医影在线
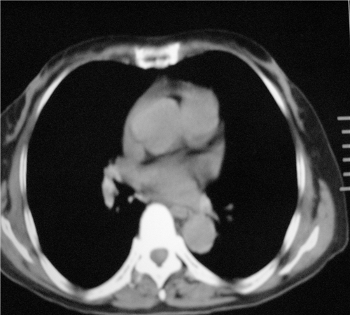
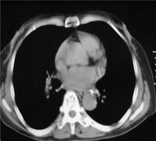
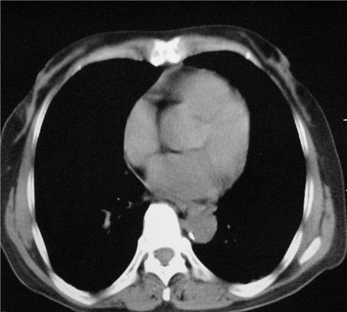
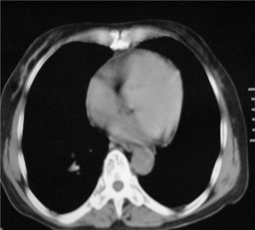
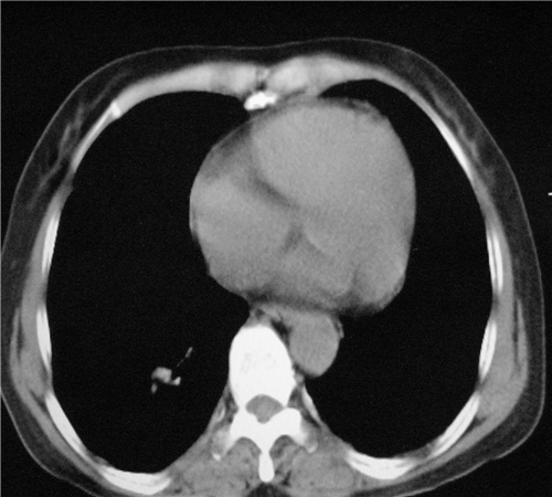
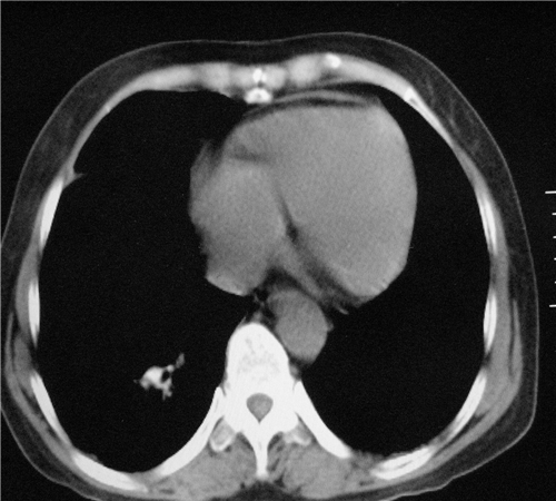
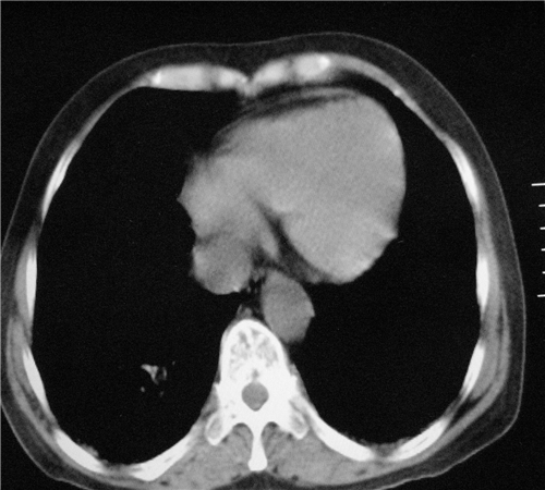
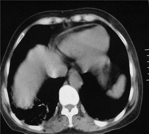
标题: CT26849:女67岁反复胸痛两天余,临床考虑夹层。 [打印本页]
作者: 黑白总动员 时间: 2010-6-3 12:25
标题: CT26849:女67岁反复胸痛两天余,临床考虑夹层。








































[本贴已被 jiajie 于 2010-6-3 6:35:53 修改过]
[本贴已被 jiajie 于 2010-6-3 22:05:29 修改过]
作者: zsl6918 时间: 2010-6-3 13:13
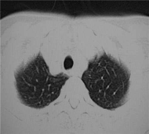
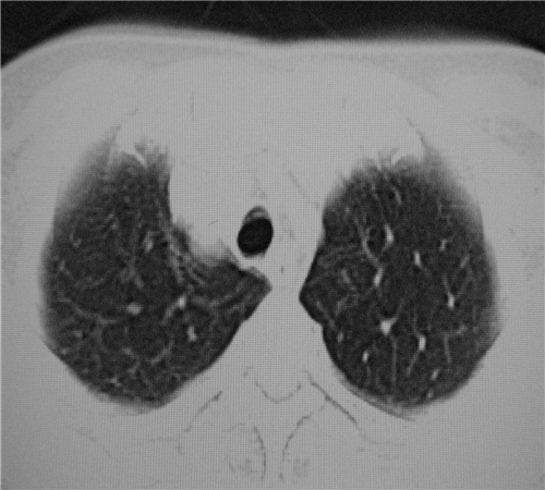
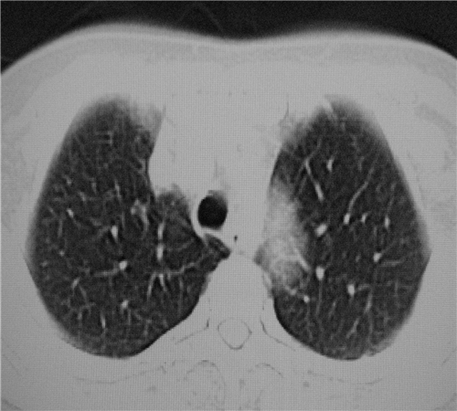
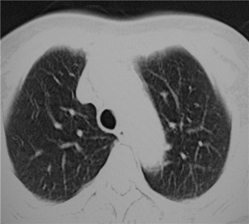
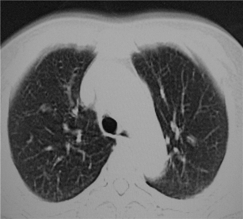
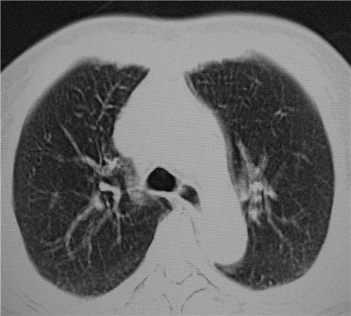
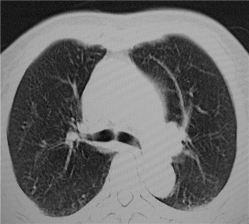
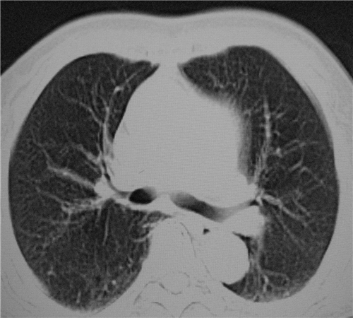
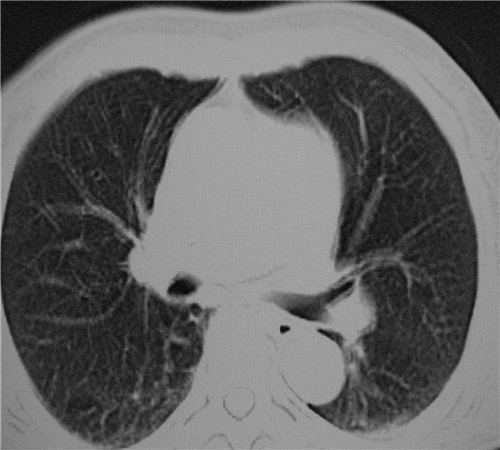
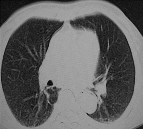
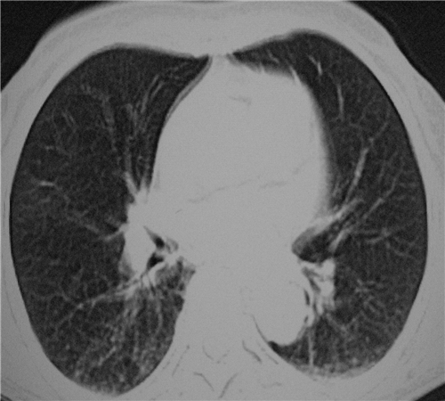
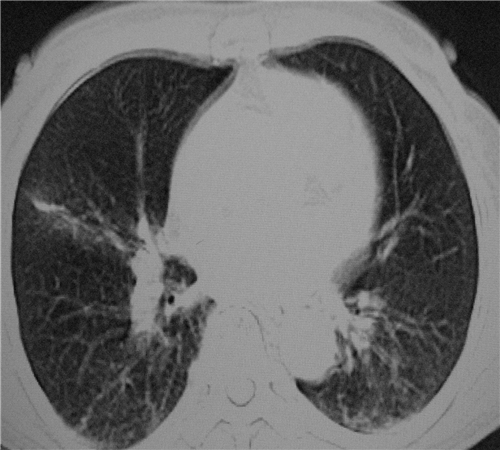
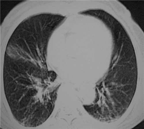
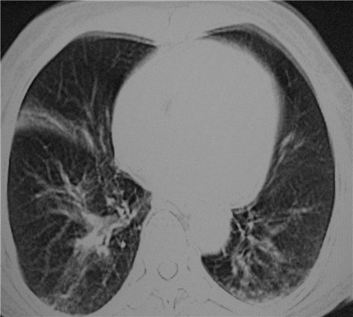
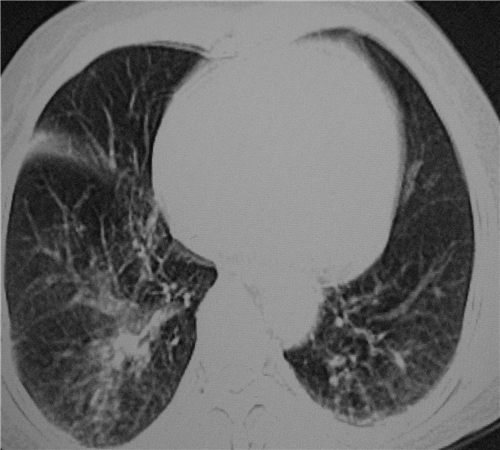
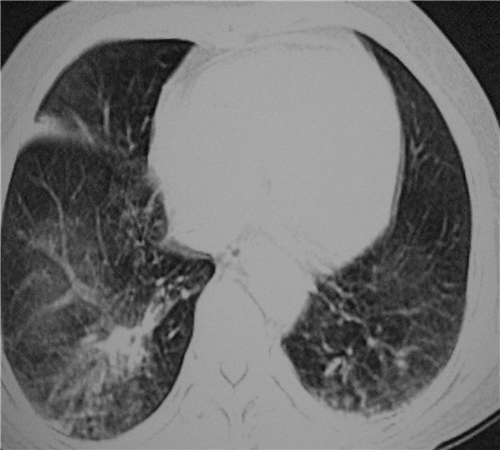
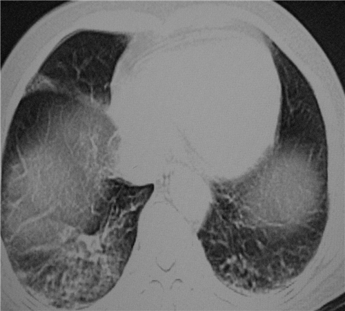
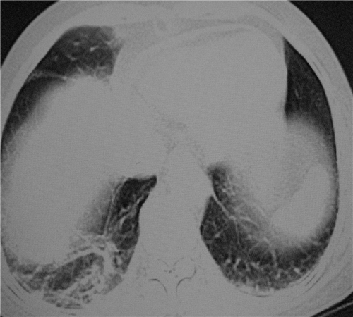
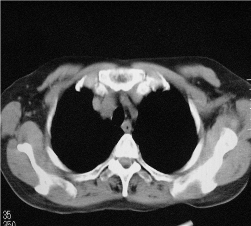
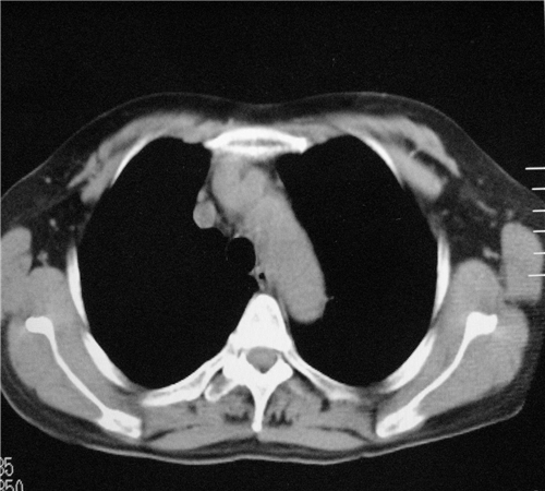
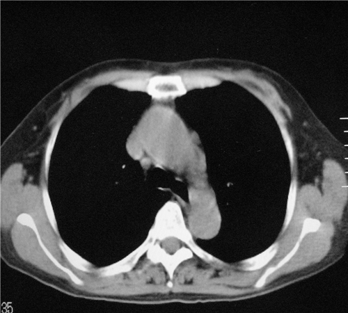
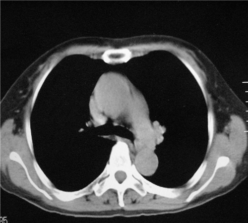
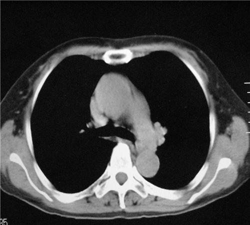
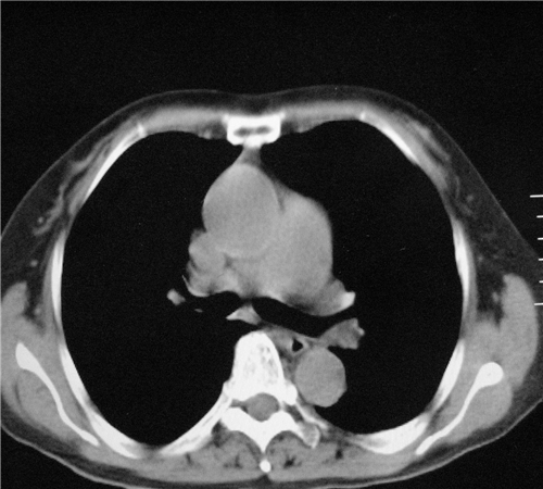
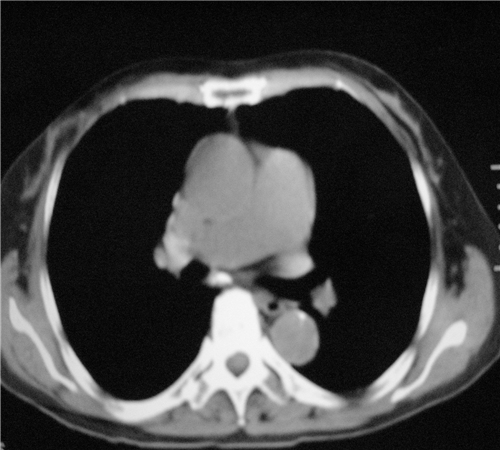
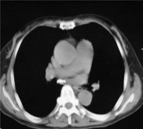
右肺感染,未见夹层。
作者: 黑白总动员 时间: 2010-6-3 13:53
升主动脉增宽是怎么回事啊!食管有事吗?老师
作者: 施明 时间: 2010-6-3 14:05
未见夹层
作者: 卜一 时间: 2010-6-3 14:46
既然考虑夹层,建议强化!另:右下肺感染!
作者: caobaoguo 时间: 2010-6-3 14:55
标题: 回复:ct26779:女67岁反复胸痛两天余,临床考虑夹层。
考虑夹层,建议强化!右肺感染!
作者: ziyoufeixiang 时间: 2010-6-3 15:11
考虑右肺感染、未见夹层
作者: 随光逐影 时间: 2010-6-3 15:23
1)右肺感染性病变。2)建议行ct增强扫描或mri检查排除主动脉夹层。
作者: DDN 时间: 2010-6-3 15:40
双下肺感染,右侧显著。有无夹层,增强扫描后再诊断。
作者: dyqct 时间: 2010-6-3 16:28
标题: 回复:ct26779:女67岁反复胸痛两天余,临床考虑夹层。
以下是引用随光逐影在2010-6-3 7:23:00的发言:[br]1)右肺感染性病变。2)建议行ct增强扫描或mri检查排除主动脉夹层。
支持!
作者: HG-XXF 时间: 2010-6-3 17:02
1. 感染性病变,2.未见夹层,3.食道未见异常。
作者: 何宁 时间: 2010-6-3 18:11
未见夹层
作者: zxl51642 时间: 2010-6-3 18:15
双下肺感染,右侧显著。有无夹层,增强扫描后再诊断。
作者: 梦里花开 时间: 2010-6-3 18:18
1.考虑双肺感染,右侧为重;2.建议ct增强或mri排除主动脉夹层
作者: xwm9909 时间: 2010-6-3 19:13
双下肺感染,右侧显著。有无夹层,增强扫描后再诊断。食道未见异常。
作者: LIAOQIANG 时间: 2010-6-3 21:25
平扫未见确切夹层征,建议必要时增强扫描或mri检查。
作者: dhlyq 时间: 2010-6-4 03:52
考虑右肺感染、未见夹层
| 欢迎光临 医影在线 (http://bbs.radida.com/bbs/) |
Powered by Discuz! X3.2 |