医影在线

标题: CT26465:肝内外胆管显著扩张! [打印本页]

作者: qian    时间: 2010-5-18 19:57
标题: CT26465:肝内外胆管显著扩张!
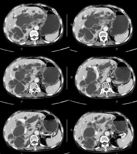
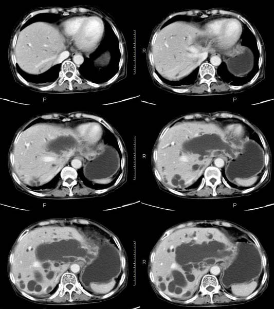
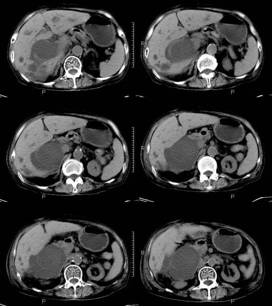
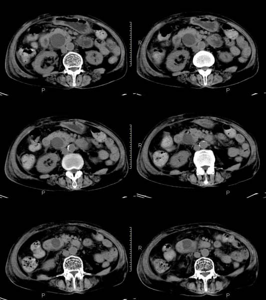
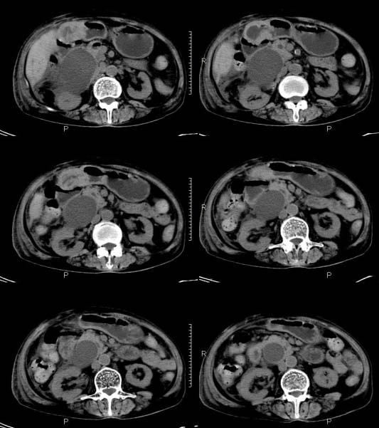
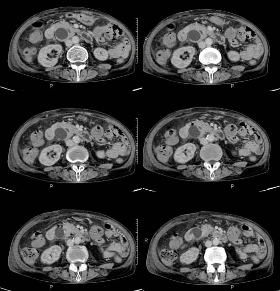
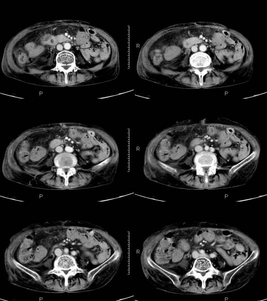
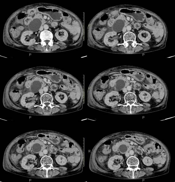
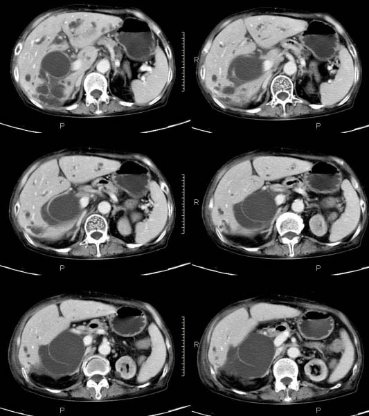
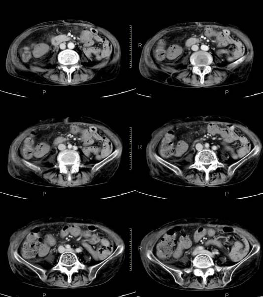
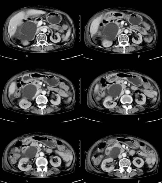
女,71岁,腹痛、腹胀、黄疸20余天,b超示肝内外胆管高度扩张内伴絮状物质(未提示梗阻部位或结石影),经抗炎解痉治疗后,肝功能有所好转,但胆道梗阻状态并未减轻。患者曾于1970年代做过胆囊切除术,1997年因胰腺炎而手术;且患者有糖尿病10余年。ct图片传了静脉期,未传动脉期了,最后一序列为3.2mm薄扫,请各位同仁仔细看看,确定一下胆管梗阻的部位,是炎性梗阻还是肿瘤性梗阻,是否与胰腺炎有关系,扩张胆总管中段前缘是否是胰管。请高手们最好用图示来指出梗阻部位。
















[本贴已被 jiajie 于 2010-5-18 18:22:59 修改过]

作者: zsl6918    时间: 2010-5-18 20:00
先天性胆管囊肿
作者: ybing    时间: 2010-5-18 20:25
壶腹癌
作者: lyb999    时间: 2010-5-18 21:25
扩张的胆管直达胰头,但胰头增大又不明显,且无异常密度影。考虑壶腹部占位。
作者: 施明    时间: 2010-5-18 21:31
支持2楼   非梗阻病变    胰管无明显扩张
作者: qian    时间: 2010-5-18 21:52
请大家看看扩张的胆总管内见一弧线形间隔,怎样解释?
作者: tao772    时间: 2010-5-18 22:19
先天性胆管囊肿
作者: 无名小卒tt    时间: 2010-5-18 22:20
什么手术啊 只切胆囊 做没做吻合 怎么感觉像肠管啊
作者: 卜一    时间: 2010-5-18 23:25
先天性胆总管囊肿伴肝内外胆管扩张!
作者: 随光逐影    时间: 2010-5-18 23:49
肝内外胆管显著扩张,考虑先天性胆管囊肿(ⅳ型)。
作者: LIAOQIANG    时间: 2010-5-19 00:01
肝内胆管远侧、近侧不比例扩张,以近侧为明显。胆总管扩张。考虑先天性胆管囊肿(ⅳ型)。
作者: liyf    时间: 2010-5-19 01:15
先天性胆管扩张;未见明显肿瘤病变。
作者: 宇宙CT    时间: 2010-5-19 01:21
肝内外胆管显著扩张,考虑先天性胆管囊肿(ⅳ型)。
作者: 沉默是金    时间: 2010-5-19 01:36
先天性胆管囊肿
作者: zxl51642    时间: 2010-5-19 08:11
先天性胆管囊肿
作者: ct诊断高手    时间: 2010-5-19 08:20
支持大家




欢迎光临 医影在线 (http://bbs.radida.com/bbs/) Powered by Discuz! X3.2