医影在线

标题: CT26597:右肾占位 [打印本页]

作者: 心愿    时间: 2010-5-25 01:34
标题: CT26597:右肾占位
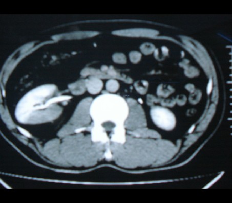
男性,45岁,发现血尿一周。



































[本贴已被 jiajie 于 2010-5-24 18:18:04 修改过]

作者: 随光逐影    时间: 2010-5-25 01:58
右肾占位,考虑肿瘤性病变(肾癌可能)。
作者: 听海观潮20    时间: 2010-5-25 03:00
右肾上极巨大肿块,增强后肿块中度不均匀强化,内见大片无强化液化坏死区,肿块突破肾包膜侵犯肾后筋膜,与邻近腰大肌分界不清,右肾上腺未见明确显示,右肾静脉见充盈缺损,加上本患者有血尿,基本可以肯定为肾恶性肿瘤侵犯肾周伴肾静脉癌栓,此肿瘤为肾癌可能性大。
作者: 李复军    时间: 2010-5-25 03:12
标题: 回复:ct26597:右肾占位
以下是引用随光逐影在2010-5-24 17:58:00的发言:[br]右肾占位,考虑肿瘤性病变(肾癌可能)。

作者: 学者~『风    时间: 2010-5-25 03:28
右肾癌可能
作者: panyishengct    时间: 2010-5-25 03:51
以下是引用随光逐影在2010-5-24 17:58:00的发言:
右肾占位,考虑肿瘤性病变(肾癌可能)。
作者: 同    时间: 2010-5-25 04:45
考虑右肾癌可能性大。
作者: 卜一    时间: 2010-5-25 04:46
以下是引用随光逐影在2010-5-24 17:58:00的发言:
右肾占位,考虑肿瘤性病变(肾癌可能)。
支持!
作者: 施明    时间: 2010-5-25 05:06
总的感觉不是肾癌 但又说不出别的来
作者: zjfhot    时间: 2010-5-25 06:23
支持了
作者: zsl6918    时间: 2010-5-25 06:28
左肾恶性占位,侵及动脉分支,癌可能性大
作者: yuhongjun    时间: 2010-5-25 18:02
右肾癌可能。
作者: LIAOQIANG    时间: 2010-5-25 21:58
右肾上极占位(肾癌?)。
作者: 吴医师    时间: 2010-6-4 08:31
右肾癌可能。
作者: 汪涛同志    时间: 2010-6-4 10:06
考虑右肾梗塞!
作者: zxl51642    时间: 2010-6-4 23:25
右肾癌可能




欢迎光临 医影在线 (http://bbs.radida.com/bbs/) Powered by Discuz! X3.2