医影在线

标题: CT26806:女,30岁,左侧面部疼痛10天,请会诊 [打印本页]

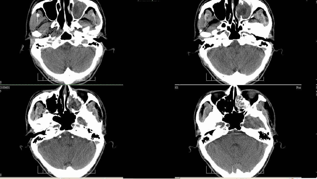
作者: dhlyq    时间: 2010-6-2 03:30
标题: CT26806:女,30岁,左侧面部疼痛10天,请会诊




[本贴已被 jiajie 于 2010-6-1 22:42:42 修改过]

作者: dhlyq    时间: 2010-6-2 04:01
我考虑霉菌性上颌窦、筛窦炎
作者: 随光逐影    时间: 2010-6-2 04:03
左侧上颌窦及左侧筛窦炎症。
作者: 卜一    时间: 2010-6-2 05:37
左侧上颌窦及左侧筛窦炎症。
作者: 同    时间: 2010-6-2 05:54
左侧上颌窦及左侧筛窦炎症
作者: zsl6918    时间: 2010-6-2 05:55
考虑炎性病变可能性大
作者: 施明    时间: 2010-6-2 06:07
炎症
作者: 地球上的    时间: 2010-6-2 06:19
考虑炎性病变可能性大。
作者: liangshusheng    时间: 2010-6-2 07:12
左侧上颌窦及左侧筛窦炎症。窦口扩大
作者: panyishengct    时间: 2010-6-2 07:16
左侧上颌窦及左侧筛窦炎症
作者: zxl51642    时间: 2010-6-2 08:18
左侧上颌窦及左侧筛窦炎症,建议活检。
作者: yuhongjun    时间: 2010-6-2 12:35
左侧上颌窦及左侧筛窦炎症 .
作者: LIAOQIANG    时间: 2010-6-2 18:58
左侧上颌窦及左侧筛窦炎症
作者: shuiyuan    时间: 2010-6-5 00:41
左侧上颌窦内侧骨壁不完整,窦腔内可见软组织密度填充,内可见更低密度坏死区。不除外恶性,建议活检




欢迎光临 医影在线 (http://bbs.radida.com/bbs/) Powered by Discuz! X3.2