医影在线

标题: CT26700:肝癌。 [打印本页]

作者: 心愿    时间: 2010-5-28 16:05
标题: CT26700:肝癌。
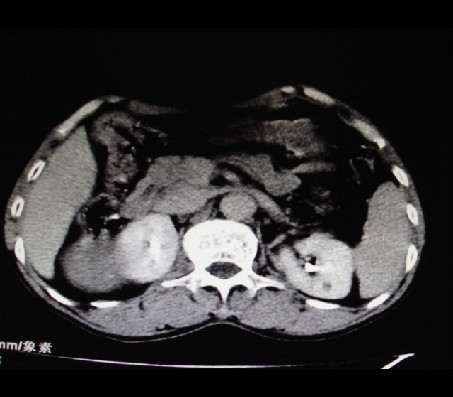
男性,68岁。b超发现肝右叶占位,afp27(正常小于20),+c后三期如下:




























[本贴已被 jiajie 于 2010-5-28 18:56:14 修改过]

作者: pinkwq    时间: 2010-5-28 16:39
快进快出,典型肝癌表现,可见假包膜延迟强化
作者: 心路寻觅    时间: 2010-5-28 18:15
1、支持肝右叶巨块型肝癌   2、左肾小囊肿。
作者: dyqct    时间: 2010-5-28 18:56
表现典型,可能为纤维板型。介入治疗效果不错,尔后可以再做射频、亚氦刀或手术,并结合生物治疗效果更佳。
作者: 晨星剑    时间: 2010-5-28 19:02
标题: 回复:肝癌。
以下是引用心路寻觅在2010-5-28 10:15:00的发言:[br]1、支持肝右叶巨块型肝癌   2、左肾小囊肿。

作者: zxl51642    时间: 2010-5-28 19:19
标题: 回复:肝癌。
以下是引用pinkwq在2010-5-28 8:39:00的发言:[br]快进快出,典型肝癌表现,可见假包膜延迟强化

作者: 施明    时间: 2010-5-28 19:34
支持
作者: scdlc2008    时间: 2010-5-28 20:55
支持
作者: zsl6918    时间: 2010-5-28 21:16
典型的原发性肝癌,部分外生。
作者: 随光逐影    时间: 2010-5-29 06:12
1)肝右叶巨块型肝癌(部分外生)。2)左肾小囊肿。
作者: 吴医师    时间: 2010-6-4 08:28
典型的原发性肝癌




欢迎光临 医影在线 (http://bbs.radida.com/bbs/) Powered by Discuz! X3.2