医影在线

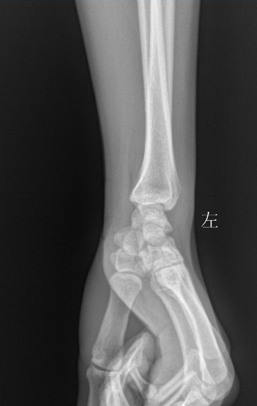
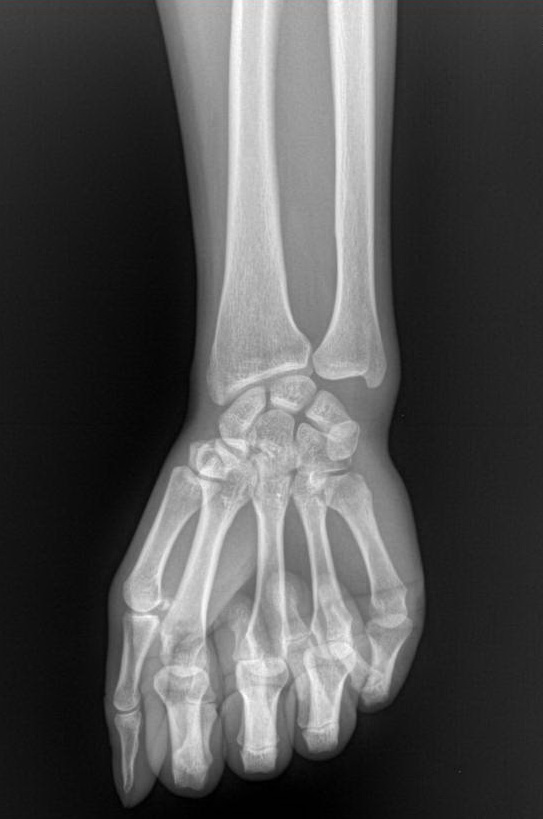
标题: X7319:F 50岁,左腕肿痛数年 [打印本页]

作者: bobsky    时间: 2010-5-12 01:14
标题: X7319:F 50岁,左腕肿痛数年




[本贴已被 jiajie 于 2010-5-11 22:48:21 修改过]

作者: 323    时间: 2010-5-12 01:52
未见异常
作者: 谢建春    时间: 2010-5-12 02:45
未见异常
作者: 蓬莱客    时间: 2010-5-12 04:37
未见异常
作者: fanxinyu    时间: 2010-5-12 04:46
未见异常.
作者: 拾荒者    时间: 2010-5-12 05:04
未见明显异常。
作者: gaoyang8    时间: 2010-5-12 05:30
未见明显异常。
作者: 黑白光影    时间: 2010-5-12 05:41
吾也未看出毛病,多角骨处有没有问题?
作者: masterle    时间: 2010-5-12 06:06
没事
作者: 吴医师    时间: 2010-5-12 06:08
未见明显异常。
作者: xiongneo    时间: 2010-5-12 06:14
未见明显异常。
作者: lwf999888    时间: 2010-5-12 06:25
大多角骨无菌性坏死可能。
作者: zxl51642    时间: 2010-5-12 06:33
未见明显异常。
作者: 拂晓    时间: 2010-5-12 07:23
未见明显异常。
作者: dhlyq    时间: 2010-5-12 07:26
未见明显异常。
作者: dr.yang    时间: 2010-5-12 14:55
未见明显异常。
作者: lijinglei    时间: 2010-5-12 16:51
骨质未见异常改变。
作者: yongbest    时间: 2010-5-12 16:54
标题: 回复:x7319:f 50岁,左腕肿痛数年
以下是引用吴医师在2010-5-11 22:08:00的发言:[br]未见明显异常。  [br]   [br]

作者: 随光逐影    时间: 2010-5-12 17:09
未见明确异常;建议必要时行ct扫描检查。
作者: ljchenshiying    时间: 2010-5-12 17:33
未见明显异常。
作者: D.xu002    时间: 2010-5-12 17:49
顶各位专家,没事
作者: muzi888    时间: 2010-5-12 19:10
未见明显异常。
作者: shibing    时间: 2010-5-12 19:46
未见异常
作者: 马铃薯    时间: 2010-5-12 20:06
正常
作者: chinanyd    时间: 2010-5-12 22:03
未见异常
作者: whmy    时间: 2010-5-12 22:32
未见明显异常。
作者: 无名小卒tt    时间: 2010-5-12 22:33
未见明显异常。mr吧
作者: 忆海思缘    时间: 2010-5-12 23:59
骨质未见异常
作者: zhanggenliang    时间: 2010-5-13 00:52
大多角骨密度增高,尺骨过长,应该考虑到尺骨撞击综合征
作者: liyf    时间: 2010-5-13 01:21
各位专家、教授下午好!没事!
作者: jinguoji    时间: 2010-5-15 02:58
未见明显异常。
作者: ct诊断高手    时间: 2010-5-15 06:39
未见明显异常。
作者: 857136786    时间: 2010-5-15 17:50
大多角骨密度增高,尺骨过长,应该考虑到尺骨撞击综合征,完善病史。
作者: fskxxsy    时间: 2010-5-16 00:10
我怎么看都感觉多角骨有问题,怎么大家都认为“未见异常”呢?难道是《皇帝的新衣》吗?哈哈哈哈哈!
考虑多角骨无菌性坏死可能。具体是大还是小多角骨,判断不了。




欢迎光临 医影在线 (http://bbs.radida.com/bbs/) Powered by Discuz! X3.2