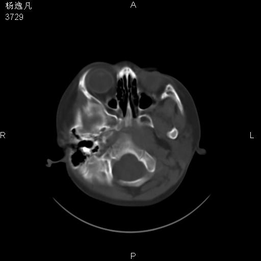
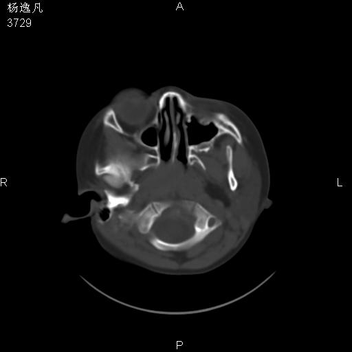
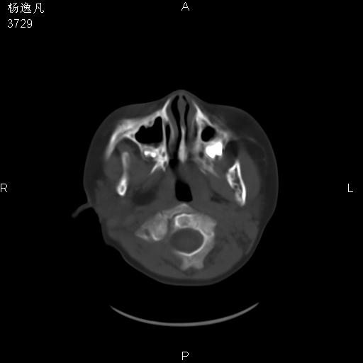
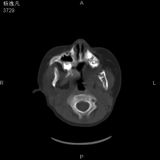
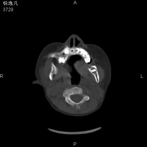
男性,5岁,面部受外伤,余无特殊
软组织窗












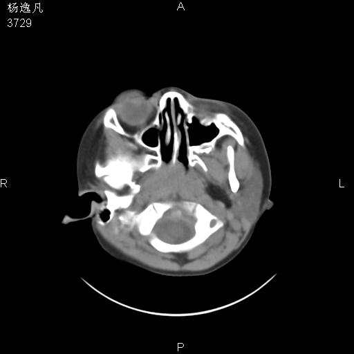
薄层















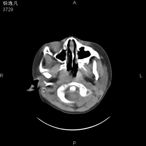
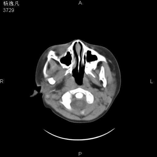
骨窗












给点意见撒 谢谢
[本贴已被 liuzhenzhide 于 2010-4-26 23:28:57 修改过]
[本贴已被 jiajie 于 2010-4-27 6:54:51 修改过]
作者: zxl51642 时间: 2010-4-27 07:18
患儿为什么做ct?腺样体肥大。
作者: liyf 时间: 2010-4-27 07:26
腺样体肥大
作者: 随光逐影 时间: 2010-4-27 07:33
鼻咽腺样体肥大。
作者: linyiming 时间: 2010-4-27 08:50
鼻咽顶后变窄。顶后壁增厚,考虑腺样体肥大。其它未异常/
作者: yuhongjun 时间: 2010-4-27 12:57
1、右面部及颞部软组织肿胀。
2、腺样体肥大。
作者: yangyudong333 时间: 2010-4-27 13:34
1、右面部及颞部软组织肿胀。
2、腺样体肥大。
作者: 卜一 时间: 2010-4-27 14:06
1、右面部及颞部软组织肿胀。
2、腺样体肥大。
作者: 蓬莱客 时间: 2010-4-27 20:24
腺样体肥大
作者: dyqct 时间: 2010-4-27 23:00
位置太不标准了!
作者: sunbin 时间: 2010-4-28 01:34
头颅ct平扫未见明确外伤性征象,右侧面部及颞部软组织肿胀,后鼻腔软组织影增大,增厚,鼻咽顶部变窄,考虑鼻咽腺样体增值肥厚。
作者: jsgdoctor 时间: 2010-4-28 03:34
鼻咽腺样体肥大。
作者: 拾荒者 时间: 2010-4-28 04:41
双侧位置太不对称,未见明显骨折征象。
作者: 小西红柿 时间: 2010-4-28 15:56
还是重建了再看吧。还可以看一下始矢状位,了解一下气道的情况。
作者: 赵物学 时间: 2010-4-29 17:26
标题: 回复:ped3221:帮忙看看哦,谢谢
以下是引用sunbin在2010-4-27 17:34:00的发言:[br]头颅ct平扫未见明确外伤性征象,右侧面部及颞部软组织肿胀,后鼻腔软组织影增大,增厚,鼻咽顶部变窄,考虑鼻咽腺样体增值肥厚。
支持
作者: liuzhenzhide 时间: 2010-4-29 21:28
谢谢各位的意见,发的都是些常见的,扫描位置不好,患者不合作,折腾了好久,容易么
作者: 37度 时间: 2010-4-30 00:48
不容易啊 。同感,做完了就不错了。
作者: liuzhenzhide 时间: 2010-5-3 04:20
要求完美呀
| 欢迎光临 医影在线 (http://bbs.radida.com/bbs/) |
Powered by Discuz! X3.2 |