医影在线

标题: PED3241:男性,13岁膝关节DR [打印本页]

作者: redrubber    时间: 2010-5-11 17:30
标题: PED3241:男性,13岁膝关节DR
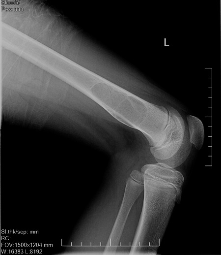
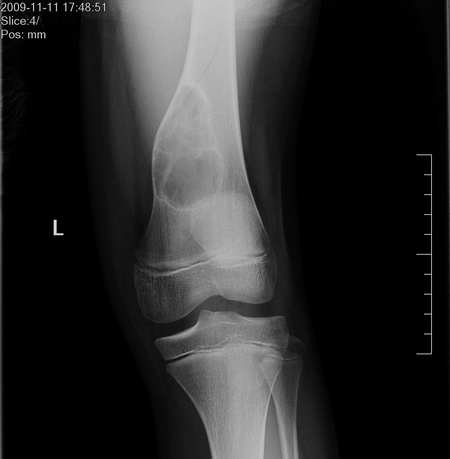
男,13岁,因膝关节外伤来照片,伤前无症状。




[本贴已被 jiajie 于 2010-5-11 12:55:06 修改过]

作者: yuhongjun    时间: 2010-5-11 18:05
首先考虑骨纤,其次骨巨。
作者: 学者~『风    时间: 2010-5-11 18:33
考虑骨纤,内生软骨瘤、骨巨待排
作者: ZHANGZHONGSHOU    时间: 2010-5-11 18:39
支持考虑骨纤维异常增殖症可能性大。
作者: zxl51642    时间: 2010-5-11 18:51
干骺端病变,透光度较高,有明显硬化边,内多房分隔,无明显钙化,可见骨皮质裸露征,无骨膜反应及软组织肿块,男13岁,考虑良性肿瘤样病变,多房性骨囊肿可能。
鉴别:abc、nof、软黏纤、囊性骨纤。
建议ct。
作者: 随光逐影    时间: 2010-5-11 19:57
考虑左股骨下段骨纤维异常增殖症,不排除骨囊肿。
作者: zsl6918    时间: 2010-5-11 20:06
考虑动脉瘤样骨囊肿可能性大
作者: dyqct    时间: 2010-5-11 23:05
标题: 回复:ped3241:男性,13岁膝关节dr
以下是引用zxl51642在2010-5-11 10:51:00的发言:[br]干骺端病变,透光度较高,有明显硬化边,内多房分隔,无明显钙化,可见骨皮质裸露征,无骨膜反应及软组织肿块,男13岁,考虑良性肿瘤样病变,多房性骨囊肿可能。[br]鉴别:abc、nof、软黏纤、囊性骨纤。[br]建议ct。

支持!
作者: 梦红楼    时间: 2010-5-12 05:47
囊性有分隔,骨囊肿,动脉瘤样骨囊肿都有可能,这样的骨巨好像不是。
建议ct或mr
作者: 拾荒者    时间: 2010-5-12 05:49
考虑囊状骨纤可能性大。
作者: 自贡刘剑    时间: 2010-5-12 10:44
首先考虑多房骨囊肿,有硬化边,不考虑骨巨细胞瘤。其次考虑骨纤维异常增殖症。
作者: china5815    时间: 2010-5-12 20:42
考虑骨纤可能性大,建议ct检查
作者: 马铃薯    时间: 2010-5-12 22:38
考虑骨囊肿,骨巨细胞瘤。
作者: kzfrlyw    时间: 2010-5-12 23:24
动脉瘤样骨囊肿
作者: hguox    时间: 2010-5-13 00:43
动脉瘤样骨囊肿
作者: sunbin    时间: 2010-5-13 01:18
考虑囊状骨纤可能性大。
作者: panyishengct    时间: 2010-5-13 05:42
囊性有分隔,骨囊肿,动脉瘤样骨囊肿都有可能,这样的骨巨好像不是。
建议ct或mr
作者: yangyudong333    时间: 2010-5-13 14:37
考虑骨囊肿,骨巨细胞瘤。
作者: fgp198    时间: 2010-5-13 18:17
考虑动脉瘤样骨囊肿
作者: 光影世界    时间: 2010-5-13 20:37
支持考虑骨纤维异常增殖症
作者: shibing    时间: 2010-5-14 17:45
骨纤维异常增殖症可能性大。
作者: lyxyy    时间: 2010-5-14 22:47
多囊、囊内丝瓜瓤改变,支持骨纤
作者: 37度    时间: 2010-5-17 21:01
不除外非骨化纤维瘤或纤维性骨皮质缺损。
作者: 吴医师    时间: 2010-5-18 07:15
首先考虑多房骨囊肿,其次考虑骨纤维异常增殖症。不考虑骨巨细胞瘤。
作者: ZHWW    时间: 2010-5-19 06:01
骨囊肿、非骨化性纤维瘤
作者: 石门之剑    时间: 2010-5-19 07:44
骨纤维异常增殖可能性大
作者: chinanyd    时间: 2010-5-20 03:16
考虑骨纤、骨囊肿
作者: 学海无涯08    时间: 2010-5-24 23:00
动脉瘤样骨囊肿
作者: chinanyd    时间: 2010-5-26 00:08
骨纤?




欢迎光临 医影在线 (http://bbs.radida.com/bbs/) Powered by Discuz! X3.2