


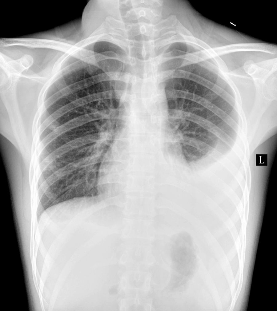
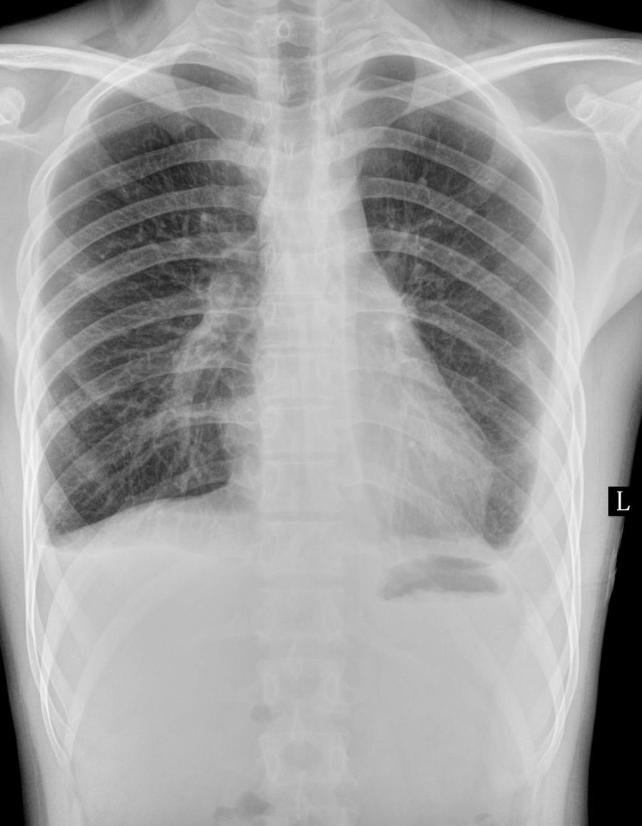
以下是引用一生何求在2010-5-12 9:35:00的发言:[br]两次片子对比可见左侧胸腔积液量有所减少,而右侧则增多;右肺小病灶考虑为一个比较稳定的病灶,有向纤维化或钙化方向发展的趋势 最终转变为陈旧性病变。[br]建议随诊复查。
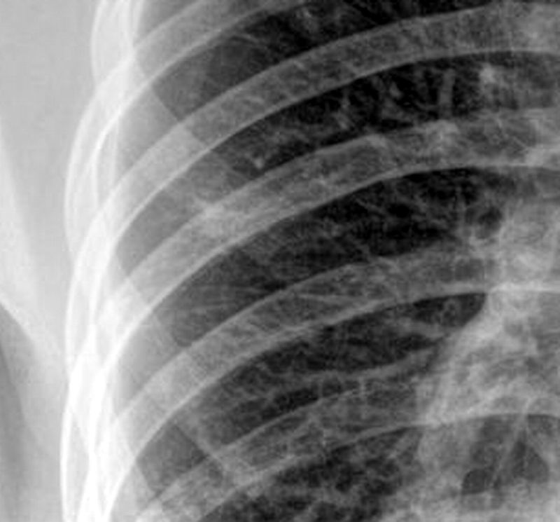
以下是引用zhanggenliang在2010-5-12 16:49:00的发言:[br]右肺的高密度影应该是中叶吧。请问治疗过程。是抽水呢?还是抗结核治疗,还是抗炎。如果抽水应该化验,因为化验鉴别明了,如果抗结核就不用说了。如果是考大家,只能说影像较支持结核
| 欢迎光临 医影在线 (http://bbs.radida.com/bbs/) | Powered by Discuz! X3.2 |