医影在线

标题: CT26315:男性 73岁 头昏头痛 乏力。颅内占位 [打印本页]

作者: 王加美    时间: 2010-5-12 05:44
标题: CT26315:男性 73岁 头昏头痛 乏力。颅内占位
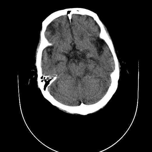
男性  73岁 头昏头痛 乏力。






[本贴已被 jiajie 于 2010-5-11 22:42:33 修改过]

作者: xiongneo    时间: 2010-5-12 05:52
右侧额叶脑梗死、脑动脉粥样硬化,建议dsa检查
作者: 王加美    时间: 2010-5-12 05:52
标题: 回复:颅内占位

























作者: 泪洒红尘    时间: 2010-5-12 07:51
考虑右枕顶叶脑膜瘤?
作者: 施明    时间: 2010-5-12 13:34
xiang  脑膜瘤
作者: yuhongjun    时间: 2010-5-12 14:06
转移瘤。
作者: 随光逐影    时间: 2010-5-12 16:30
1)考虑右侧枕顶叶脑转移瘤并肿瘤卒中。2)右侧额叶脑软化灶。
作者: 卜一    时间: 2010-5-12 16:43
1)考虑右侧枕顶叶脑转移瘤并肿瘤卒中。2)右侧额叶脑软化灶
支持!
作者: zxl51642    时间: 2010-5-12 18:35
右侧枕顶叶肿瘤卒中,恶性胶质瘤>转移瘤,右侧额叶脑软化灶
作者: ydx_74    时间: 2010-5-12 18:40
考虑右侧枕顶叶脑转移瘤并肿瘤卒中。
作者: shibing    时间: 2010-5-12 19:24
考虑右侧枕顶叶脑转移瘤并肿瘤卒中。
作者: 黑白光影    时间: 2010-5-12 21:52
考虑右侧枕顶叶脑转移瘤并肿瘤卒中。 支持
作者: 王加美    时间: 2010-5-13 22:13
脑膜瘤的几率有好大。
作者: chinanyd    时间: 2010-5-14 01:40
脑膜瘤并卒中
作者: LYB999    时间: 2010-5-14 02:14
平扫见等密度结节并较大范围水肿,内见出血.增强见有明显强化.与大脑镰及颅骨关系不甚密切.脑膜瘤可能性不大.恶性胶质瘤大于转移瘤




欢迎光临 医影在线 (http://bbs.radida.com/bbs/) Powered by Discuz! X3.2