医影在线
标题: X7399:少见病例 [打印本页]
作者: 自贡刘剑 时间: 2010-5-24 10:58
标题: X7399:少见病例
[img][/img]

[本贴已被 jiajie 于 2010-5-24 6:27:34 修改过]
作者: 自贡刘剑 时间: 2010-5-24 11:01
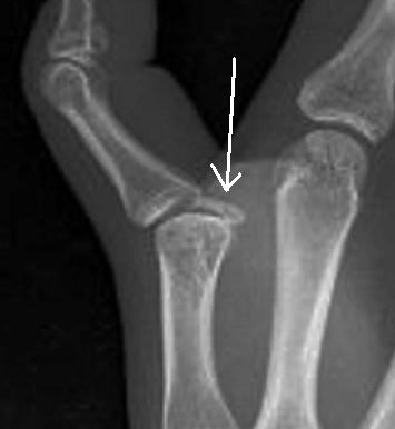
女性,25岁,半小时前坐公交车时手按压后第一掌指关节屈曲受限。
作者: yuhongjun 时间: 2010-5-24 14:01
第一掌指关节半脱位,有否骨折不好确定。
作者: 随光逐影 时间: 2010-5-24 15:32
右侧第一掌指关节撕脱性骨折并半脱位?
作者: DDN 时间: 2010-5-24 16:12
右侧第一掌骨远端撕脱性骨折伴掌指关节半脱位。 支持!
作者: 医盲 时间: 2010-5-24 17:33
支持右第一掌骨远端撕脱性骨折伴掌指关节半脱位!
作者: 吴医师 时间: 2010-5-24 17:52
右侧第一掌指关节半脱位。骨折位置不好定
作者: luoxinjun 时间: 2010-5-24 17:57
右侧第一掌骨远端撕脱性骨折伴掌指关节半脱位。 支持!
作者: zxl51642 时间: 2010-5-24 18:44
标题: 1
右侧第一掌骨远端撕脱性骨折伴掌指关节半脱位。 支持!
[本贴已被 zxl51642 于 2010-5-24 10:45:32 修改过]
作者: 自贡刘剑 时间: 2010-5-24 20:11
图像质量不好,麻烦哪位老师处理一下。
不是撕脱性骨折。
作者: 黑白光影 时间: 2010-5-24 20:39
标题: 回复:x7399:少见病例

有骨折
作者: 37度 时间: 2010-5-24 21:53
永存骨骺骨折并掌指关节脱位。
作者: zhanggenliang 时间: 2010-5-24 22:04
黑边光影老师处理的真好。有骨折,处理后真清晰
作者: linyiming 时间: 2010-5-24 22:49
右侧第一掌指关节撕脱性骨折并半脱位?
作者: 拂晓 时间: 2010-5-24 23:56
永存骨骺骨折并掌指关节脱位。
作者: 破釜沉舟 时间: 2010-5-25 00:32
我认为是籽骨嵌入第一掌指关节。
作者: fanxinyu 时间: 2010-5-25 03:18
永存骨骺骨折并掌指关节脱位。
作者: 拾荒者 时间: 2010-5-25 04:20
标题: 回复:x7399:少见病例
以下是引用37度在2010-5-24 13:53:00的发言:[br]永存骨骺骨折并掌指关节半脱位。
作者: hexue 时间: 2010-5-25 05:58
右侧第一掌骨远端撕脱性骨折伴掌指关节半脱位。 支持!
作者: 马铃薯 时间: 2010-5-25 06:06
掌指关节半脱位。
作者: ZHANGZHONGSHOU 时间: 2010-5-25 06:13
标题: 回复:x7399:少见病例
以下是引用37度在2010-5-24 13:53:00的发言:[br]永存骨骺骨折并掌指关节脱位。
作者: 自贡刘剑 时间: 2010-5-25 06:54
正解:14楼,呵呵!那两粒是籽骨,其中一粒变异如薄饼样,按压伤后龛入掌指关节间隙。患者曾有类似发作史,几日后自行缓解。
主要是图像太小了,谢谢大家。
作者: 自贡刘剑 时间: 2010-5-25 07:09
哦,16楼才是正解。
作者: xiongneo 时间: 2010-5-25 07:52
右侧第一掌指关节撕脱性骨折并半脱位?
作者: yongbest 时间: 2010-5-25 18:46
标题: 回复:x7399:少见病例
以下是引用破釜沉舟在2010-5-24 16:32:00的发言:[br]我认为是籽骨嵌入第一掌指关节。
作者: dyqct 时间: 2010-5-25 23:18
学习了。
作者: jinguoji 时间: 2010-5-26 21:36
右侧第一掌骨远端撕脱性骨折伴掌指关节半脱位。
| 欢迎光临 医影在线 (http://bbs.radida.com/bbs/) |
Powered by Discuz! X3.2 |