医影在线

标题: CT26504:男,45岁,头痛伴呕吐两星期。 [打印本页]

作者: lgl2007    时间: 2010-5-20 09:04
标题: CT26504:男,45岁,头痛伴呕吐两星期。







[本贴已被 jiajie 于 2010-5-20 18:17:27 修改过]

作者: 卜一    时间: 2010-5-20 11:22
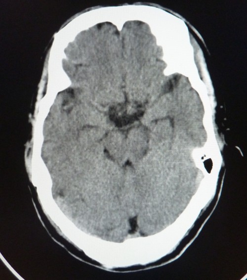
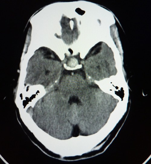
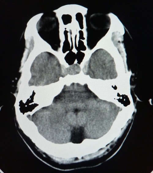
垂体瘤伴出血可能!建议mri!
作者: 施明    时间: 2010-5-20 13:01
支持卜一
作者: hljdqgyc    时间: 2010-5-20 14:01
标题: 回复:男,45岁,头痛伴呕吐两星期。
支持一楼
作者: ziyoufeixiang    时间: 2010-5-20 14:23
支持垂体瘤、建议mrt
作者: 学者~『风    时间: 2010-5-20 15:24
垂体大腺瘤
作者: DDN    时间: 2010-5-20 15:35
垂体瘤伴出血可能!建议mri!支持!
作者: 随光逐影    时间: 2010-5-20 15:39
考虑垂体瘤伴出血;建议行mri检查。
作者: 听海观潮20    时间: 2010-5-20 16:45
支持卜一
作者: wansheng    时间: 2010-5-20 16:58
垂体瘤伴出血可能!建议mri,支持!
作者: w_jianhua    时间: 2010-5-20 17:13
垂体瘤伴出血可能!建议mri,支持!
作者: 吴医师    时间: 2010-5-20 17:17
垂体瘤伴出血可能!建议mri!支持!
作者: zxl51642    时间: 2010-5-20 17:23
考虑垂体瘤、a瘤、鞍区脑膜瘤,建议mri
作者: dhlyq    时间: 2010-5-20 19:33
垂体瘤伴出血可能!建议mri,支持!
作者: 道哥    时间: 2010-5-20 20:04
垂体增大,密度明显增高,考虑垂体瘤卒中,建议mr
作者: yuhongjun    时间: 2010-5-20 21:28
垂体增大,密度明显增高,考虑垂体瘤卒中,建议mr  

支持。
作者: tao772    时间: 2010-5-20 22:03
垂体瘤伴出血可能!建议mri!同意
作者: xwm9909    时间: 2010-5-20 22:08
鞍内占位性病变,考虑:垂体瘤,建议做mri。
作者: guojiayong    时间: 2010-5-20 22:42
建议mri扫描
作者: 无名小卒tt    时间: 2010-5-20 23:15
垂体瘤伴出血可能!建议mri,支持!
作者: 拂晓    时间: 2010-5-20 23:16
支持一楼意见。
作者: 流星1234    时间: 2010-5-21 00:44
垂体瘤伴出血可能!建议mri!
作者: sunbin    时间: 2010-5-21 00:58
鞍内可见高密度类圆形影,鞍背骨质吸收,支持垂体瘤伴出血,建议mri检查。
作者: shuiyuan    时间: 2010-5-21 01:18
支持垂体瘤、建议mrt
作者: ZHANGZHONGSHOU    时间: 2010-5-21 03:18
标题: 回复:ct26504:男,45岁,头痛伴呕吐两星期。
以下是引用卜一在2010-5-20 3:22:00的发言:[br]垂体瘤伴出血可能!建议mri!

作者: 善解人衣    时间: 2010-5-21 06:40
支持垂体瘤伴出血可能,建议mri。




欢迎光临 医影在线 (http://bbs.radida.com/bbs/) Powered by Discuz! X3.2