医影在线

标题: CT26182:男 胸憋 无其它异常症状 [打印本页]

作者: wsqyg    时间: 2010-5-6 03:25
标题: CT26182:男 胸憋 无其它异常症状




















































[本贴已被 翁志蓬 于 2010-5-5 22:20:04 修改过]

作者: ctkz987    时间: 2010-5-6 05:30
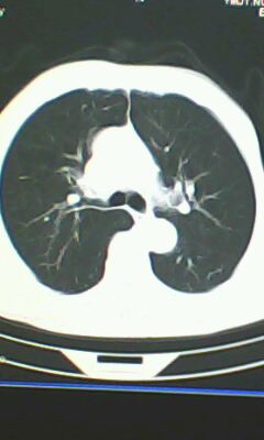
胸廓呈桶状,双膈低平,肺实质及纵隔未见明显异常密度灶考虑肺气肿.
作者: 杀毒软件    时间: 2010-5-6 05:32
有特殊意义吗?
作者: xiongneo    时间: 2010-5-6 05:35
未见明显异常。
作者: zxczxc    时间: 2010-5-6 06:42
胰尾部占位?
作者: zxl51642    时间: 2010-5-6 06:53
未见明显异常。“胰尾占位”为肠管
作者: jiangmin    时间: 2010-5-6 07:15
肺气肿
作者: yangyudong333    时间: 2010-5-6 13:34
未见明显异常。“
作者: 卜一    时间: 2010-5-6 14:16
未见明显异常。
作者: 健力宝    时间: 2010-5-6 15:20
标题: 回复:ct26182:男 胸憋 无其它异常症状
以下是引用ctkz987在2010-5-5 21:30:00的发言:[br]胸廓呈桶状,双膈低平,肺实质及纵隔未见明显异常密度灶考虑肺气肿.

作者: 随光逐影    时间: 2010-5-6 15:41
未见明确异常。
作者: DDN    时间: 2010-5-6 15:41
做个肺功能检查。肺ct无明显异常。
作者: 施明    时间: 2010-5-6 16:12
口服造影剂是必须的
作者: 深泽交通    时间: 2010-5-6 16:47
弥漫性肺气肿 但内胆管轻度扩张
作者: 北方的狼    时间: 2010-5-6 18:33
临床诊断:copd
作者: 37度    时间: 2010-5-6 19:08
慢阻肺是临床诊断,未见明显异常。
作者: 黑白光影    时间: 2010-5-7 05:32
未见明显异常。




欢迎光临 医影在线 (http://bbs.radida.com/bbs/) Powered by Discuz! X3.2