医影在线

标题: X0362:胸部病变,一看就明白, [打印本页]

作者: wanyych    时间: 2005-4-7 09:15
标题: X0362:胸部病变,一看就明白,
男,50y。



[本贴已被 翁志蓬 于 2005-9-14 17:28:58 修改过]

作者: 白医天使    时间: 2005-4-7 09:29
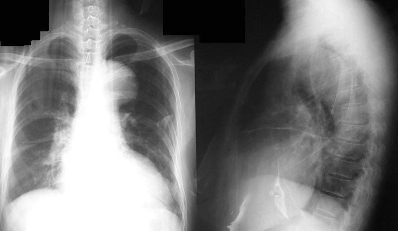
正位片左上纵隔旁可见突向肺野内半圆形密度增高影,边缘光滑,中心在纵隔内,与纵隔的夹角是钝角。侧位片可见升主动脉迂曲、扩张。
考虑:主动脉瘤,
另外纵隔淋巴瘤待排。
作者: wuyingke    时间: 2005-4-7 16:05
标题: re: 胸部病变,一看就明白,
[quote=\"wanyych\"]男,50y。[/quote]


应该首先考虑主动脉瘤,如果ct就一目了然了.
作者: lqc    时间: 2005-4-10 02:28
考虑主动脉瘤,高心病,叶间胸膜增厚伴胸膜增厚。
作者: chunlin    时间: 2005-5-6 16:15
我认为主动脉瘤可能
作者: chunlin    时间: 2005-5-6 16:17
透视下是否能看到它有搏动,如果有应支持主动脉瘤的可能
作者: redstar    时间: 2005-5-15 11:02
标题: re: 胸部病变,一看就明白,
主功脉的动脉瘤可使主动脉轮廓扩大.并表现为
纵隔肿块。囊状的动脉瘤表现为—个局灶肿物!最常见于主动脉
弓区。。
学习ing~~
作者: chenyihong    时间: 2005-5-17 10:17
主动脉瘤,叶间积液
作者: kfzyj    时间: 2005-5-17 13:49
标题: 我的观点:
主动脉瘤是可以肯定的,纵隔淋巴溜的可能性不大!
主要是还要综合考虑病人全身情况,看是否是由于马凡综合症合并的胸主动脉瘤!
作者: judc    时间: 2005-5-17 15:54
楼上诸位均已下了诊断,楼主把答案说一下呀。让我们知道自己的答案是否正确。
作者: gyj2008    时间: 2005-5-18 23:01
主动脉瘤
作者: lushijun    时间: 2005-9-19 17:04
[emb6]主动脉瘤
作者: sunjh2266    时间: 2005-9-19 19:15
[emb12]
作者: kqs555    时间: 2005-9-24 23:06
主动脉瘤可能,透视下观察.
作者: liannianyouyu    时间: 2005-9-29 06:24
支持主动脉瘤的诊断
作者: fyh    时间: 2005-9-30 04:49
正位片左上纵隔旁可见突向肺野内半圆形密度增高影,边缘光滑,中心在纵隔内,与纵隔的夹角是钝角与主动脉结关系密切。侧位片可见升主动脉局限性迂曲扩张。考虑主动脉瘤[emb18][emb7][emb6]
作者: 陈医生123    时间: 2005-10-2 04:53
[emb18]
作者: tsxhfsk    时间: 2005-10-4 00:43
支持主动脉瘤
作者: 何西望    时间: 2005-10-4 00:48
[emb7]
作者: tdh    时间: 2005-10-4 19:40
主动脉瘤可能大
作者: abzzys    时间: 2005-10-4 21:48
答案!
作者: lisuoguo    时间: 2005-10-6 01:13
主动脉瘤可能大[emb26]
作者: geziyy    时间: 2005-10-13 04:38
[emb6]主动脉瘤
作者: 仁杰地灵    时间: 2005-10-14 00:16
答案就是:考虑主动脉瘤可能性大,建议透视或者行ct进一步检查。
作者: jinguoji    时间: 2006-11-11 07:41
主动脉瘤
作者: yrjw    时间: 2007-8-22 04:54
主动脉瘤
作者: shibing    时间: 2013-4-7 07:45
行ct进一步检查。
作者: mujianbao    时间: 2013-4-7 17:22
主动脉瘤  叶间胸膜肥厚
作者: ccbr    时间: 2013-5-11 14:31
考虑主动脉夹层
作者: 自由鸟    时间: 2013-5-11 16:13
考虑主动脉瘤




欢迎光临 医影在线 (http://bbs.radida.com/bbs/) Powered by Discuz! X3.2