医影在线

标题: CT26066:F63Y 上腹正中压痛半月,CA199:7400u/ml,MR示胰腺炎伴 [打印本页]

作者: 37度    时间: 2010-4-29 16:26
标题: CT26066:F63Y 上腹正中压痛半月,CA199:7400u/ml,MR示胰腺炎伴












































































[本贴已被 jiajie 于 2010-4-29 17:39:32 修改过]

作者: 杀毒软件    时间: 2010-4-29 16:48
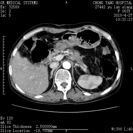
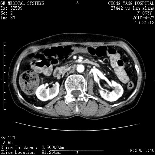
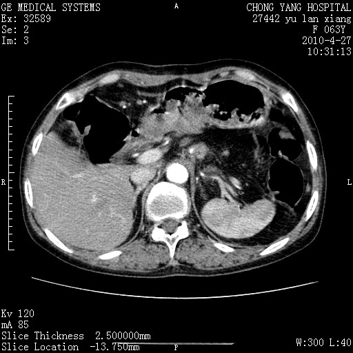
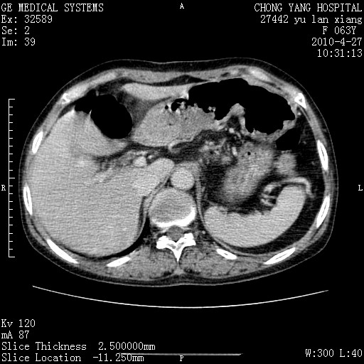
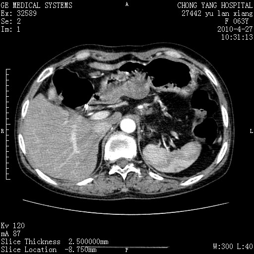
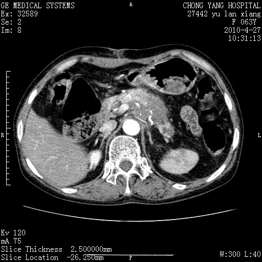
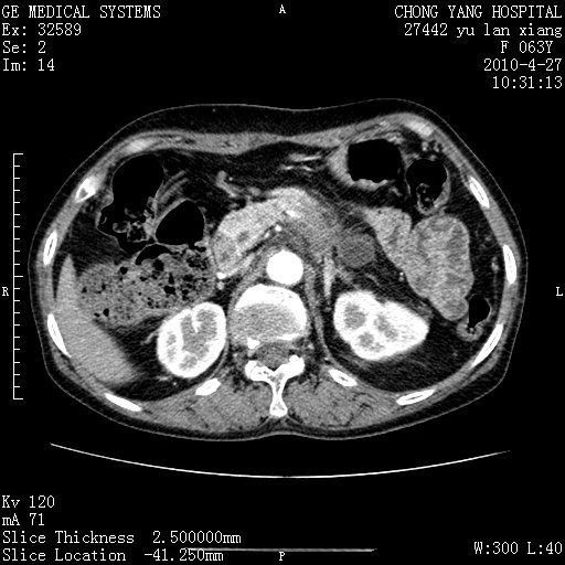
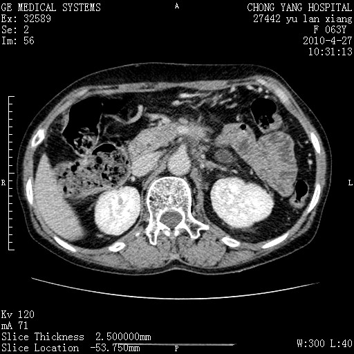
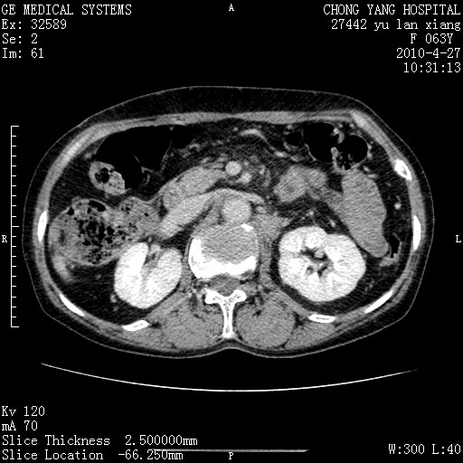
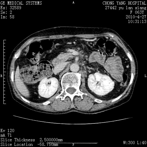
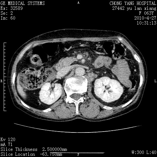
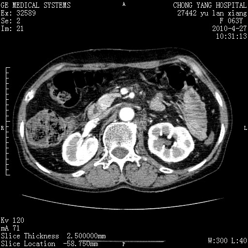
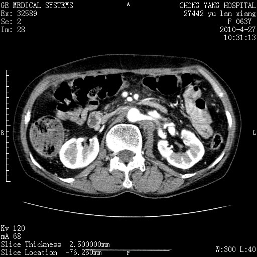
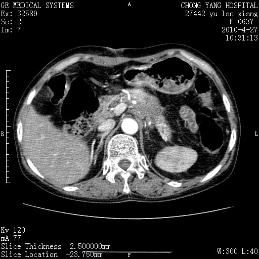
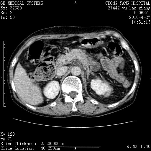
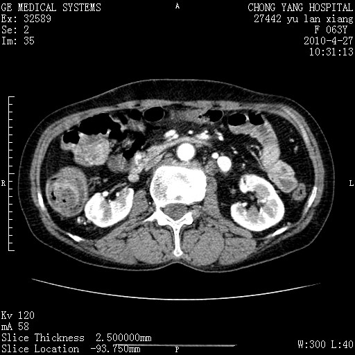
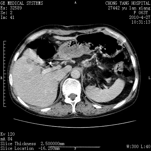
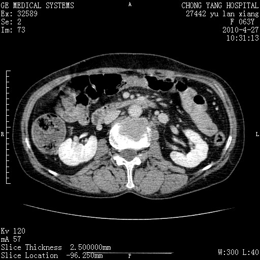
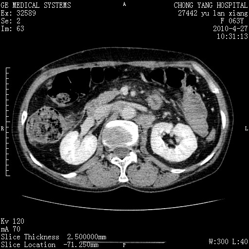
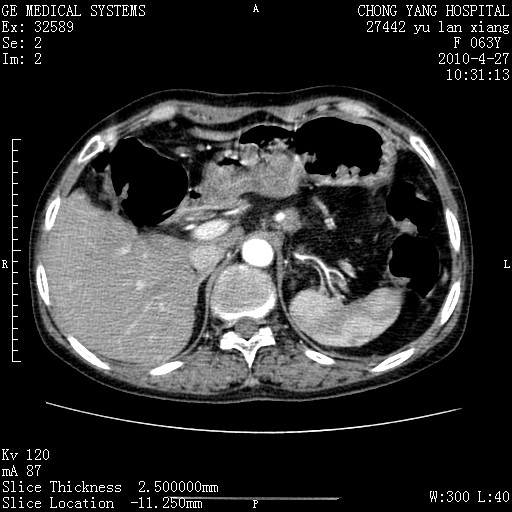
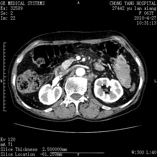
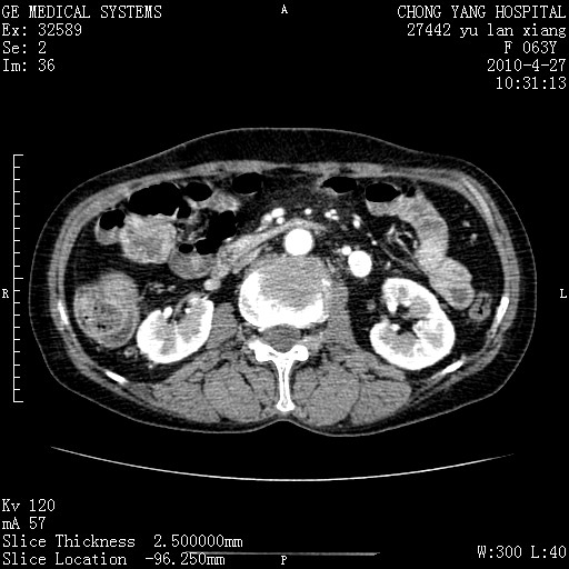
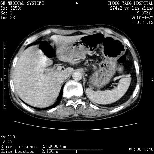
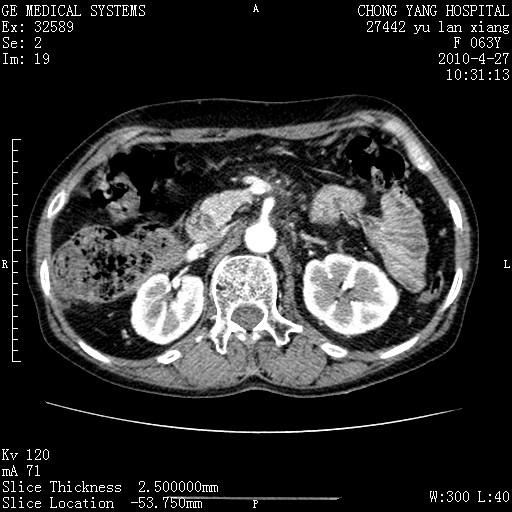
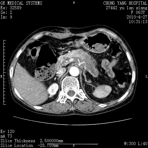
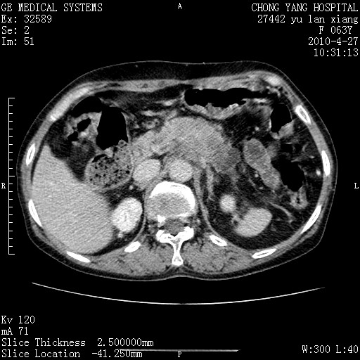
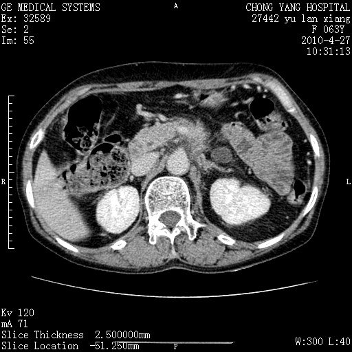
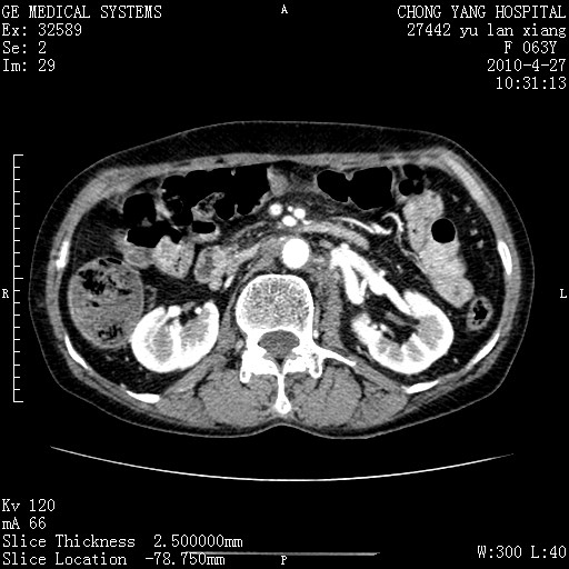
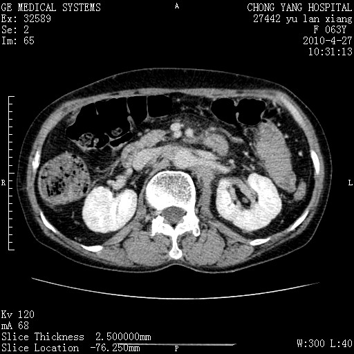
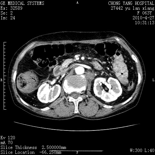
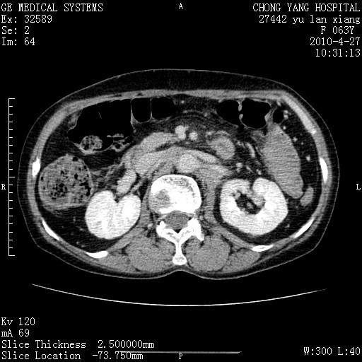
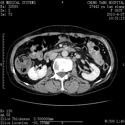
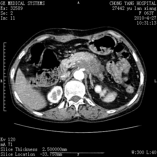
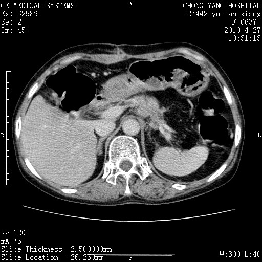
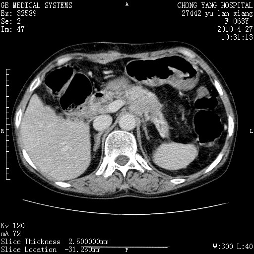
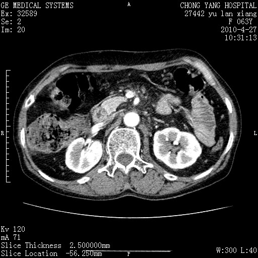
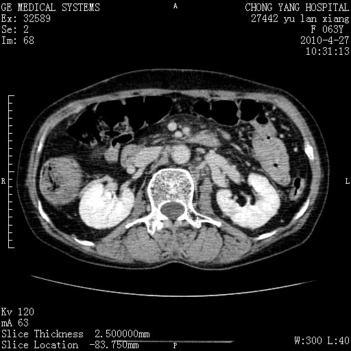
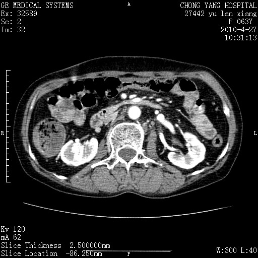
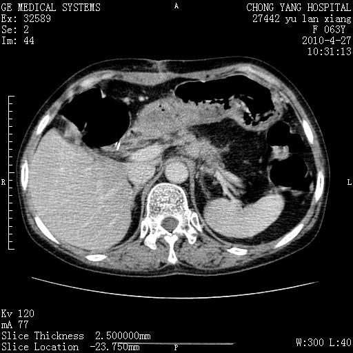
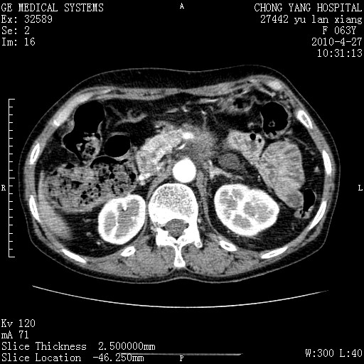
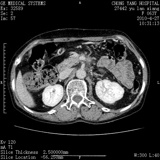
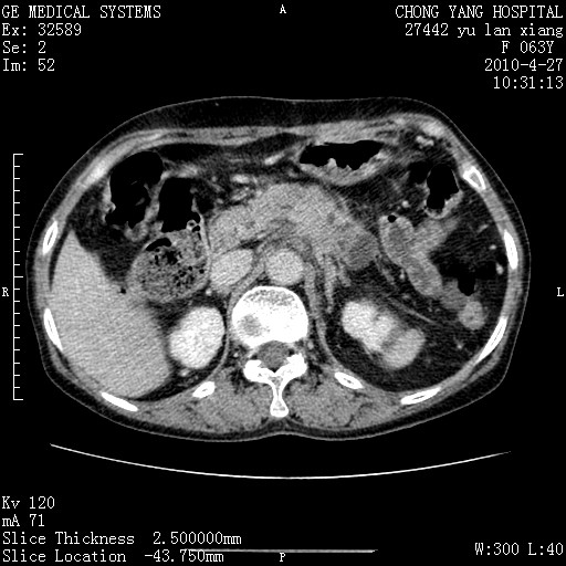
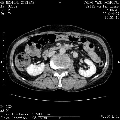
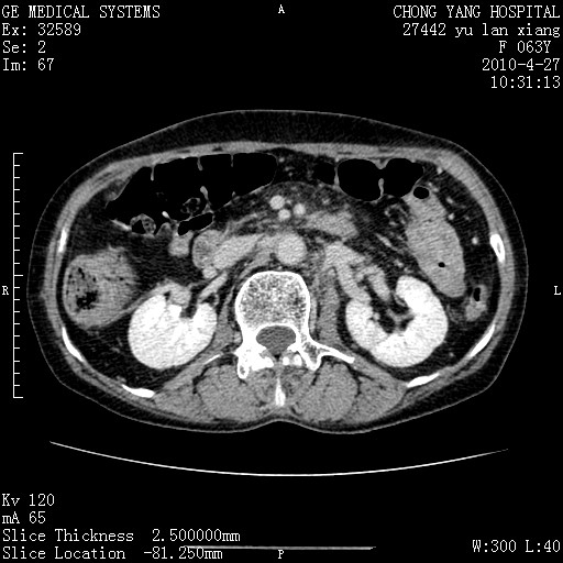
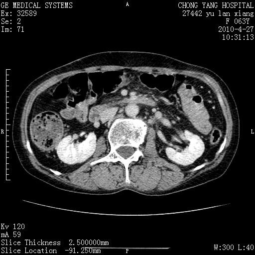
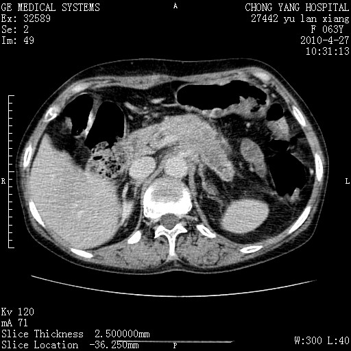
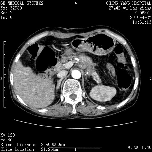
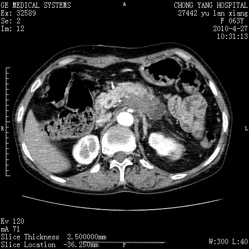
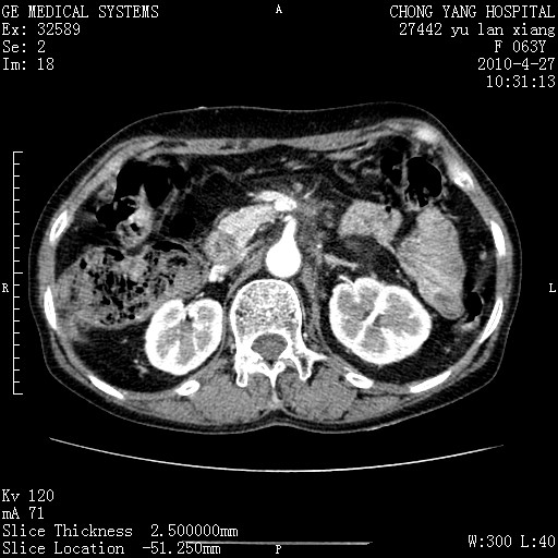
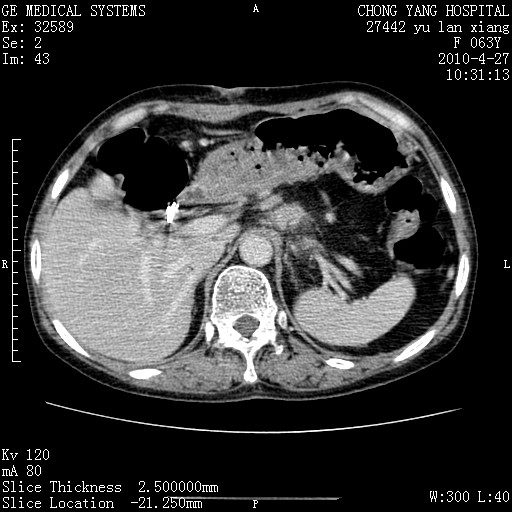
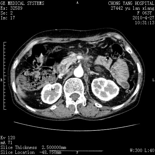
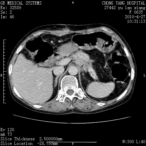
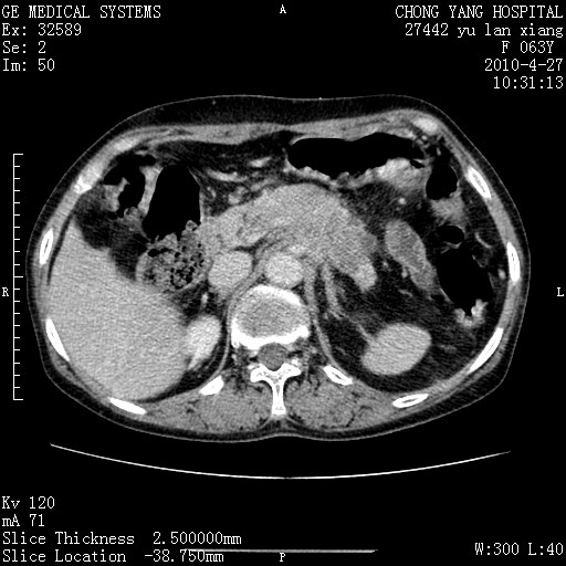
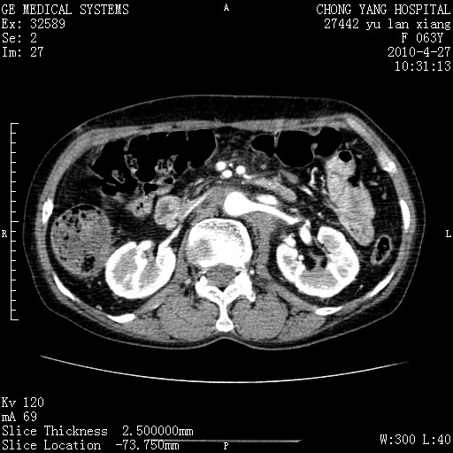
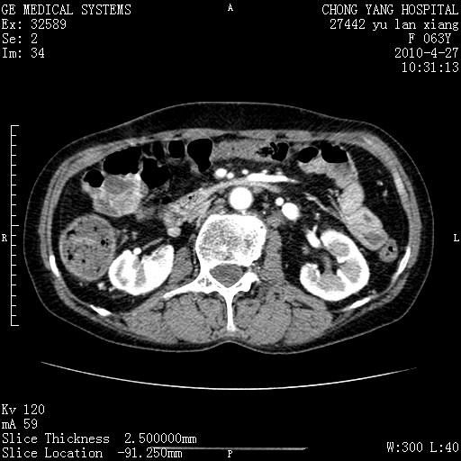
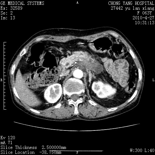
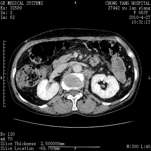
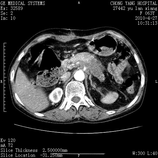
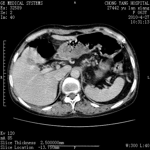
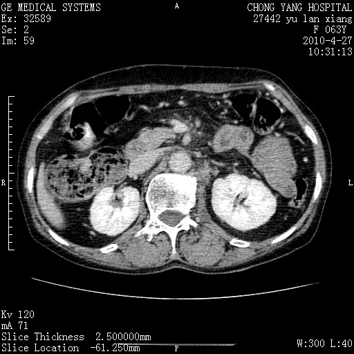
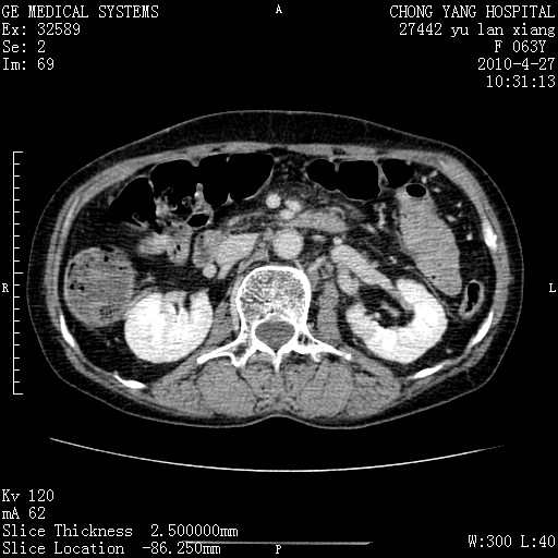
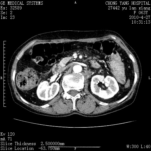
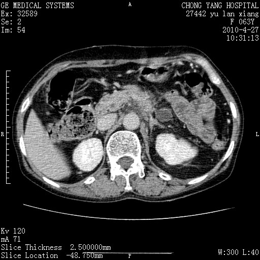
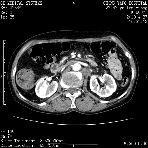
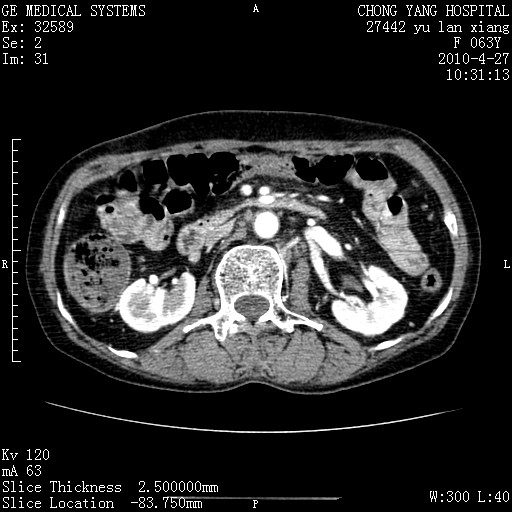
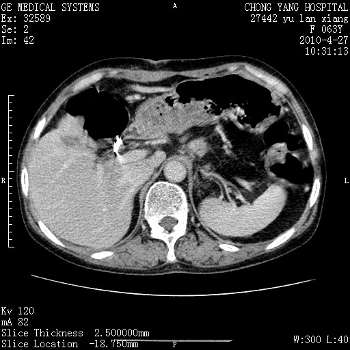
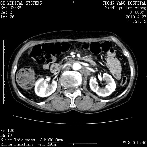
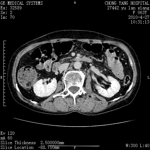
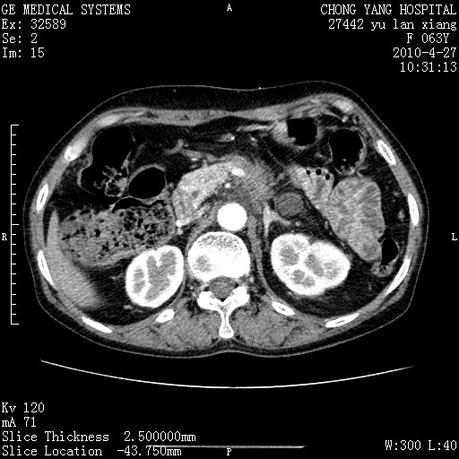
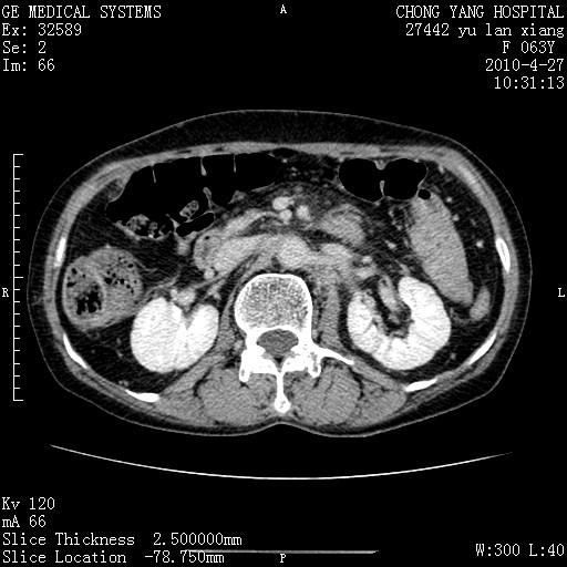
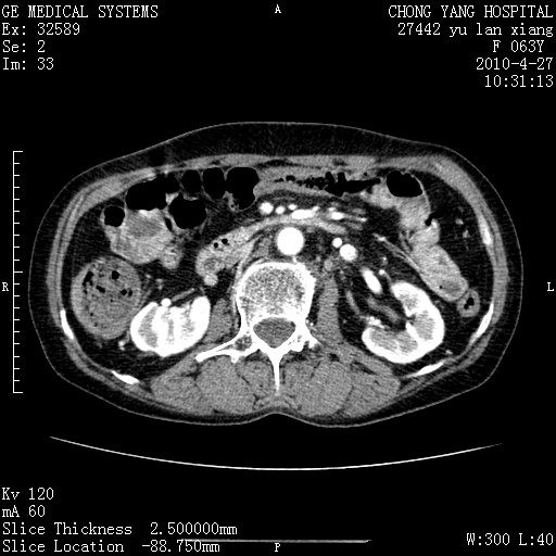
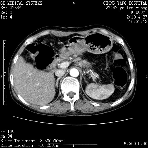
胰腺癌侵犯腹腔动脉干-分支、胃壁、左侧膈肌伴胰周及腹膜后淋巴结转移、胆囊切除术后。
作者: 赵物学    时间: 2010-4-29 17:50
标题: 回复:f63y 胰腺增强,上腹正中压痛半月,ca199:7400u/ml,mr
以下是引用杀毒软件在2010-4-29 8:48:00的发言:[br]胰腺癌侵犯腹腔动脉干-分支、胃壁、左侧膈肌伴胰周及腹膜后淋巴结转移、胆囊未显影。

支持
作者: 北方的狼    时间: 2010-4-29 18:20
胰腺癌侵犯腹腔动脉干-分支、胃壁、左侧膈肌伴胰周及腹膜后淋巴结转移、胆囊未显影。
作者: 天海    时间: 2010-4-29 18:43
支持胰腺癌。
作者: 影象小辈    时间: 2010-4-29 19:06
胰腺癌侵犯腹腔动脉干-分支、胃壁、左侧膈肌伴胰周及腹膜后淋巴结转移、胆囊切除术后。
作者: muzi888    时间: 2010-4-29 19:24
支持胰腺癌侵犯腹腔动脉干-分支、胃壁、左侧膈肌伴胰周及腹膜后淋巴结转移、胆囊切除术后。
作者: 随光逐影    时间: 2010-5-1 01:25
支持 胰腺癌侵犯腹腔动脉干-分支、胃壁、左侧膈肌伴胰周及腹膜后淋巴结转移;胆囊切除术后。
作者: 黑白光影    时间: 2010-5-1 04:39
标题:
以下是引用杀毒软件在2010-4-29 8:48:00的发言:[br]胰腺癌侵犯腹腔动脉干-分支、胃壁、左侧膈肌伴胰周及腹膜后淋巴结转移、胆囊切除术后。





欢迎光临 医影在线 (http://bbs.radida.com/bbs/) Powered by Discuz! X3.2