医影在线

标题: CT26238:女,65岁。腹痛待查。 [打印本页]

作者: xg410    时间: 2010-5-8 18:24
标题: CT26238:女,65岁。腹痛待查。
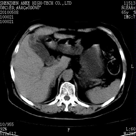
女,65岁。乳腺ca术后多年。现在剧烈腹痛待查。b超示胆囊炎、胆结石。















































[本贴已被 jiajie 于 2010-5-8 13:27:21 修改过]

作者: 深泽交通    时间: 2010-5-8 18:40
考虑胸骨柄有转移 胆囊炎?
作者: ylsf    时间: 2010-5-8 21:33
胸骨柄有转移
作者: sunbin    时间: 2010-5-8 22:19
左侧乳腺癌术后,胸骨柄见有骨质破坏,考虑乳腺癌骨转移,胆囊炎,右肾囊肿。
作者: zxl51642    时间: 2010-5-9 00:57
左侧乳腺癌术后,胸骨柄见有骨质破坏,考虑乳腺癌骨转移,胆囊炎,右肾囊肿。
作者: 随光逐影    时间: 2010-5-9 01:56
1)胆囊炎。2)右肾囊肿。3)左侧少量胸腔积液。4)建议行ect检查排除胸骨转移瘤。
作者: xwm9909    时间: 2010-5-9 02:15
1)胆囊结石、胆囊炎。2)右肾囊肿占位。3)左侧少量胸腔积液。4)建议行ect检查排除胸骨转移瘤。  
5)调整窗宽、窗位注意观察腹腔内有否游离气体(能看清腹内脂肪及气体)。
作者: 黑白光影    时间: 2010-5-9 05:56
支持大家。




欢迎光临 医影在线 (http://bbs.radida.com/bbs/) Powered by Discuz! X3.2