
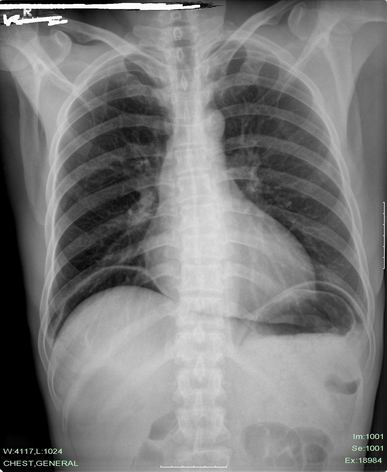
以下是引用老爱克斯新网客在2010-5-7 20:13:00的发言:[br]是真性气腹毫无疑问。不知患者性别,看胸片好像是男性,是否近期做过手术?或腹穿检查?了解病史。如果是女性,妇科的内诊检查,阴道冲洗,子宫输卵管造影术后等都可以出现真性气腹。详细了解病史必不可少。理论上讲还有肠气囊肿破裂,实际没见过。只要临床没有症状就不能轻易诊断消化道穿孔。
以下是引用老爱克斯新网客在2010-5-7 20:13:00的发言:[br]是真性气腹毫无疑问。不知患者性别,看胸片好像是男性,是否近期做过手术?或腹穿检查?了解病史。如果是女性,妇科的内诊检查,阴道冲洗,子宫输卵管造影术后等都可以出现真性气腹。详细了解病史必不可少。理论上讲还有肠气囊肿破裂,实际没见过。只要临床没有症状就不能轻易诊断消化道穿孔。
| 欢迎光临 医影在线 (http://bbs.radida.com/bbs/) | Powered by Discuz! X3.2 |