医影在线
标题: CT26782:女,69岁,颈部占位,3天后公布病理结果。 [打印本页]
作者: heshiyd 时间: 2010-6-1 08:32
标题: CT26782:女,69岁,颈部占位,3天后公布病理结果。
(结果公布:http://www.radida.com/bbs/forum.php?mod=viewthread&tid=66944)
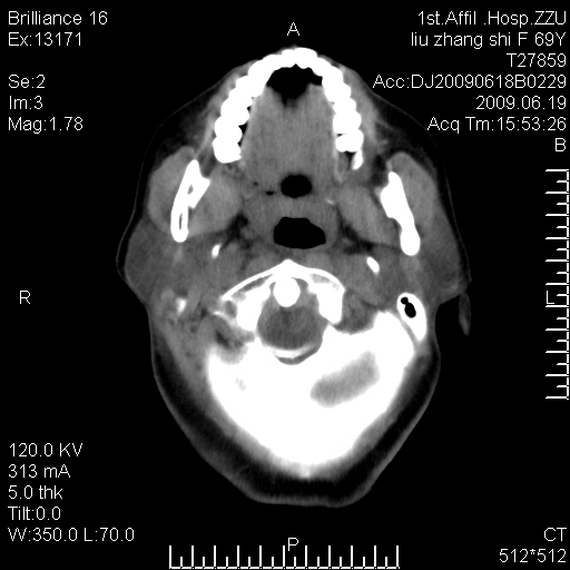
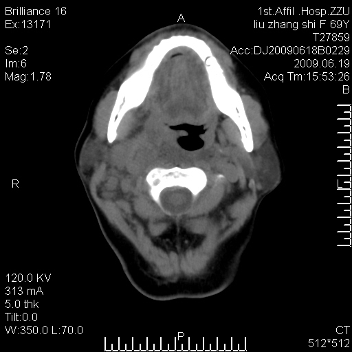
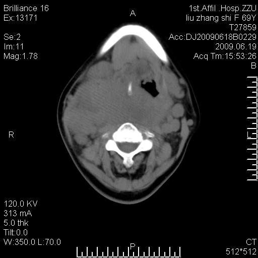
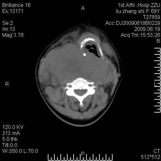
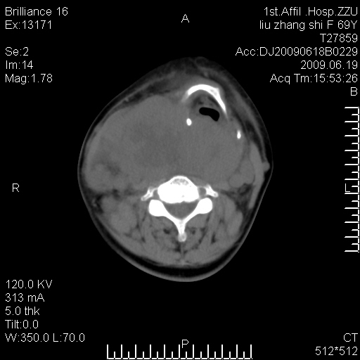
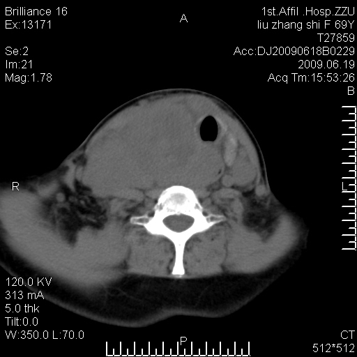
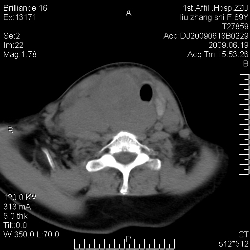
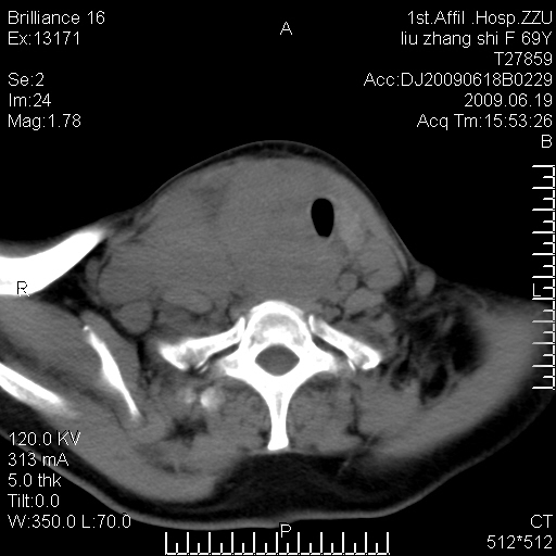
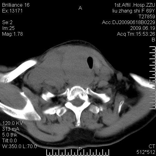
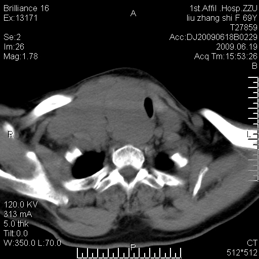
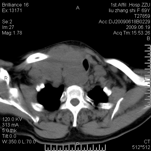
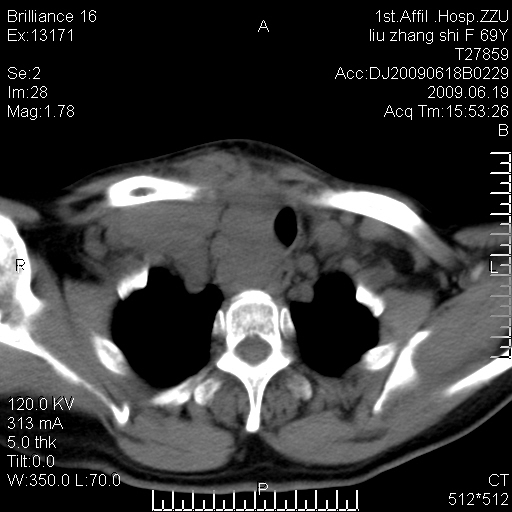
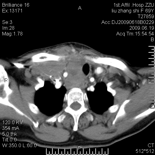
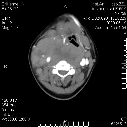
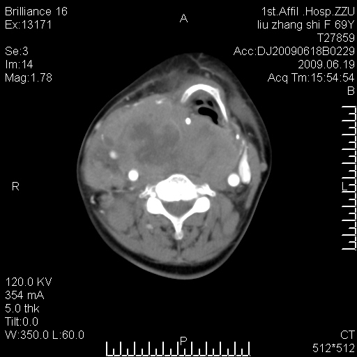
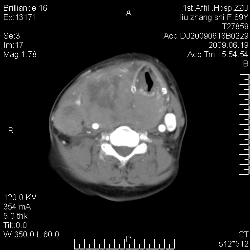
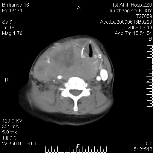
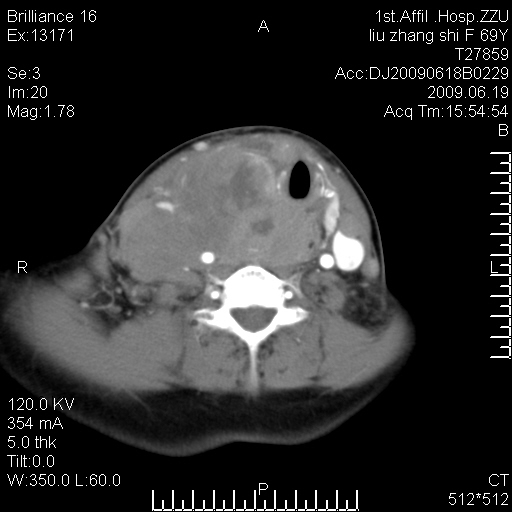
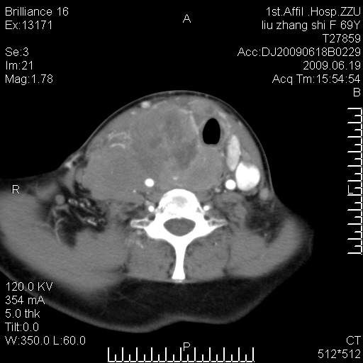
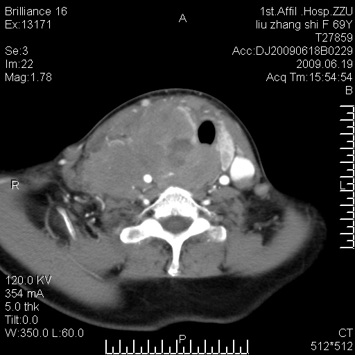
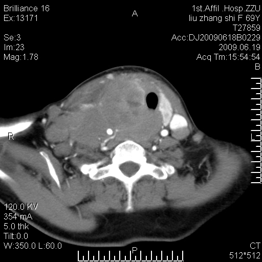
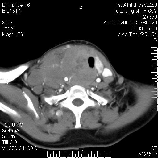
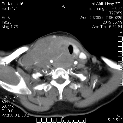
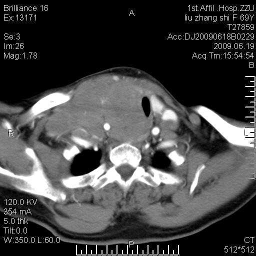
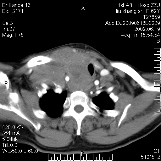
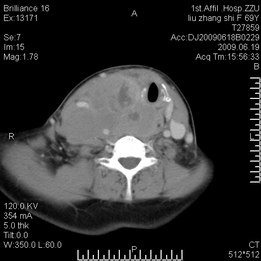
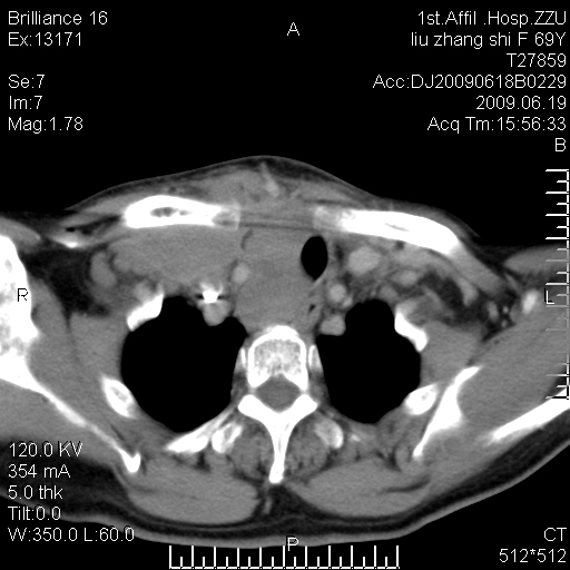
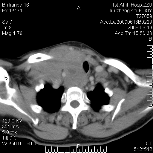
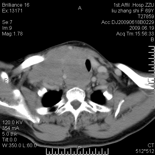
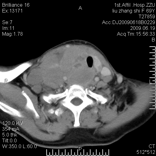
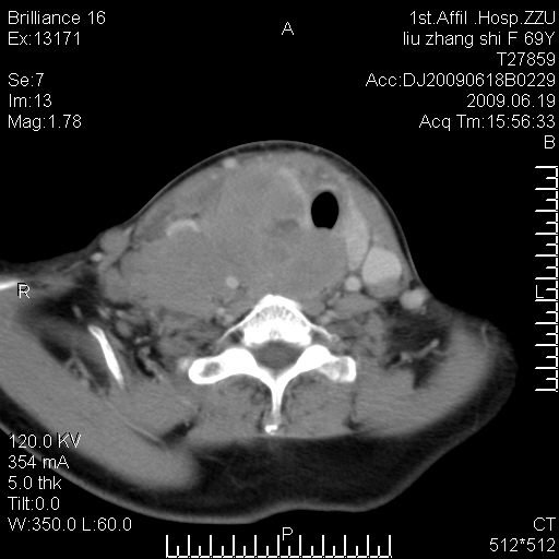
【病理证实系列】女,69岁,颈部占位,有病理结果,3天后公布。(由于病例时间较久,临床资料不全,请网友见谅)本系列将有几百种常见、少见及罕见病例,均经病理证实。病例资料来自郑州大学第一附属医院。与网友共享,本人有空就发。





























[本贴已被 heshiyd 于 2010-6-1 0:37:46 修改过]
[本贴已被 jiajie 于 2010-6-1 6:31:52 修改过]
[本贴已被 jiajie 于 2010-6-4 6:59:36 修改过]
作者: heshiyd 时间: 2010-6-1 08:37
标题: 回复:女,69岁,颈部占位,3天后公布病理结果。




















作者: heshiyd 时间: 2010-6-1 08:41
标题: 回复:女,69岁,颈部占位,3天后公布病理结果。









作者: yuhongjun 时间: 2010-6-1 12:57
甲状腺癌并颈部淋巴结转移。感谢楼主的良苦用心,谢谢。
作者: 施明 时间: 2010-6-1 13:25
支持楼上
作者: 卜一 时间: 2010-6-1 14:16
甲状腺癌并颈部淋巴结转移。
需与鼻咽癌鉴别!
作者: dhlyq 时间: 2010-6-1 15:44
甲状腺癌并颈部淋巴结转移。
作者: DDN 时间: 2010-6-1 16:14
甲状腺癌并颈部淋巴结转移。支持!谢谢楼主,辛苦了。
作者: 深泽交通 时间: 2010-6-1 17:43
标题: 回复:ct26782:女,69岁,颈部占位,3天后公布病理结果。
以下是引用yuhongjun在2010-6-1 4:57:00的发言:[br]甲状腺癌并颈部淋巴结转移。感谢楼主的良苦用心,谢谢。
作者: 北方的狼 时间: 2010-6-1 17:45
甲状腺癌并颈部淋巴结转移。
需与鼻咽癌鉴别!
作者: xwm9909 时间: 2010-6-1 17:54
支持甲状腺癌广泛侵及周围结构并颈部淋巴结转移。
作者: zxl51642 时间: 2010-6-1 17:58
甲状腺癌并颈部淋巴结转移。支持!
鉴别:淋巴瘤、恶性神经源性病变、恶性纤维组织细胞瘤。
作者: 随光逐影 时间: 2010-6-1 20:43
支持 甲状腺癌广泛侵及周围结构并颈部淋巴结转移。
作者: 西瓜999号 时间: 2010-6-2 05:35
甲状腺癌并颈部淋巴结转移。
需与鼻咽癌鉴别!
作者: zsl6918 时间: 2010-6-2 05:57
甲状腺癌并颈部淋巴结转移
作者: 随光逐影 时间: 2010-6-4 19:07
病理结果:颈部非霍奇金淋巴瘤。
——感谢楼主反馈结果,学习了。
作者: shuiyuan 时间: 2010-6-4 23:32
病理结果:颈部非霍奇金淋巴瘤。
——感谢楼主反馈结果,学习了。
作者: 37度 时间: 2010-6-5 03:41
鉴别:淋巴瘤、恶性神经源性病变、恶性纤维组织细胞瘤。
作者: 江广1996 时间: 2010-6-5 06:41
感谢楼主为我们送来这些快餐。
谢谢你不辞劳苦为大家所作的好菜。
照片上的那个纯情女孩,好像就是邻家的小妹。
赏心悦目,美丽可爱。几回误认为你就是那个美眉.
作者: 吴医师 时间: 2010-6-5 19:09
谢楼主反馈结果,学习了。
作者: pujunzhi 时间: 2010-6-5 19:23
病理结果:颈部非霍奇金淋巴瘤。
——感谢楼主反馈结果,好病例,学习了。
作者: linyiming 时间: 2010-6-6 03:58
甲状腺癌并颈部淋巴结转移。
作者: 拾荒者 时间: 2010-6-6 05:59
病理结果:颈部非霍奇金淋巴瘤。
——感谢楼主反馈结果,学习了。
作者: zjde236 时间: 2010-6-6 07:42
甲状腺癌并颈部淋巴结转移.
作者: yuhongjun 时间: 2010-6-6 12:58
病理结果:颈部非霍奇金淋巴瘤。
——感谢楼主反馈结果,好病例,学习了。
作者: ZHONGXINMR 时间: 2010-6-7 17:37
右侧甲状腺确实有问题
作者: 12640484 时间: 2011-3-5 19:24
学习
欢迎光临 医影在线 (http://bbs.radida.com/bbs/) |
Powered by Discuz! X3.2 |