医影在线

标题: CT26769:男,58岁,腹胀、腹部不适一年余 [打印本页]

作者: sdzyy    时间: 2010-5-31 21:16
标题: CT26769:男,58岁,腹胀、腹部不适一年余
























[本贴已被 jiajie 于 2010-5-31 20:18:23 修改过]

作者: lyb999    时间: 2010-6-1 00:30
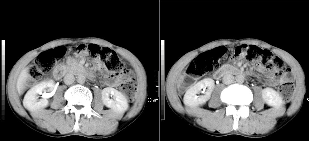
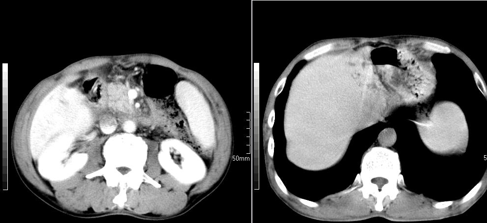
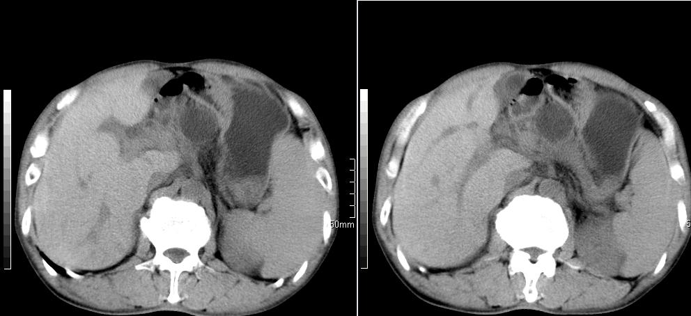
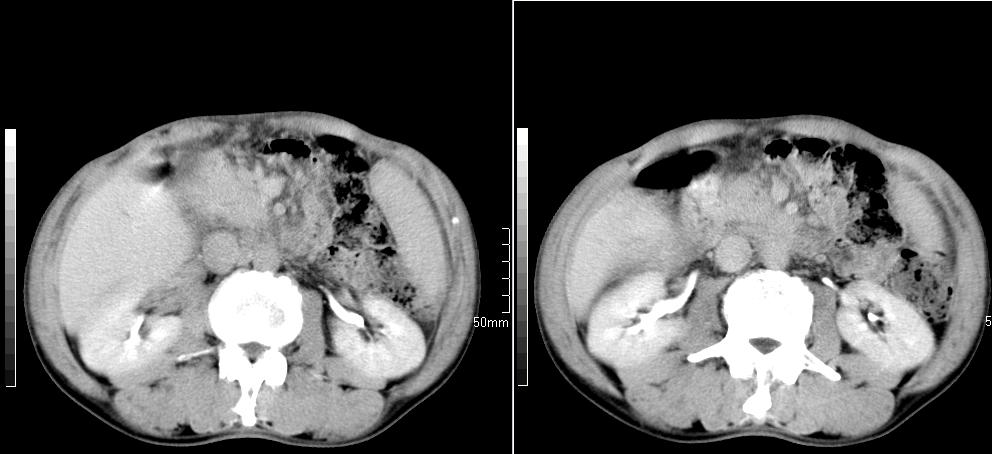
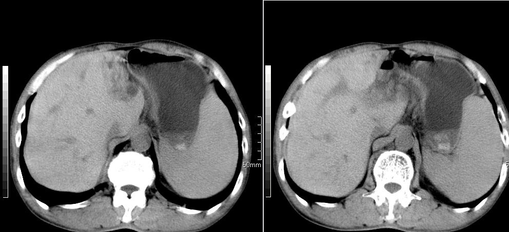
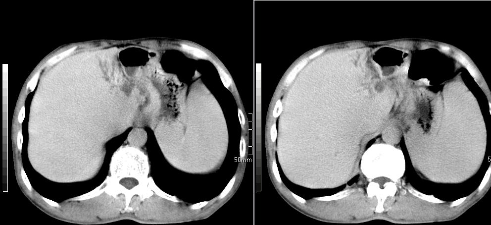
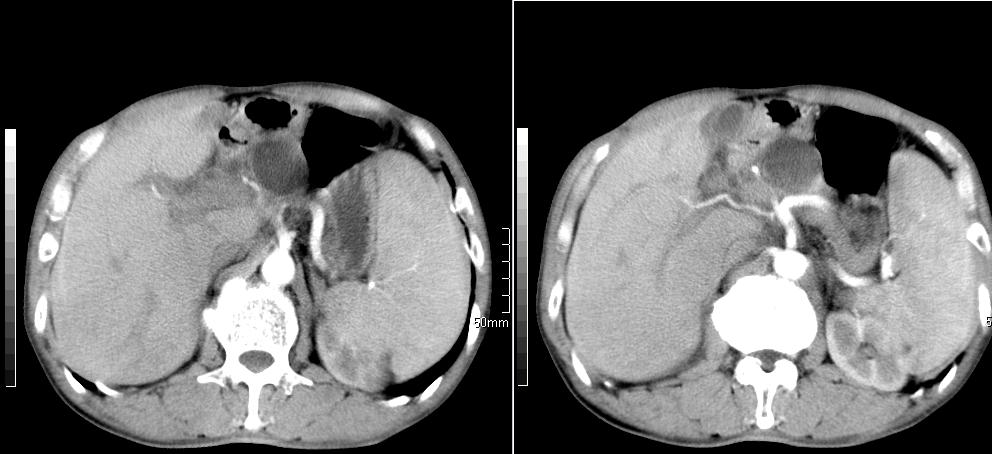
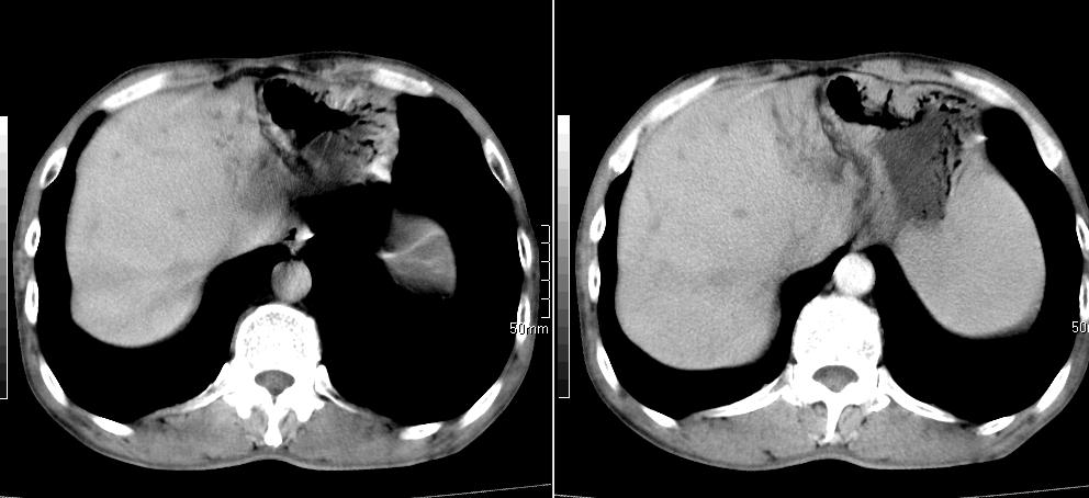
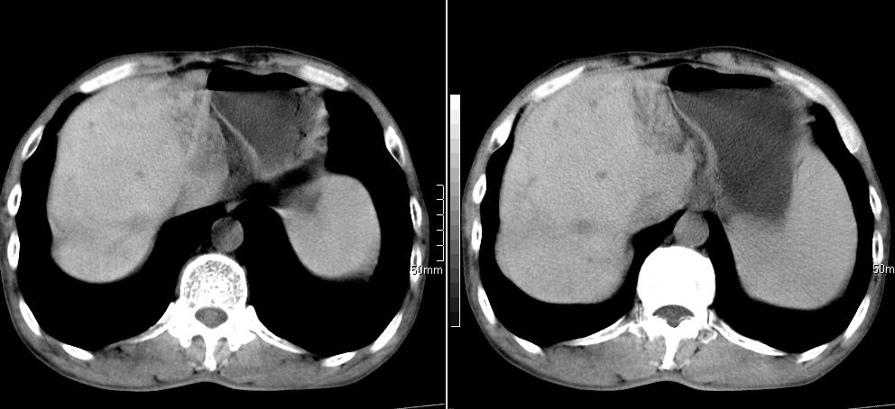
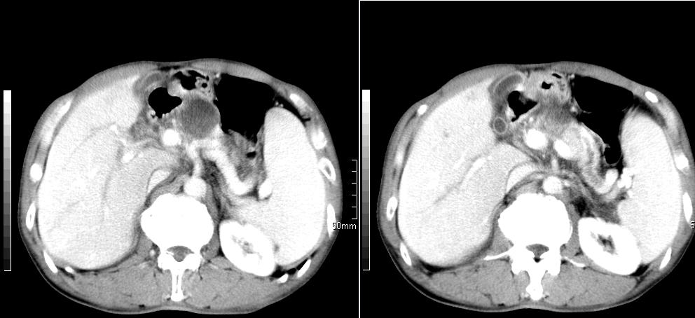
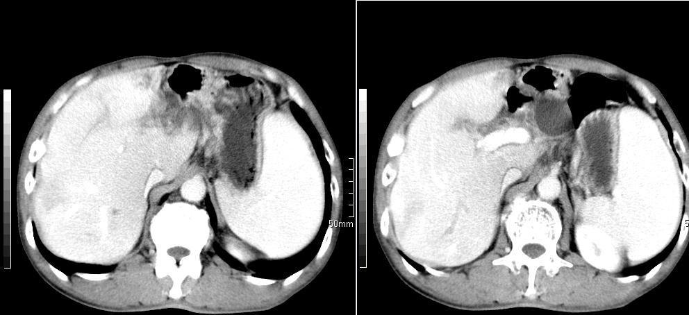
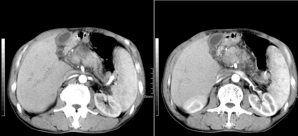
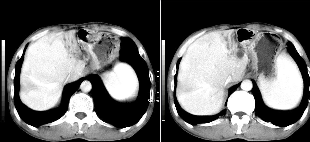
肝右叶后段见小片状略低密度影,边缘不清,轻度强化,内见小血管影通过同,延迟期为等密度,考虑局灶性脂肪浸润。需与血管瘤鉴别。另有胆囊炎、脾大。
作者: sdzyy    时间: 2010-6-1 00:48
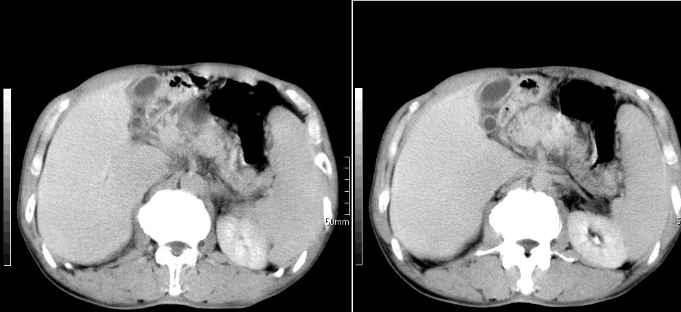
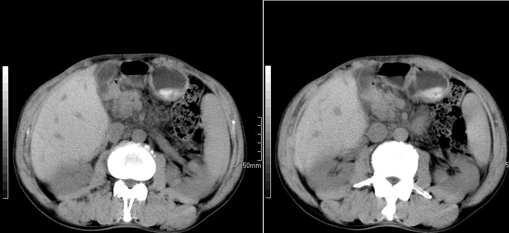
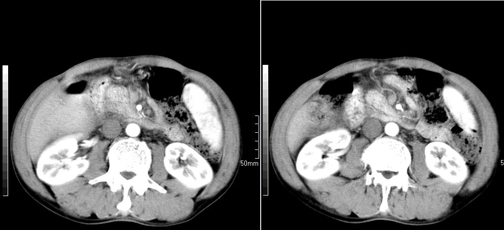
胰头部是否正常。
作者: zxl51642    时间: 2010-6-1 00:52
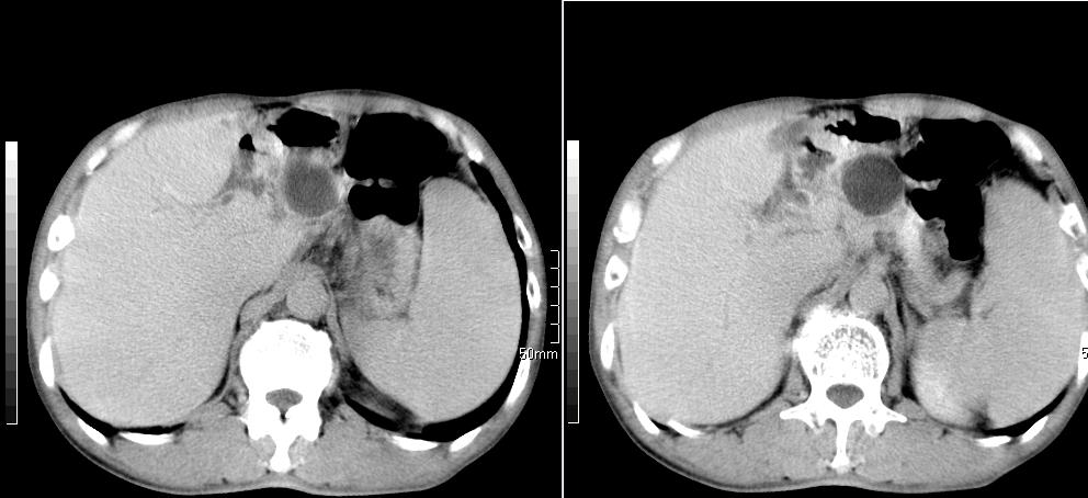
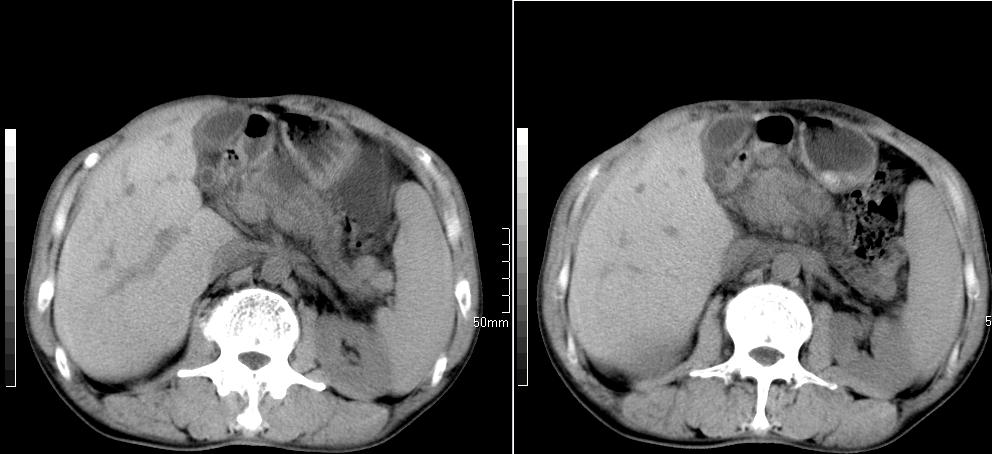
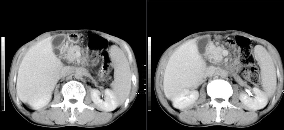
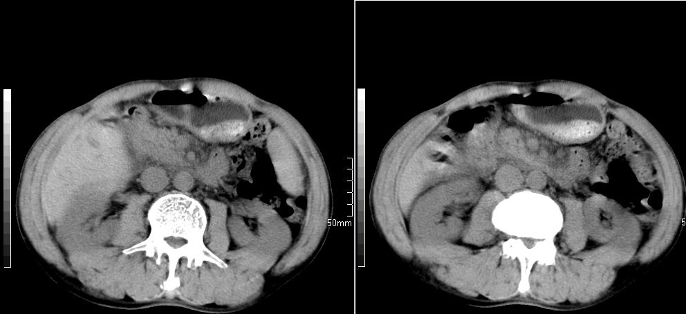
肠系膜脂膜炎,胆囊炎,脾大。建议结合临床。鉴别:慢性胰腺炎并假囊肿形成。
作者: 卜一    时间: 2010-6-1 02:56
1 慢性胰腺炎并假囊肿形成。2 慢性胆囊炎并累及肝边缘!
作者: 随光逐影    时间: 2010-6-1 03:10
1)考虑慢性胰腺炎并假性囊肿形成。2) 慢性胆囊炎。3)肝内胆管扩张。
作者: pujunzhi    时间: 2010-6-1 03:42
支持1 慢性胰腺炎并假囊肿形成。2 慢性胆囊炎。
作者: xiongneo    时间: 2010-6-1 05:32
1 慢性胰腺炎并假囊肿形成。2 慢性胆囊炎并累及肝边缘!  
   

卜一说
作者: 长聿斤    时间: 2010-6-1 05:50
1肝内胆管扩张,性质待定,2慢性胰腺炎胰管扩张,胰腺颈部假囊肿,3肝左叶低密度为小囊肿,4胆囊炎。
作者: yuhongjun    时间: 2010-6-1 13:08
支持1 慢性胰腺炎并假囊肿形成。2 慢性胆囊炎。
作者: dhlyq    时间: 2010-6-1 15:20
支持1 慢性胰腺炎并假囊肿形成。2 慢性胆囊炎。
作者: LIAOQIANG    时间: 2010-6-3 22:08
1)考虑慢性胰腺炎并假性囊肿形成。2)肝内胆管稍扩张。




欢迎光临 医影在线 (http://bbs.radida.com/bbs/) Powered by Discuz! X3.2