医影在线

标题: CT26673:肝脏CT平扫加增强,请会诊! [打印本页]

作者: 林建春    时间: 2010-5-27 19:24
标题: CT26673:肝脏CT平扫加增强,请会诊!
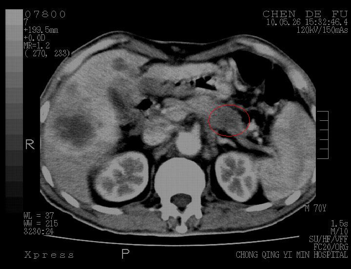
性别 男 70岁  因上腹部不适半月余,全身皮肤黄染来院检查。




















[本贴已被 jiajie 于 2010-5-27 23:12:31 修改过]

作者: 卜一    时间: 2010-5-27 23:35
肝癌并肝 脾多发转移!
作者: dhlyq    时间: 2010-5-27 23:41
转移性肝ca与弥散性肝ca待鉴别。建议结合病史
作者: 随光逐影    时间: 2010-5-27 23:51
考虑胰腺癌并肝脏多发性转移。
作者: 影像之路    时间: 2010-5-27 23:52
肝右叶肝癌并肝内多发转移
作者: lyb999    时间: 2010-5-27 23:58
肝内多发结节状低密度影,边缘欠清,增强表现为快进快出,符合肝癌表现,需与转移鉴别。脾内不均匀强化不一定是转移。另有胆囊炎、左肾结石
作者: 心路寻觅    时间: 2010-5-27 23:58
支持4楼老师!
作者: 光影★小胖    时间: 2010-5-28 00:07
标题: 回复:肝脏ct平扫加增强,请会诊!
支持4楼意见。


作者: 拂晓    时间: 2010-5-28 00:39
支持4楼老师意见。
作者: shmily-boy    时间: 2010-5-28 02:24
考虑胰腺癌并肝脏多发性转移。
作者: yuhongjun    时间: 2010-5-28 14:05
考虑胰腺癌并肝脏多发性转移。
作者: zsl6918    时间: 2010-5-28 14:30
符合胰腺癌肝脏转移




欢迎光临 医影在线 (http://bbs.radida.com/bbs/) Powered by Discuz! X3.2