医影在线

标题: CT26232:晕 [打印本页]

作者: yy1979    时间: 2010-5-8 04:10
标题: CT26232:晕
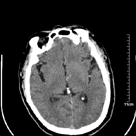
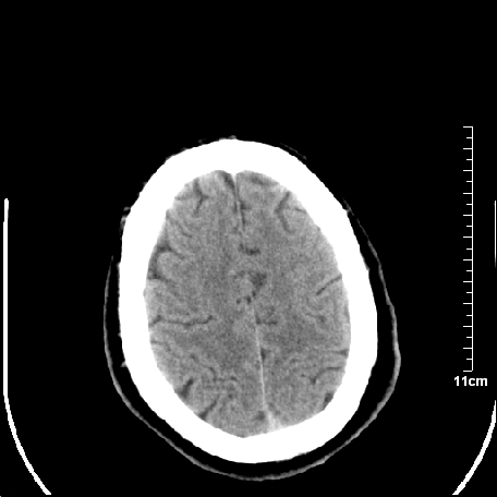
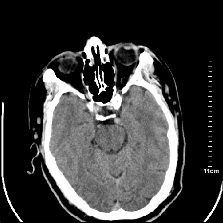
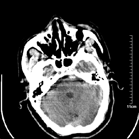
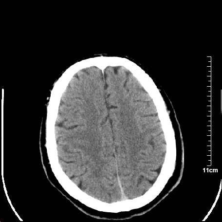
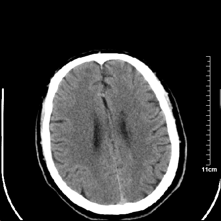
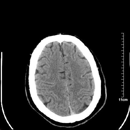
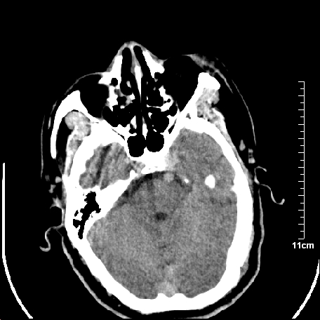
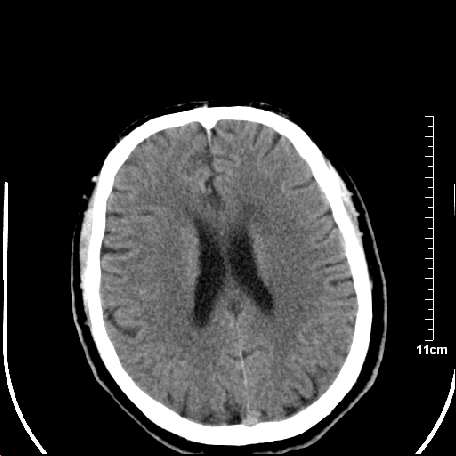
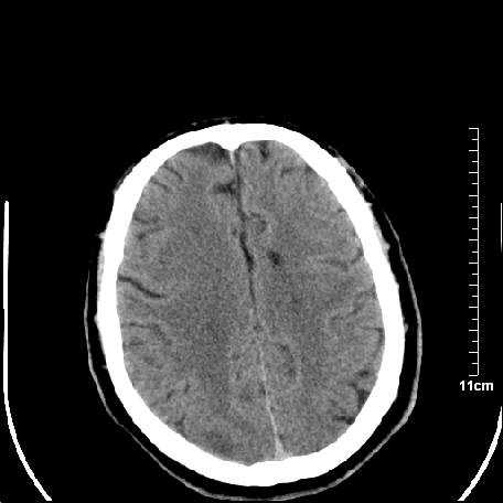
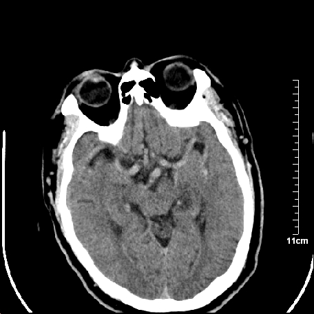
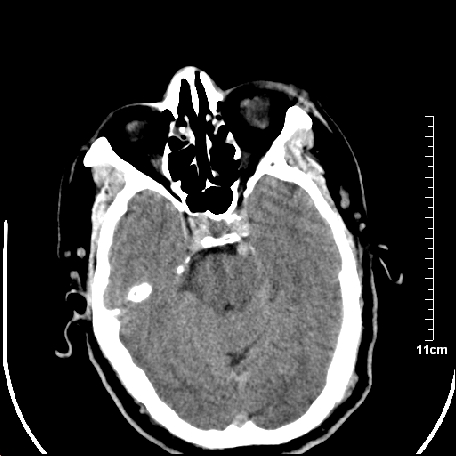
外伤患者,什么病,





















[本贴已被 jiajie 于 2010-5-8 13:23:48 修改过]

作者: yy1979    时间: 2010-5-8 04:11
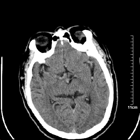
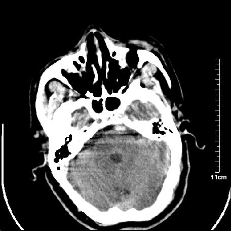
外伤患者,没什么症状,
作者: 胡宇    时间: 2010-5-8 04:38
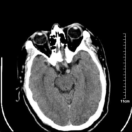
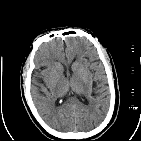
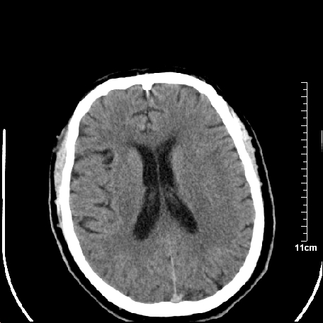
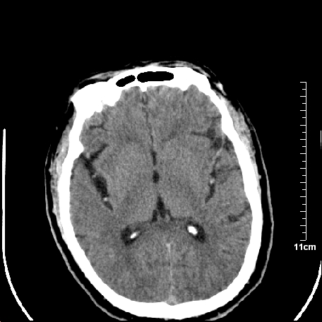
颅内未见明显创伤性影像,建议上传骨窗,看看左侧颧弓
作者: niexitao    时间: 2010-5-8 04:43
未见明显异常改变。
作者: yy1979    时间: 2010-5-8 04:47
双侧外侧裂,左侧脑沟见高密度结节影,边清,还有鞍上池层面密度也高
作者: 37度    时间: 2010-5-8 04:48
靠,老年脑,没什么病。
作者: 37度    时间: 2010-5-8 05:22
都是血管。
作者: 随光逐影    时间: 2010-5-8 05:31
脑血管硬化?高血红蛋白症?
作者: dhlyq    时间: 2010-5-8 06:38
未见明显异常改变。
作者: 王加美    时间: 2010-5-8 06:52
高血红蛋白症可能
作者: 王加美    时间: 2010-5-8 06:57
标题: 回复:晕

有些类似吧
作者: zxl51642    时间: 2010-5-8 07:11
高血红蛋白症可能
作者: 卡洛儿    时间: 2010-5-8 07:55
高血红蛋白症
作者: 春蕾    时间: 2010-5-8 08:20
无明显异常发现.
难道楼主真考虑:高血红蛋白症可能
作者: linyiming    时间: 2010-5-8 11:20
未见明显异常改变。
作者: 施明    时间: 2010-5-8 13:54
高血红蛋白血征
作者: zsl6918    时间: 2010-5-8 14:08
高血红蛋白血征
作者: DDN    时间: 2010-5-8 15:44
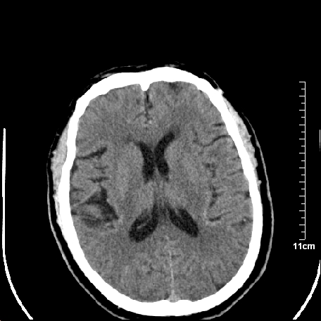
1.左额叶脑软化灶。
2.老年脑,基底动脉硬化迂曲。
作者: 卜一    时间: 2010-5-8 16:29
未见明显异常改变。
作者: LIAOQIANG    时间: 2010-5-8 17:50
基底动脉硬化迂曲。高血红蛋白血症。




欢迎光临 医影在线 (http://bbs.radida.com/bbs/) Powered by Discuz! X3.2