医影在线
标题: PED3252:脑室增大。 [打印本页]
作者: ayi 时间: 2010-5-19 08:00
标题: PED3252:脑室增大。
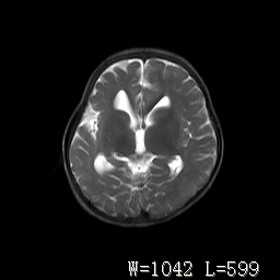
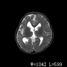
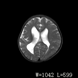
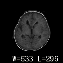
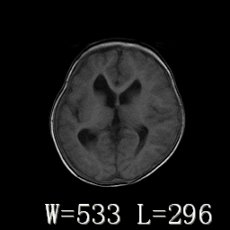
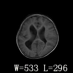
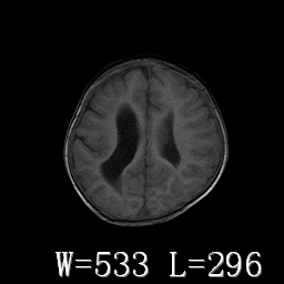
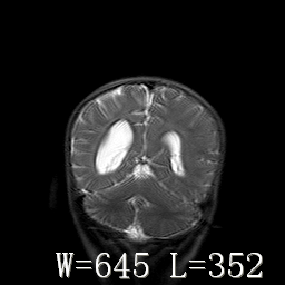
女,3岁,3岁不会说话,阵发性抽搐、自伤。














[本贴已被 jiajie 于 2010-5-19 6:26:02 修改过]
[本贴已被 ayi 于 2010-5-22 1:48:45 修改过]
作者: pujunzhi 时间: 2010-5-19 15:35
标题: ped3252:脑室增大。
考虑为梗阻性脑积水(中脑导水管狭窄)。
[本贴已被 pujunzhi 于 2010-5-19 7:36:19 修改过]
作者: 随光逐影 时间: 2010-5-19 16:06
脑积水?脑发育不良?
作者: zxl51642 时间: 2010-5-19 23:31
标题: 回复:ped3252:脑室增大。
[quote]以下是引用pujunzhi在2010-5-19 7:35:00的发言:[br]考虑为梗阻性脑积水(中脑导水管狭窄
作者: chinanyd 时间: 2010-5-20 03:18
支持三楼
作者: 联众之王 时间: 2010-5-20 03:58
侧脑室不规则,前后角尖角样,脑白质较少:考虑灰质发育不良可能
作者: 吴医师 时间: 2010-5-20 05:22
向大家学习
作者: 拾荒者 时间: 2010-5-20 06:23
倒数第3附图不是这个病人的吧!考虑脑白质发育不良可能。
作者: 卜一 时间: 2010-5-20 11:48
右侧额叶发育不良!
作者: 施明 时间: 2010-5-20 13:08
图片杂了吧
作者: 同 时间: 2010-5-22 23:48
右侧额叶发育不良。
作者: 37度 时间: 2010-5-23 03:40
右侧额叶发育不良
作者: yulanhua 时间: 2010-5-24 04:52
考虑,脑发育不良,胼胝体发育不全?(图片不全,矢状位?)
作者: chinanyd 时间: 2010-5-26 00:18
脑积水
| 欢迎光临 医影在线 (http://bbs.radida.com/bbs/) |
Powered by Discuz! X3.2 |