医影在线

标题: PED3236:男2岁进食花生米后发烧10天。 [打印本页]

作者: 黑白总动员    时间: 2010-5-6 05:09
标题: PED3236:男2岁进食花生米后发烧10天。




































[本贴已被 翁志蓬 于 2010-5-5 22:23:02 修改过]

作者: 杀毒软件    时间: 2010-5-6 05:12
阻塞炎
作者: ctkz987    时间: 2010-5-6 05:17
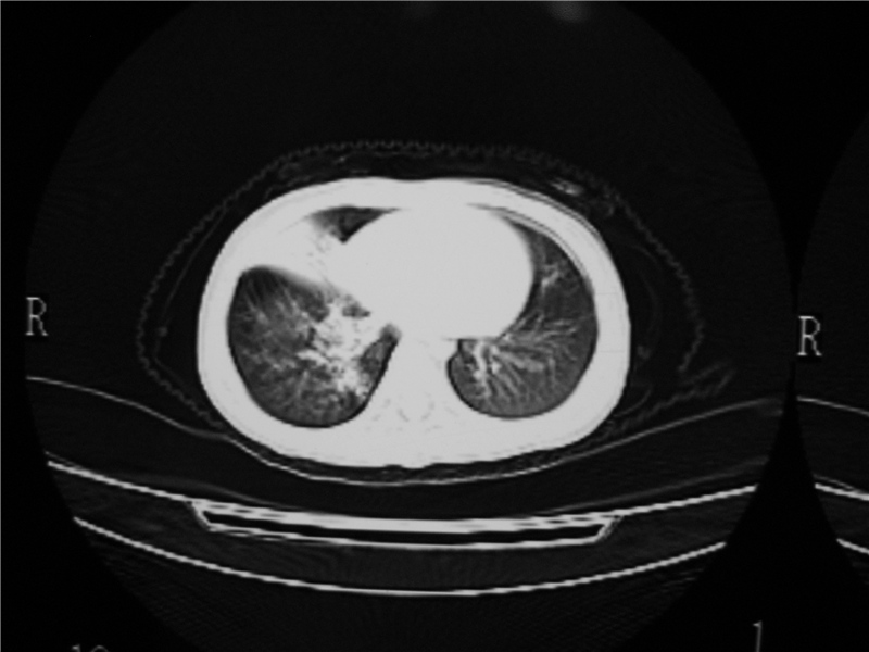
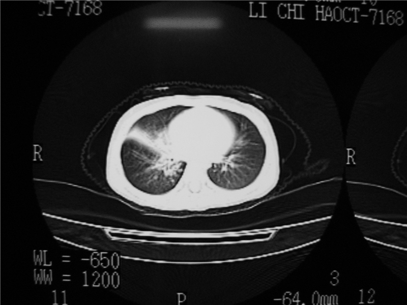
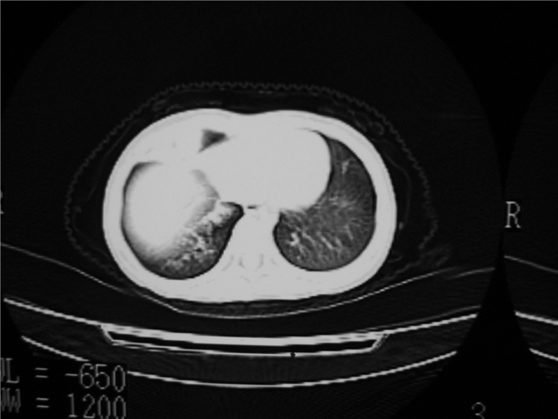
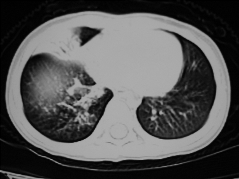
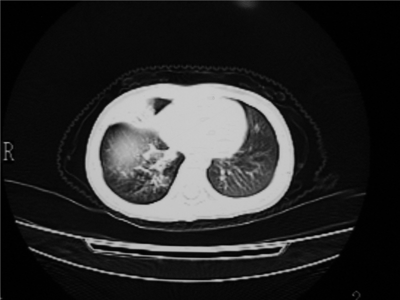
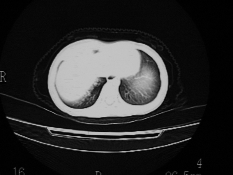
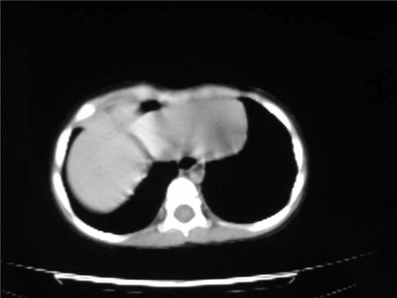
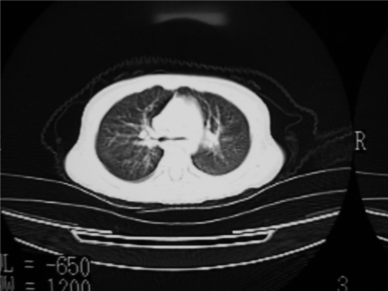
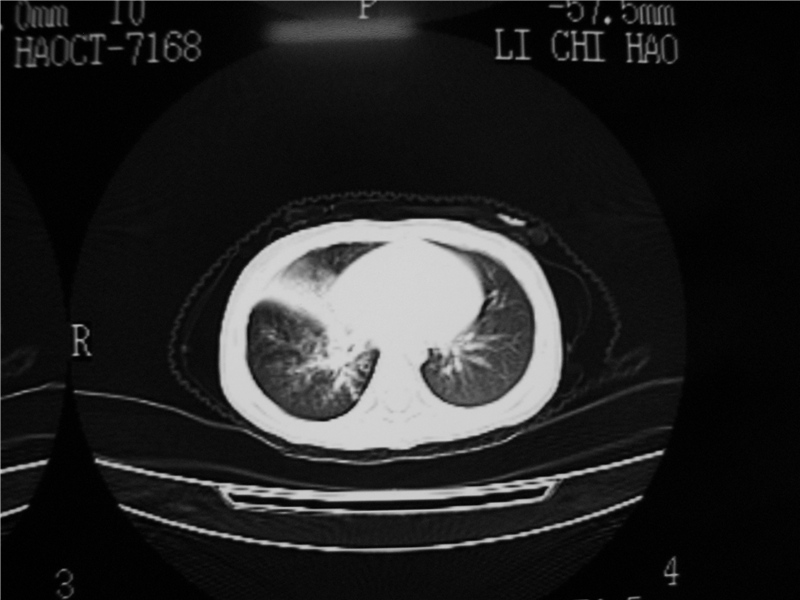
右肺中叶及下叶内段大片实变密度增高影,可见支气管气象,肺炎.
作者: xiongneo    时间: 2010-5-6 05:17
阻塞性肺炎及膨胀不全
作者: zxczxc    时间: 2010-5-6 05:38
右肺中叶及右肺下叶炎症,建议取出
作者: 岚儿    时间: 2010-5-6 05:41
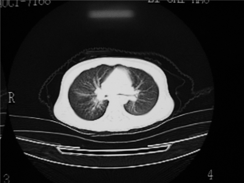
摄吸气及呼气相对比片,本例为有肺中叶阻塞性炎症、不张,右肺下叶阻塞性炎症。
作者: zxl51642    时间: 2010-5-6 06:49
右侧中间段支气管阴性异物可能,建议支气管镜
作者: 随光逐影    时间: 2010-5-6 16:04
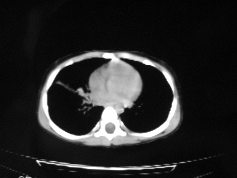
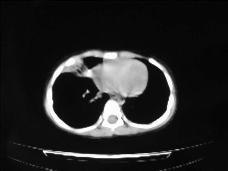
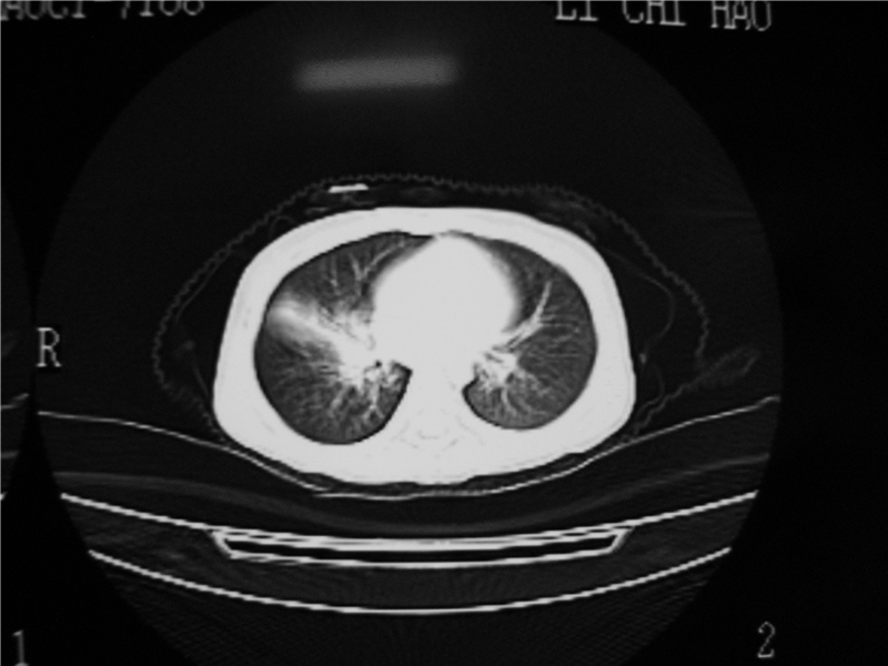
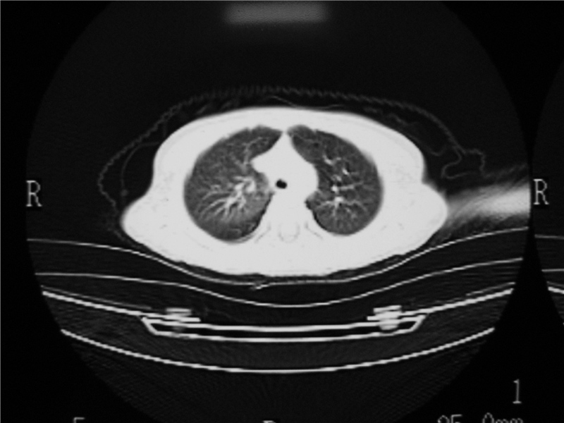
1)右肺炎症并右肺中叶肺不张,右肺上叶充气不良。2)右侧支气管异物不排除。
作者: dhlyq    时间: 2010-5-6 17:31
1)右肺炎症并右肺中叶肺不张,右肺上叶充气不良。2)右侧支气管异物不排除。支持
作者: dyqct    时间: 2010-5-6 18:29
标题: 回复:ped3236:男2岁进食花生米后发烧10天。
以下是引用随光逐影在2010-5-6 8:04:00的发言:[br]1)右肺炎症并右肺中叶肺不张,右肺上叶充气不良。2)右侧支气管异物不排除。

支持!
作者: 37度    时间: 2010-5-6 18:47
标题: 回复:ped3236:男2岁进食花生米后发烧10天。
以下是引用随光逐影在2010-5-6 8:04:00的发言:[br]1)右肺炎症并右肺中叶肺不张,右肺上叶充气不良。2)右侧支气管异物不排除。

作者: zy_zj    时间: 2010-5-6 19:45
1)右肺炎症并右肺中叶肺不张,右肺上叶充气不良。2)右侧支气管异物不排除。
结合病史,考虑气管异物所致。
楼上师兄说拍呼气吸气相。但工作中很难做到-2岁小孩不会配合。我们这里真没成功过。多是在透视下看看
再有,我们16排ct有气管重建功能,肯异物效果可以。
作者: 蓬莱客    时间: 2010-5-7 05:22
1)右肺炎症并右肺中叶肺不张,右肺上叶充气不良。2)右侧支气管异物不排除。
作者: 拾荒者    时间: 2010-5-7 05:23
结合临床考虑支气管异物并阻塞性肺炎、肺不张。
作者: linyiming    时间: 2010-5-7 06:12
右肺炎症并右肺中叶肺不张,右肺上叶充气不良。2)右侧支气管异物不排除。
作者: 赵物学    时间: 2010-5-7 23:34
右肺中,下叶炎症结合病史不除外异物阻塞支气管
作者: sunbin    时间: 2010-5-9 00:09
右肺炎症并右肺中叶肺不张,右肺上叶充气不良。2)右侧支气管异物不排除。
作者: 道哥    时间: 2010-5-9 23:57
右肺中叶及下叶内段大片实变密度增高影,可见支气管气象,肺炎.  ------异物阻塞所致!建议去除!
作者: 梦红楼    时间: 2010-5-10 17:11
16排ct有气管重建功能,肯异物效果可以
作者: hguox    时间: 2010-5-13 00:34
右侧中间段支气管阴性异物可能,建议支气管镜
作者: panyishengct    时间: 2010-5-13 05:04
1)右肺炎症并右肺中叶肺不张,右肺上叶充气不良。2)右侧支气管异物不排除。
作者: 胡宇    时间: 2010-5-13 06:31
1)右肺炎症并右肺中叶肺不张,右肺上叶充气不良。2)右侧支气管异物不排除。
作者: shibing    时间: 2010-5-14 17:57
支持!




欢迎光临 医影在线 (http://bbs.radida.com/bbs/) Powered by Discuz! X3.2