


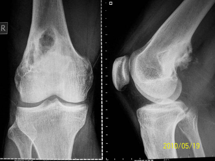
以下是引用随光逐影在2010-5-21 17:25:00的发言:[br]病例1:右胫骨下段非骨化性纤维瘤。[br]病例2:右股骨下段软骨黏液样纤维瘤?非骨化性纤维瘤?
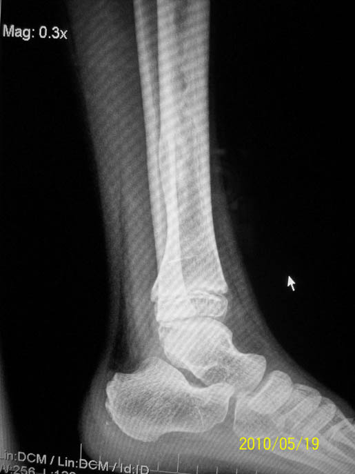
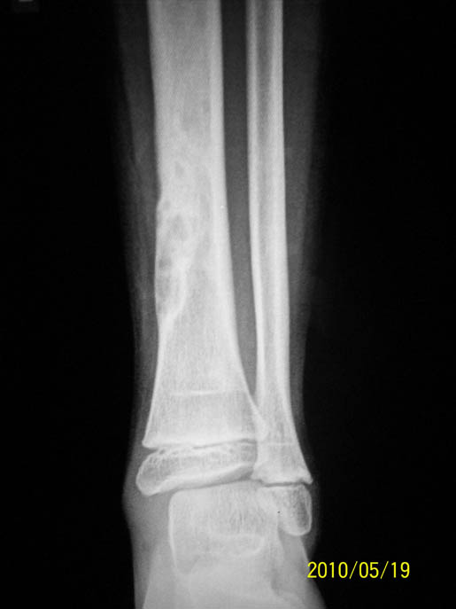
以下是引用zhangzhongshou在2010-5-21 7:33:00的发言:[br]1\\胫骨非骨化性纤维瘤。[br]2、不典型:骨软骨瘤?建议ct/mri进一步检查。
以下是引用zhangzhongshou在2010-5-21 7:33:00的发言:[br]1\\胫骨非骨化性纤维瘤。[br]2、不典型:骨软骨瘤?建议ct/mri进一步检查。
以下是引用流星1234在2010-5-21 14:17:00的发言:[br]1.胫骨非骨化性纤维瘤。2.骨软骨瘤。
以下是引用随光逐影在2010-5-21 17:25:00的发言:[br]病例1:右胫骨下段非骨化性纤维瘤。[br]病例2:右股骨下段软骨黏液样纤维瘤?非骨化性纤维瘤?
| 欢迎光临 医影在线 (http://bbs.radida.com/bbs/) | Powered by Discuz! X3.2 |