医影在线

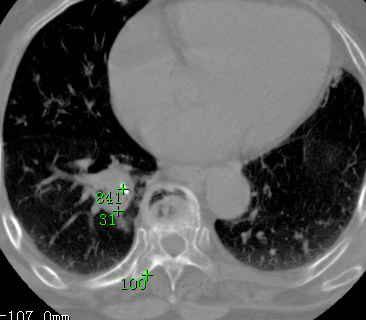
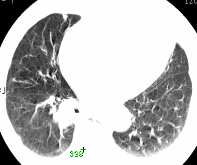
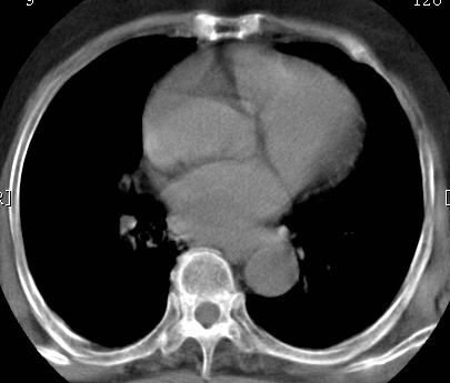
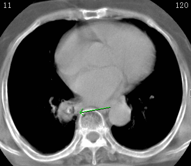
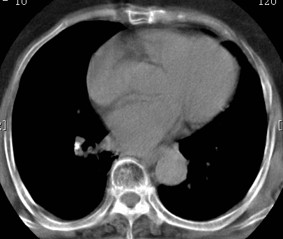
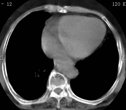
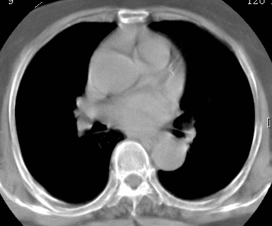
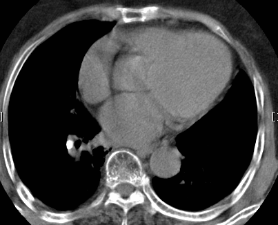
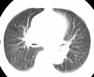
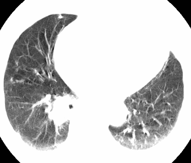
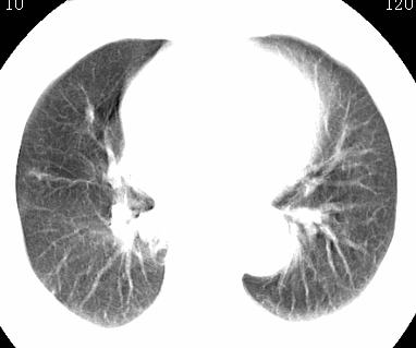
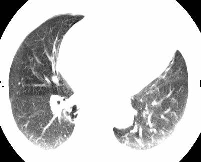
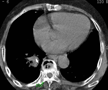
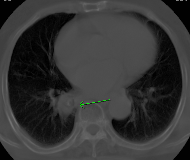
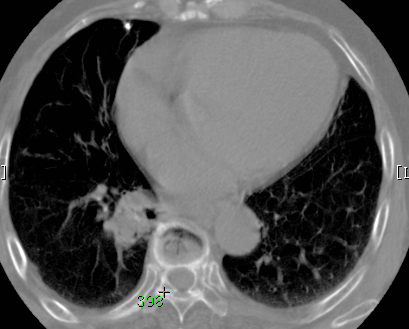
标题: CT26680:肺部右下肺静脉干结节的界定 [打印本页]

作者: hurb    时间: 2010-5-28 01:54
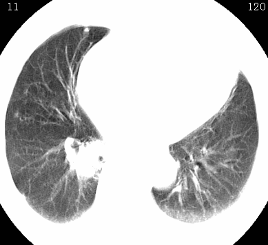
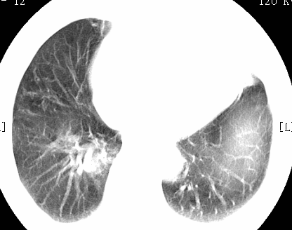
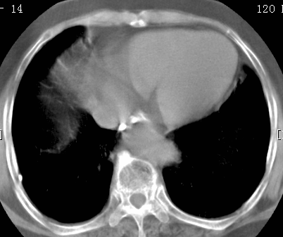
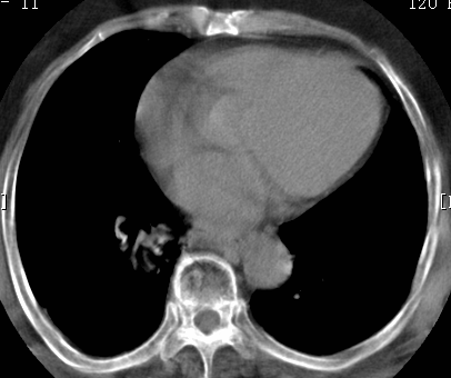
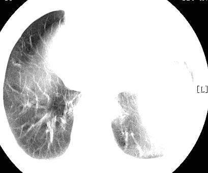
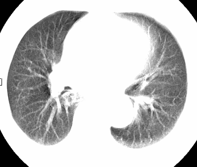
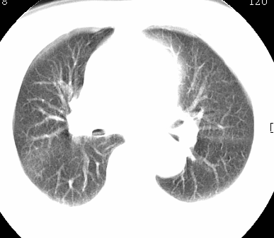
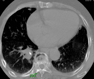
标题: CT26680:肺部右下肺静脉干结节的界定
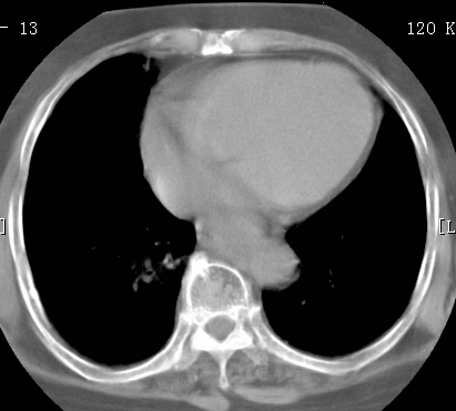
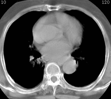
经追查说有支扩咯血病史,但不确定










































[本贴已被 jiajie 于 2010-5-27 23:16:02 修改过]

作者: lirenxiong    时间: 2010-5-28 02:01
增强适应症
作者: ZHANGZHONGSHOU    时间: 2010-5-28 02:32
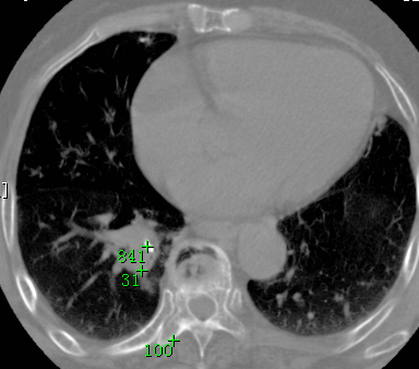
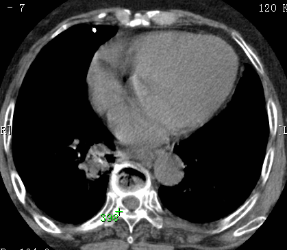
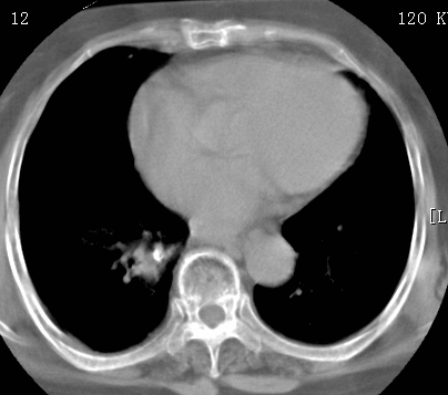
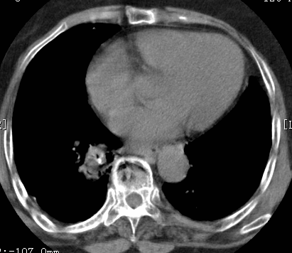
考虑1、周围型肺癌,2肺静脉畸形,前者可能大,建议增强检查。
作者: 长聿斤    时间: 2010-5-28 02:53
不除外淋巴结肿大。
作者: 卜一    时间: 2010-5-28 03:47
考虑1、周围型肺癌,2肺静脉畸形,前者可能大,建议增强检查。支持!
作者: zxl51642    时间: 2010-5-28 03:53
增强适应症
作者: 随光逐影    时间: 2010-5-28 20:54
不排除右肺下叶周围型肺癌可能。
作者: zsl6918    时间: 2010-5-28 21:18
中心型肺癌,纤支镜可帮助明确。




欢迎光临 医影在线 (http://bbs.radida.com/bbs/) Powered by Discuz! X3.2