医影在线

标题: X7449:间位结肠 [打印本页]

作者: zhanggenliang    时间: 2010-6-2 05:06
标题: X7449:间位结肠
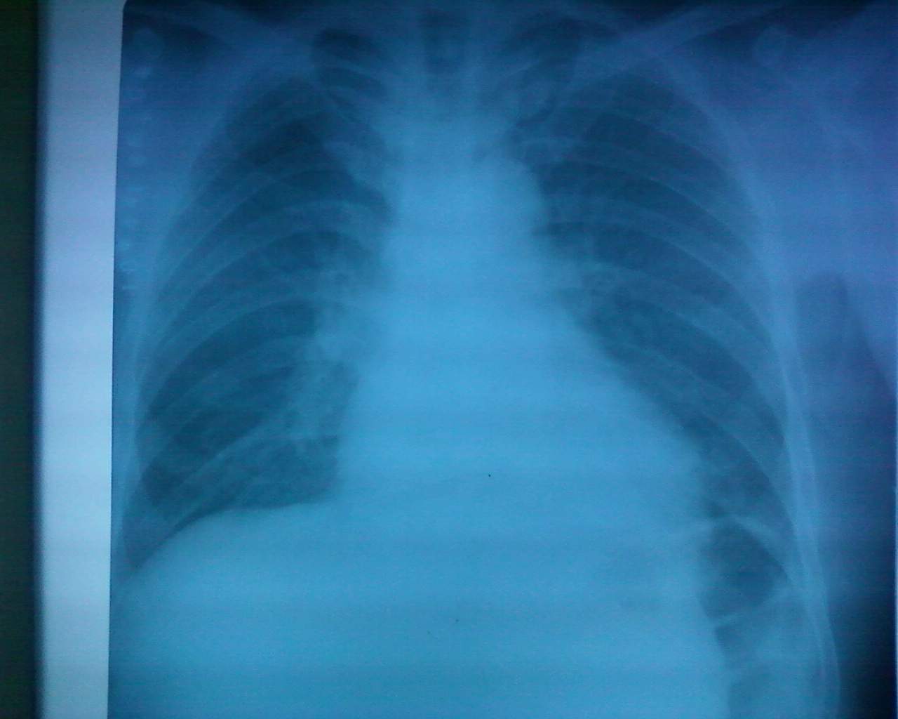
左侧间位结肠,心脏增大。右室增大为主。请问间位结肠有什么临床意义?


[本贴已被 cefcmj 于 2010-6-1 22:21:04 修改过]

作者: 随光逐影    时间: 2010-6-2 05:36
间位结肠是指结肠(多为肝曲)由肝前间隙或肝后间隙进入肝脏与膈之间,可无症状,可引起右季肋部隐痛、腹胀甚至消化道梗阻。
结肠脾曲综合征,指结肠脾曲于胃前方、脾内侧进入胃底上方、膨胀积气,临床症状与间位结肠相似(无梗阻)。
作者: zxl51642    时间: 2010-6-2 07:03
无意义
作者: xiongneo    时间: 2010-6-2 07:30
无意义  
   

zxl51642说
作者: liangshusheng    时间: 2010-6-2 07:42
其实也是间位结肠
作者: 吴医师    时间: 2010-6-2 07:45
间位结肠是指结肠(多为肝曲)由肝前间隙或肝后间隙进入肝脏与膈之间,可无症状,可引起游季肋部隐痛、腹胀甚至消化道梗阻。由此引发的症状称为间位结肠综合症。多为肝位置异常,肝脏的韧带异常引起,肝硬化病人也多见。
作者: 马铃薯    时间: 2010-6-2 08:10
无意义
作者: yuhongjun    时间: 2010-6-2 13:12
2楼解释很清楚了。
作者: 帅河马    时间: 2010-6-2 16:02
一般无意义
作者: lyb999    时间: 2010-6-3 00:31
左侧一般无意义
作者: dyqct    时间: 2010-6-3 00:50
2楼解释很清楚了。
作者: 一生何求    时间: 2010-6-3 03:38
你提示的片子不能定间位结肠;另外右心室也不大
作者: 拾荒者    时间: 2010-6-3 03:44
同意二楼分析。
作者: fanxinyu    时间: 2010-6-3 04:51
同意二楼分析。
作者: 胡宇    时间: 2010-6-3 06:24
左侧一般无意义
作者: 那个谁    时间: 2010-6-3 21:03
应该算属于正常
作者: shibing    时间: 2010-6-4 00:30
无意义




欢迎光临 医影在线 (http://bbs.radida.com/bbs/) Powered by Discuz! X3.2